Use of Fibrin Glue as a Surgical Adjunct in Bone Grafting of Fracture Non-unions.

IF 0.6 Q4 ORTHOPEDICS
R Kunnasegaran, J W Ng, Ebk Kwek
{"title":"Use of Fibrin Glue as a Surgical Adjunct in Bone Grafting of Fracture Non-unions.","authors":"R Kunnasegaran, J W Ng, Ebk Kwek","doi":"10.5704/MOJ.2407.007","DOIUrl":null,"url":null,"abstract":"<p><strong>Introduction: </strong>Non-union of long bones is a common challenge in the treatment of fractures. Bone grafting is commonly used to treat atrophic non-union, but mechanical displacement of the graft may occur, resulting in delay or failure of treatment. Fibrin glue has demonstrated positive results in management of bone defects in neurosurgery and oromaxillary facial surgery, however, there has yet to be any study on its use in long bone fractures.</p><p><strong>Materials and methods: </strong>We conducted a prospective randomised controlled trial at a single tertiary centre involving adult patients with long bone fractures that had undergone non-union and requiring bone grafting only. Autologous iliac crest bone graft was applied to the debrided non-union site, with additional fibrin glue applied for the intervention arm. Patients were followed-up with serial radiographs until clinical and radiographical union.</p><p><strong>Results: </strong>Ten patients (3 male, 7 female), of mean age 41.7 (19 - 63) were recruited over five years, with one drop out. Eight out of nine fractures united after treatment. One patient underwent hypertrophic non-union requiring re-fixation and bone grafting. There was no difference in the time to union for patients in the fibrin glue group (19.5 weeks) versus the control group (18.75 weeks) (p=0.86). There were no complications sustained from usage of fibrin glue.</p><p><strong>Conclusion: </strong>Fibrin glue appears to be a safe adjunct for treatment of non-union of long bone fractures across varying fracture sites by holding the bone graft in place despite not demonstrating a faster time to union.</p>","PeriodicalId":45241,"journal":{"name":"Malaysian Orthopaedic Journal","volume":"18 2","pages":"49-54"},"PeriodicalIF":0.6000,"publicationDate":"2024-07-01","publicationTypes":"Journal Article","fieldsOfStudy":null,"isOpenAccess":false,"openAccessPdf":"https://www.ncbi.nlm.nih.gov/pmc/articles/PMC11315943/pdf/","citationCount":"0","resultStr":null,"platform":"Semanticscholar","paperid":null,"PeriodicalName":"Malaysian Orthopaedic Journal","FirstCategoryId":"1085","ListUrlMain":"https://doi.org/10.5704/MOJ.2407.007","RegionNum":0,"RegionCategory":null,"ArticlePicture":[],"TitleCN":null,"AbstractTextCN":null,"PMCID":null,"EPubDate":"","PubModel":"","JCR":"Q4","JCRName":"ORTHOPEDICS","Score":null,"Total":0}
引用次数: 0

Abstract

Introduction: Non-union of long bones is a common challenge in the treatment of fractures. Bone grafting is commonly used to treat atrophic non-union, but mechanical displacement of the graft may occur, resulting in delay or failure of treatment. Fibrin glue has demonstrated positive results in management of bone defects in neurosurgery and oromaxillary facial surgery, however, there has yet to be any study on its use in long bone fractures.

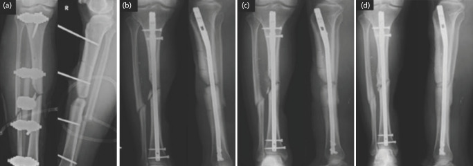
Materials and methods: We conducted a prospective randomised controlled trial at a single tertiary centre involving adult patients with long bone fractures that had undergone non-union and requiring bone grafting only. Autologous iliac crest bone graft was applied to the debrided non-union site, with additional fibrin glue applied for the intervention arm. Patients were followed-up with serial radiographs until clinical and radiographical union.

Results: Ten patients (3 male, 7 female), of mean age 41.7 (19 - 63) were recruited over five years, with one drop out. Eight out of nine fractures united after treatment. One patient underwent hypertrophic non-union requiring re-fixation and bone grafting. There was no difference in the time to union for patients in the fibrin glue group (19.5 weeks) versus the control group (18.75 weeks) (p=0.86). There were no complications sustained from usage of fibrin glue.

Conclusion: Fibrin glue appears to be a safe adjunct for treatment of non-union of long bone fractures across varying fracture sites by holding the bone graft in place despite not demonstrating a faster time to union.

Abstract Image

使用纤维蛋白胶作为骨折非连接处植骨的手术辅助工具。
简介长骨不愈合是治疗骨折的常见难题。骨移植常用于治疗萎缩性骨不连,但可能会发生机械性移位,导致治疗延迟或失败。纤维蛋白胶在神经外科和颌面外科骨缺损的治疗中取得了积极的效果,但在长骨骨折中使用纤维蛋白胶还没有任何研究:我们在一家三级医疗中心开展了一项前瞻性随机对照试验,研究对象为成年长骨骨折患者,这些患者的骨折未愈合,仅需要植骨。自体髂嵴植骨应用于已剥离的不愈合部位,干预组应用额外的纤维蛋白胶。对患者进行连续X光片随访,直至临床和影像学结果吻合:共招募了 10 名患者(3 名男性,7 名女性),平均年龄为 41.7 岁(19 - 63 岁),历时 5 年,其中 1 人退出。九例骨折中有八例在治疗后愈合。一名患者的骨折出现肥厚性不愈合,需要重新固定和植骨。纤维蛋白胶组(19.5 周)与对照组(18.75 周)的骨折愈合时间没有差异(P=0.86)。使用纤维蛋白胶后没有出现并发症:结论:纤维蛋白胶似乎是治疗不同部位长骨骨折不愈合的一种安全辅助疗法,它可以固定植骨,尽管没有显示出更快的愈合时间。
本文章由计算机程序翻译,如有差异,请以英文原文为准。
求助全文
约1分钟内获得全文 求助全文
来源期刊
CiteScore
1.30
自引率
0.00%
发文量
104
审稿时长
24 weeks
期刊介绍: The Malaysian Orthopaedic Journal is a peer-reviewed journal that publishes original papers and case reports three times a year in both printed and electronic version. The purpose of MOJ is to disseminate new knowledge and provide updates in Orthopaedics, trauma and musculoskeletal research. It is an Open Access journal that does not require processing fee or article processing charge from the authors. The Malaysian Orthopaedic Journal is the official journal of Malaysian Orthopaedic Association (MOA) and ASEAN Orthopaedic Association (AOA).
×
引用
GB/T 7714-2015
复制
MLA
复制
APA
复制
导出至
BibTeX EndNote RefMan NoteFirst NoteExpress
×
提示
您的信息不完整,为了账户安全,请先补充。
现在去补充
×
提示
您因"违规操作"
具体请查看互助需知
我知道了
×
提示
确定
请完成安全验证×
copy
已复制链接
快去分享给好友吧!
我知道了
右上角分享
点击右上角分享
0
联系我们:info@booksci.cn Book学术提供免费学术资源搜索服务,方便国内外学者检索中英文文献。致力于提供最便捷和优质的服务体验。 Copyright © 2023 布克学术 All rights reserved.
京ICP备2023020795号-1
ghs 京公网安备 11010802042870号
Book学术文献互助
Book学术文献互助群
群 号:604180095
Book学术官方微信