Pneumothorax after Shoulder Arthroscopy: A Case Report.

IF 0.6 Q4 ORTHOPEDICS
Fbn Tan, Gwk Ho, E L Liow, L Y Tan, Swl Ho
{"title":"Pneumothorax after Shoulder Arthroscopy: A Case Report.","authors":"Fbn Tan, Gwk Ho, E L Liow, L Y Tan, Swl Ho","doi":"10.5704/MOJ.2407.013","DOIUrl":null,"url":null,"abstract":"<p><p>Shoulder arthroscopy is an increasingly common procedure. Pneumothorax post-shoulder arthroscopy is a rare complication. Our aim is to highlight a case report of pneumothorax post-shoulder arthroscopy and to conduct a literature review to evaluate the possible risk factors. We report the case of a 75-year-old male non-smoker, who underwent right shoulder arthroscopy without regional anaesthesia in the left lateral position and subsequently suffered a pneumothorax post-operatively. A PubMed Medline and Cochrane database search was carried out, and 32 articles were identified and thoroughly reviewed. Overall, among the articles that propose a mechanism, 75% (9/12) consider the pathogenesis to be multifactorial. The exact mechanism is currently unknown. Awareness of this complication and timely recognition are important to prevent life-threatening sequelae. Surgeons should maintain a low threshold for obtaining diagnostic plain radiographs in the event of clinical suspicion.</p>","PeriodicalId":45241,"journal":{"name":"Malaysian Orthopaedic Journal","volume":"18 2","pages":"86-92"},"PeriodicalIF":0.6000,"publicationDate":"2024-07-01","publicationTypes":"Journal Article","fieldsOfStudy":null,"isOpenAccess":false,"openAccessPdf":"https://www.ncbi.nlm.nih.gov/pmc/articles/PMC11315952/pdf/","citationCount":"0","resultStr":null,"platform":"Semanticscholar","paperid":null,"PeriodicalName":"Malaysian Orthopaedic Journal","FirstCategoryId":"1085","ListUrlMain":"https://doi.org/10.5704/MOJ.2407.013","RegionNum":0,"RegionCategory":null,"ArticlePicture":[],"TitleCN":null,"AbstractTextCN":null,"PMCID":null,"EPubDate":"","PubModel":"","JCR":"Q4","JCRName":"ORTHOPEDICS","Score":null,"Total":0}
引用次数: 0

Abstract

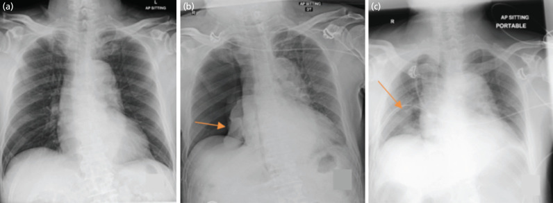
Shoulder arthroscopy is an increasingly common procedure. Pneumothorax post-shoulder arthroscopy is a rare complication. Our aim is to highlight a case report of pneumothorax post-shoulder arthroscopy and to conduct a literature review to evaluate the possible risk factors. We report the case of a 75-year-old male non-smoker, who underwent right shoulder arthroscopy without regional anaesthesia in the left lateral position and subsequently suffered a pneumothorax post-operatively. A PubMed Medline and Cochrane database search was carried out, and 32 articles were identified and thoroughly reviewed. Overall, among the articles that propose a mechanism, 75% (9/12) consider the pathogenesis to be multifactorial. The exact mechanism is currently unknown. Awareness of this complication and timely recognition are important to prevent life-threatening sequelae. Surgeons should maintain a low threshold for obtaining diagnostic plain radiographs in the event of clinical suspicion.

Abstract Image

Abstract Image

肩关节镜术后气胸:病例报告
肩关节镜手术越来越常见。肩关节镜术后气胸是一种罕见的并发症。我们的目的是重点介绍一例肩关节镜术后气胸的病例报告,并进行文献综述以评估可能的风险因素。我们报告了一例 75 岁男性非吸烟者的病例,他在未进行区域麻醉的情况下以左侧卧位接受了右肩关节镜手术,术后出现气胸。我们在 PubMed Medline 和 Cochrane 数据库中进行了搜索,共找到 32 篇文章并进行了详细审查。总体而言,在提出发病机制的文章中,75%(9/12)的文章认为发病机制是多因素的。确切的机制目前尚不清楚。对这种并发症的认识和及时识别对于预防危及生命的后遗症非常重要。外科医生应保持较低的门槛,在临床怀疑的情况下获取诊断性平片。
本文章由计算机程序翻译,如有差异,请以英文原文为准。
求助全文
约1分钟内获得全文 求助全文
来源期刊
CiteScore
1.30
自引率
0.00%
发文量
104
审稿时长
24 weeks
期刊介绍: The Malaysian Orthopaedic Journal is a peer-reviewed journal that publishes original papers and case reports three times a year in both printed and electronic version. The purpose of MOJ is to disseminate new knowledge and provide updates in Orthopaedics, trauma and musculoskeletal research. It is an Open Access journal that does not require processing fee or article processing charge from the authors. The Malaysian Orthopaedic Journal is the official journal of Malaysian Orthopaedic Association (MOA) and ASEAN Orthopaedic Association (AOA).
×
引用
GB/T 7714-2015
复制
MLA
复制
APA
复制
导出至
BibTeX EndNote RefMan NoteFirst NoteExpress
×
提示
您的信息不完整,为了账户安全,请先补充。
现在去补充
×
提示
您因"违规操作"
具体请查看互助需知
我知道了
×
提示
确定
请完成安全验证×
copy
已复制链接
快去分享给好友吧!
我知道了
右上角分享
点击右上角分享
0
联系我们:info@booksci.cn Book学术提供免费学术资源搜索服务,方便国内外学者检索中英文文献。致力于提供最便捷和优质的服务体验。 Copyright © 2023 布克学术 All rights reserved.
京ICP备2023020795号-1
ghs 京公网安备 11010802042870号
Book学术文献互助
Book学术文献互助群
群 号:604180095
Book学术官方微信