Notch Signaling Is Associated with Pulmonary Fibrosis in Patients with Pigeon Breeder's Lung by Regulating Oxidative Stress.

IF 0.8 4区 医学 Q3 EMERGENCY MEDICINE
Emergency Medicine International Pub Date : 2024-08-06 eCollection Date: 2024-01-01 DOI:10.1155/2024/7610032
Zhichuang Lian, Remila Kuerban, Zongxin Niu, Paruzha Aisaiti, Chao Wu, Xiaohong Yang
{"title":"Notch Signaling Is Associated with Pulmonary Fibrosis in Patients with Pigeon Breeder's Lung by Regulating Oxidative Stress.","authors":"Zhichuang Lian, Remila Kuerban, Zongxin Niu, Paruzha Aisaiti, Chao Wu, Xiaohong Yang","doi":"10.1155/2024/7610032","DOIUrl":null,"url":null,"abstract":"<p><p>This study explored the molecular mechanism underlying the association of Notch signaling and oxidative stress with the occurrence of pulmonary fibrosis in patients with pigeon breeder's lung (PBL). Rat models of fibrotic PBL were constructed with freeze-dried protein powder, and the animals were divided into the control (intratracheal instillation of normal saline; <i>n</i> = 9), M (PBL model; intratracheal instillation of freeze-dried protein powder; <i>n</i> = 9), and M + D (PBL+ the Notch inhibitor DAPT; <i>n</i> = 9) groups. Immunohistochemistry was employed to observe the protein levels of pathway factors and <i>α</i>-SMA, and the levels of ROS, GSH-PX, SOD, and MDA were observed using ELISA. To verify the results of the animal experiment, cytological models were constructed. The M group and the M + D group had significantly increased <i>α</i>-SMA levels (<i>P</i> < 0.05). Although both groups had significantly higher key protein levels in the Notch channel, the M + D group had significantly lower levels relative to the M group (<i>P</i> < 0.05). Oxidative stress products were examined, and the levels of MDA and ROS were significantly increased, while those of GSH-PX and SOD were significantly decreased in the M and M + D groups as compared to the control, but the M group and the M + D group significantly differed (<i>P</i> <  0.05). These findings were further validated by the cytological experiment. Notch signaling is associated with pulmonary fibrosis in PBL by regulating cellular oxidative stress, and inhibiting this pathway can slow down pulmonary fibrosis progression.</p>","PeriodicalId":11528,"journal":{"name":"Emergency Medicine International","volume":"2024 ","pages":"7610032"},"PeriodicalIF":0.8000,"publicationDate":"2024-08-06","publicationTypes":"Journal Article","fieldsOfStudy":null,"isOpenAccess":false,"openAccessPdf":"https://www.ncbi.nlm.nih.gov/pmc/articles/PMC11321885/pdf/","citationCount":"0","resultStr":null,"platform":"Semanticscholar","paperid":null,"PeriodicalName":"Emergency Medicine International","FirstCategoryId":"3","ListUrlMain":"https://doi.org/10.1155/2024/7610032","RegionNum":4,"RegionCategory":"医学","ArticlePicture":[],"TitleCN":null,"AbstractTextCN":null,"PMCID":null,"EPubDate":"2024/1/1 0:00:00","PubModel":"eCollection","JCR":"Q3","JCRName":"EMERGENCY MEDICINE","Score":null,"Total":0}
引用次数: 0

Abstract

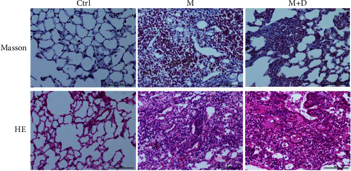
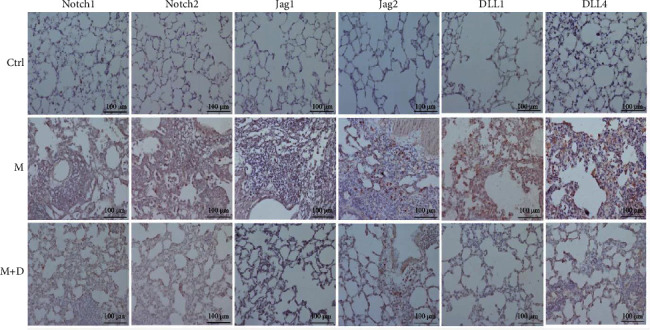
This study explored the molecular mechanism underlying the association of Notch signaling and oxidative stress with the occurrence of pulmonary fibrosis in patients with pigeon breeder's lung (PBL). Rat models of fibrotic PBL were constructed with freeze-dried protein powder, and the animals were divided into the control (intratracheal instillation of normal saline; n = 9), M (PBL model; intratracheal instillation of freeze-dried protein powder; n = 9), and M + D (PBL+ the Notch inhibitor DAPT; n = 9) groups. Immunohistochemistry was employed to observe the protein levels of pathway factors and α-SMA, and the levels of ROS, GSH-PX, SOD, and MDA were observed using ELISA. To verify the results of the animal experiment, cytological models were constructed. The M group and the M + D group had significantly increased α-SMA levels (P < 0.05). Although both groups had significantly higher key protein levels in the Notch channel, the M + D group had significantly lower levels relative to the M group (P < 0.05). Oxidative stress products were examined, and the levels of MDA and ROS were significantly increased, while those of GSH-PX and SOD were significantly decreased in the M and M + D groups as compared to the control, but the M group and the M + D group significantly differed (P <  0.05). These findings were further validated by the cytological experiment. Notch signaling is associated with pulmonary fibrosis in PBL by regulating cellular oxidative stress, and inhibiting this pathway can slow down pulmonary fibrosis progression.

Abstract Image

Abstract Image

Abstract Image

Notch信号通过调节氧化应激与鸽子种肺患者的肺纤维化有关。
本研究探讨了Notch信号转导和氧化应激与种鸽肺(PBL)患者肺纤维化发生相关的分子机制。研究人员用冻干蛋白粉构建了纤维化 PBL 大鼠模型,并将动物分为对照组(气管内灌注生理盐水,n = 9)、M 组(PBL 模型;气管内灌注冻干蛋白粉,n = 9)和 M + D 组(PBL + Notch 抑制剂 DAPT,n = 9)。免疫组化法观察通路因子和α-SMA的蛋白水平,ELISA法观察ROS、GSH-PX、SOD和MDA的水平。为了验证动物实验的结果,我们构建了细胞学模型。M 组和 M + D 组的α-SMA 水平明显升高(P < 0.05)。虽然两组的 Notch 通道关键蛋白水平都明显升高,但 M + D 组的水平明显低于 M 组(P < 0.05)。与对照组相比,M 组和 M + D 组的氧化应激产物 MDA 和 ROS 水平明显升高,而 GSH-PX 和 SOD 水平明显降低,但 M 组和 M + D 组差异显著(P < 0.05)。细胞学实验进一步验证了这些发现。Notch信号通过调节细胞氧化应激与PBL中的肺纤维化有关,抑制该通路可减缓肺纤维化的进展。
本文章由计算机程序翻译,如有差异,请以英文原文为准。
求助全文
约1分钟内获得全文 求助全文
来源期刊
Emergency Medicine International
Emergency Medicine International EMERGENCY MEDICINE-
CiteScore
0.10
自引率
0.00%
发文量
187
审稿时长
17 weeks
期刊介绍: Emergency Medicine International is a peer-reviewed, Open Access journal that provides a forum for doctors, nurses, paramedics and ambulance staff. The journal publishes original research articles, review articles, and clinical studies related to prehospital care, disaster preparedness and response, acute medical and paediatric emergencies, critical care, sports medicine, wound care, and toxicology.
×
引用
GB/T 7714-2015
复制
MLA
复制
APA
复制
导出至
BibTeX EndNote RefMan NoteFirst NoteExpress
×
提示
您的信息不完整,为了账户安全,请先补充。
现在去补充
×
提示
您因"违规操作"
具体请查看互助需知
我知道了
×
提示
确定
请完成安全验证×
copy
已复制链接
快去分享给好友吧!
我知道了
右上角分享
点击右上角分享
0
联系我们:info@booksci.cn Book学术提供免费学术资源搜索服务,方便国内外学者检索中英文文献。致力于提供最便捷和优质的服务体验。 Copyright © 2023 布克学术 All rights reserved.
京ICP备2023020795号-1
ghs 京公网安备 11010802042870号
Book学术文献互助
Book学术文献互助群
群 号:604180095
Book学术官方微信