Encephalitis with Antibodies Against Glial Fibrillary Acidic Protein (GFAP) After Allogeneic Hematopoietic Stem Cell Transplantation: A Rare Case Report and Literature Review.

IF 2.7 Q3 HEMATOLOGY
Journal of Blood Medicine Pub Date : 2024-08-09 eCollection Date: 2024-01-01 DOI:10.2147/JBM.S472194
Jing Liu, Ping Yang, Meng Hu
{"title":"Encephalitis with Antibodies Against Glial Fibrillary Acidic Protein (GFAP) After Allogeneic Hematopoietic Stem Cell Transplantation: A Rare Case Report and Literature Review.","authors":"Jing Liu, Ping Yang, Meng Hu","doi":"10.2147/JBM.S472194","DOIUrl":null,"url":null,"abstract":"<p><p>In this report, the patient was a 57-year-old woman who had been diagnosed with aplastic anemia for 3 years. This patient underwent allogeneic hematopoietic stem cell transplantation (allo-HSCT). Twenty-four months after allo-HSCT, the patient experienced cognitive dysfunction, memory loss, and involuntary movements. Various central nervous system (CNS) complications may occur after allo-HSCT, which can lead to severe clinical problems. Diagnosis is often difficult because of the absence of distinctive clinical symptoms. In addition, different neurological disorders may show similar symptoms. Although antibodies in the CSF or serum have become well recognized in several CNS disorders, cases of autoimmune CNS disorders after allo-HSCT have rarely been reported. Here, we report the case of a patient who developed encephalitis associated with antibodies against glial fibrillary acidic protein (GFAP) after allo-HSCT. To the best of our knowledge, this is the first report of the involvement of antibodies against GFAP in post-transplantation encephalitis. Of course, all processes met the ethical and patient consents were obtained.</p>","PeriodicalId":15166,"journal":{"name":"Journal of Blood Medicine","volume":"15 ","pages":"359-362"},"PeriodicalIF":2.7000,"publicationDate":"2024-08-09","publicationTypes":"Journal Article","fieldsOfStudy":null,"isOpenAccess":false,"openAccessPdf":"https://www.ncbi.nlm.nih.gov/pmc/articles/PMC11321329/pdf/","citationCount":"0","resultStr":null,"platform":"Semanticscholar","paperid":null,"PeriodicalName":"Journal of Blood Medicine","FirstCategoryId":"1085","ListUrlMain":"https://doi.org/10.2147/JBM.S472194","RegionNum":0,"RegionCategory":null,"ArticlePicture":[],"TitleCN":null,"AbstractTextCN":null,"PMCID":null,"EPubDate":"2024/1/1 0:00:00","PubModel":"eCollection","JCR":"Q3","JCRName":"HEMATOLOGY","Score":null,"Total":0}
引用次数: 0

Abstract

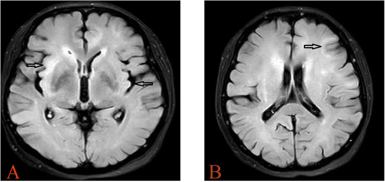
In this report, the patient was a 57-year-old woman who had been diagnosed with aplastic anemia for 3 years. This patient underwent allogeneic hematopoietic stem cell transplantation (allo-HSCT). Twenty-four months after allo-HSCT, the patient experienced cognitive dysfunction, memory loss, and involuntary movements. Various central nervous system (CNS) complications may occur after allo-HSCT, which can lead to severe clinical problems. Diagnosis is often difficult because of the absence of distinctive clinical symptoms. In addition, different neurological disorders may show similar symptoms. Although antibodies in the CSF or serum have become well recognized in several CNS disorders, cases of autoimmune CNS disorders after allo-HSCT have rarely been reported. Here, we report the case of a patient who developed encephalitis associated with antibodies against glial fibrillary acidic protein (GFAP) after allo-HSCT. To the best of our knowledge, this is the first report of the involvement of antibodies against GFAP in post-transplantation encephalitis. Of course, all processes met the ethical and patient consents were obtained.

Abstract Image

异基因造血干细胞移植后胶质纤维酸性蛋白(GFAP)抗体脑炎:罕见病例报告和文献综述。
在这份报告中,患者是一名57岁的女性,被诊断患有再生障碍性贫血3年。该患者接受了异基因造血干细胞移植(allo-HSCT)。异体造血干细胞移植24个月后,患者出现认知功能障碍、记忆力减退和不自主运动。异体干细胞移植后可能出现各种中枢神经系统(CNS)并发症,从而导致严重的临床问题。由于没有明显的临床症状,诊断往往比较困难。此外,不同的神经系统疾病可能表现出相似的症状。尽管 CSF 或血清中的抗体已在多种中枢神经系统疾病中得到广泛认可,但异体 HSCT 后自身免疫性中枢神经系统疾病的病例却鲜有报道。在此,我们报告了一例在allo-HSCT后出现与神经胶质纤维酸性蛋白(GFAP)抗体相关的脑炎的患者。据我们所知,这是首例移植后脑炎伴有 GFAP 抗体的报道。当然,所有过程都符合伦理要求,并征得了患者的同意。
本文章由计算机程序翻译,如有差异,请以英文原文为准。
求助全文
约1分钟内获得全文 求助全文
来源期刊
CiteScore
3.50
自引率
0.00%
发文量
94
审稿时长
16 weeks
期刊介绍: The Journal of Blood Medicine is an international, peer-reviewed, open access, online journal publishing laboratory, experimental and clinical aspects of all topics pertaining to blood based medicine including but not limited to: Transfusion Medicine (blood components, stem cell transplantation, apheresis, gene based therapeutics), Blood collection, Donor issues, Transmittable diseases, and Blood banking logistics, Immunohematology, Artificial and alternative blood based therapeutics, Hematology including disorders/pathology related to leukocytes/immunology, red cells, platelets and hemostasis, Biotechnology/nanotechnology of blood related medicine, Legal aspects of blood medicine, Historical perspectives. Original research, short reports, reviews, case reports and commentaries are invited.
×
引用
GB/T 7714-2015
复制
MLA
复制
APA
复制
导出至
BibTeX EndNote RefMan NoteFirst NoteExpress
×
提示
您的信息不完整,为了账户安全,请先补充。
现在去补充
×
提示
您因"违规操作"
具体请查看互助需知
我知道了
×
提示
确定
请完成安全验证×
copy
已复制链接
快去分享给好友吧!
我知道了
右上角分享
点击右上角分享
0
联系我们:info@booksci.cn Book学术提供免费学术资源搜索服务,方便国内外学者检索中英文文献。致力于提供最便捷和优质的服务体验。 Copyright © 2023 布克学术 All rights reserved.
京ICP备2023020795号-1
ghs 京公网安备 11010802042870号
Book学术文献互助
Book学术文献互助群
群 号:604180095
Book学术官方微信