Influence of gingival phenotype on crestal bone loss at implants : A long-term 2 to 20-year cohort study in periodontally compromised patient.

IF 4 3区 医学 Q1 DENTISTRY, ORAL SURGERY & MEDICINE
Nicole Breunig, Michael Stiller, Martin Mogk, Reiner Mengel
{"title":"Influence of gingival phenotype on crestal bone loss at implants : A long-term 2 to 20-year cohort study in periodontally compromised patient.","authors":"Nicole Breunig, Michael Stiller, Martin Mogk, Reiner Mengel","doi":"10.1186/s40729-024-00531-4","DOIUrl":null,"url":null,"abstract":"<p><strong>Purpose: </strong>The aim of this long-term cohort study in periodontally compromised patients with implants was to analyze the correlation between gingival phenotype and peri-implant crestal bone loss, and between clinical measures and gingival phenotype.</p><p><strong>Methods: </strong>Implant-supported single crowns and bridges were used to rehabilitate 162 implants in 57 patients. Patients were examined over a 2 to 20-year period on a recall schedule of 3 to 6 months. In addition to recording clinical parameters, intraoral radiographs were taken at baseline (immediately after superstructure insertion) and at 1, 3, 5, 10, 15, and 20 years. Patients were differentiated into phenotype 1 with thin, scalloped gingiva and narrow attached gingiva (n = 19), phenotype 2 with thick, flat gingiva and wide attached gingiva (n = 23), or phenotyp 3 with thick, scalloped gingiva and narrow attached gingiva (n = 15).</p><p><strong>Results: </strong>The mean peri-implant crestal bone loss during the first 12 months was 1.3 ± 0.7 mm. Patients with gingival phenotype 1 had a significantly greater rate of increased crestal bone loss at implants (p = 0.016). No significant differences were present in subsequent years. The prevalence of mucositis at all implants was 27.2%, and the prevalence of peri-implantitis 9.3%. Univariate analyses indicated a significantly higher peri-implantitis risk in patients with gingival phenotype 2 (p-OR = 0.001; p-OR = 0.020). The implants of patients with phenotype 2 had significantly greater probing depths (1st year p < 0.001; 3rd year p = 0.016; 10th year p = 0.027; 15th year p < 0.001). Patients with gingival phenotype 3 showed no significantly increased probing depths, signs of inflammation and crestal bone loss.</p><p><strong>Conclusions: </strong>Patients with a gingival phenotype 1 have greater crestal bone loss at implants during the first year of functional loading. Patients with gingival phenotype 2 had significantly greater probing depth at implants and risk of peri-implantitis.</p>","PeriodicalId":14076,"journal":{"name":"International Journal of Implant Dentistry","volume":"10 1","pages":"39"},"PeriodicalIF":4.0000,"publicationDate":"2024-08-13","publicationTypes":"Journal Article","fieldsOfStudy":null,"isOpenAccess":false,"openAccessPdf":"https://www.ncbi.nlm.nih.gov/pmc/articles/PMC11322456/pdf/","citationCount":"0","resultStr":null,"platform":"Semanticscholar","paperid":null,"PeriodicalName":"International Journal of Implant Dentistry","FirstCategoryId":"3","ListUrlMain":"https://doi.org/10.1186/s40729-024-00531-4","RegionNum":3,"RegionCategory":"医学","ArticlePicture":[],"TitleCN":null,"AbstractTextCN":null,"PMCID":null,"EPubDate":"","PubModel":"","JCR":"Q1","JCRName":"DENTISTRY, ORAL SURGERY & MEDICINE","Score":null,"Total":0}
引用次数: 0

Abstract

Purpose: The aim of this long-term cohort study in periodontally compromised patients with implants was to analyze the correlation between gingival phenotype and peri-implant crestal bone loss, and between clinical measures and gingival phenotype.

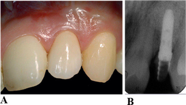
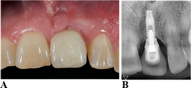
Methods: Implant-supported single crowns and bridges were used to rehabilitate 162 implants in 57 patients. Patients were examined over a 2 to 20-year period on a recall schedule of 3 to 6 months. In addition to recording clinical parameters, intraoral radiographs were taken at baseline (immediately after superstructure insertion) and at 1, 3, 5, 10, 15, and 20 years. Patients were differentiated into phenotype 1 with thin, scalloped gingiva and narrow attached gingiva (n = 19), phenotype 2 with thick, flat gingiva and wide attached gingiva (n = 23), or phenotyp 3 with thick, scalloped gingiva and narrow attached gingiva (n = 15).

Results: The mean peri-implant crestal bone loss during the first 12 months was 1.3 ± 0.7 mm. Patients with gingival phenotype 1 had a significantly greater rate of increased crestal bone loss at implants (p = 0.016). No significant differences were present in subsequent years. The prevalence of mucositis at all implants was 27.2%, and the prevalence of peri-implantitis 9.3%. Univariate analyses indicated a significantly higher peri-implantitis risk in patients with gingival phenotype 2 (p-OR = 0.001; p-OR = 0.020). The implants of patients with phenotype 2 had significantly greater probing depths (1st year p < 0.001; 3rd year p = 0.016; 10th year p = 0.027; 15th year p < 0.001). Patients with gingival phenotype 3 showed no significantly increased probing depths, signs of inflammation and crestal bone loss.

Conclusions: Patients with a gingival phenotype 1 have greater crestal bone loss at implants during the first year of functional loading. Patients with gingival phenotype 2 had significantly greater probing depth at implants and risk of peri-implantitis.

Abstract Image

Abstract Image

Abstract Image

牙龈表型对种植体骨嵴骨质流失的影响 :牙周受损患者 2-20 年的长期队列研究。
目的:这项针对牙周受损的种植体患者的长期队列研究旨在分析牙龈表型与种植体周围骨质流失之间的相关性,以及临床指标与牙龈表型之间的相关性:对 57 名患者的 162 颗种植体进行了种植体支撑单冠和桥修复。按照 3 至 6 个月的召回计划,对患者进行了为期 2 至 20 年的检查。除了记录临床参数外,还在基线(上部结构植入后立即)和 1、3、5、10、15 和 20 年时拍摄了口腔内X光片。患者被分为表型1(薄、扇形牙龈和窄附着龈,n=19)、表型2(厚、扁平牙龈和宽附着龈,n=23)或表型3(厚、扇形牙龈和窄附着龈,n=15):在最初的12个月中,种植体周围的平均骨量损失为1.3 ± 0.7 mm。牙龈表型为 1 的患者种植体周围牙槽骨流失率明显增加(p = 0.016)。随后几年没有出现明显差异。所有种植体的粘膜炎发病率为 27.2%,种植体周围炎发病率为 9.3%。单变量分析表明,牙龈表型为 2 的患者患种植体周围炎的风险明显更高(p-OR = 0.001;p-OR = 0.020)。表型 2 患者的种植体探查深度明显更大(第一年 p 结论):牙龈表型 1 患者在功能负荷的第一年,种植体的骨嵴骨质流失较多。牙龈表型 2 患者的种植体探查深度明显更大,患种植体周围炎的风险也更高。
本文章由计算机程序翻译,如有差异,请以英文原文为准。
求助全文
约1分钟内获得全文 求助全文
来源期刊
International Journal of Implant Dentistry
International Journal of Implant Dentistry DENTISTRY, ORAL SURGERY & MEDICINE-
CiteScore
1.70
自引率
7.40%
发文量
53
审稿时长
13 weeks
期刊介绍: The International Journal of Implant Dentistry is a peer-reviewed open access journal published under the SpringerOpen brand. The journal is dedicated to promoting the exchange and discussion of all research areas relevant to implant dentistry in the form of systematic literature or invited reviews, prospective and retrospective clinical studies, clinical case reports, basic laboratory and animal research, and articles on material research and engineering.
×
引用
GB/T 7714-2015
复制
MLA
复制
APA
复制
导出至
BibTeX EndNote RefMan NoteFirst NoteExpress
×
提示
您的信息不完整,为了账户安全,请先补充。
现在去补充
×
提示
您因"违规操作"
具体请查看互助需知
我知道了
×
提示
确定
请完成安全验证×
copy
已复制链接
快去分享给好友吧!
我知道了
右上角分享
点击右上角分享
0
联系我们:info@booksci.cn Book学术提供免费学术资源搜索服务,方便国内外学者检索中英文文献。致力于提供最便捷和优质的服务体验。 Copyright © 2023 布克学术 All rights reserved.
京ICP备2023020795号-1
ghs 京公网安备 11010802042870号
Book学术文献互助
Book学术文献互助群
群 号:604180095
Book学术官方微信