First case of feline cryptococcosis in Bosnia and Herzegovina.

IF 0.7 Q3 VETERINARY SCIENCES
Journal of Feline Medicine and Surgery Open Reports Pub Date : 2024-08-07 eCollection Date: 2024-07-01 DOI:10.1177/20551169241265248
Aida Glavinić, Jovana Šupić, Amer Alić, Nermina Spahija, Alan Maksimović, Amila Šunje-Rizvan
{"title":"First case of feline cryptococcosis in Bosnia and Herzegovina.","authors":"Aida Glavinić, Jovana Šupić, Amer Alić, Nermina Spahija, Alan Maksimović, Amila Šunje-Rizvan","doi":"10.1177/20551169241265248","DOIUrl":null,"url":null,"abstract":"<p><strong>Case summary: </strong>A 2-year-old domestic longhair crossbred female cat was referred for a second opinion on a non-healing surgical wound after left eye enucleation. In addition to the left orbital lesion, ulcerative granular masses protruding from the left nostril and on the base of the left ear were noted. A diagnosis of cryptococcosis was established using histopathological examination and a latex cryptococcal antigen agglutination test. The cat was successfully treated with itraconazole.</p><p><strong>Relevance and novel information: </strong>Cryptococcosis, commonly reported in Australia, western Canada and the western USA, is rarely reported in companion animals in Europe. This marks the first report of cryptococcosis in cats in Bosnia and Herzegovina, emphasising the need to raise awareness within the veterinary community, both local and regional, about this disease.</p>","PeriodicalId":36588,"journal":{"name":"Journal of Feline Medicine and Surgery Open Reports","volume":"10 2","pages":"20551169241265248"},"PeriodicalIF":0.7000,"publicationDate":"2024-08-07","publicationTypes":"Journal Article","fieldsOfStudy":null,"isOpenAccess":false,"openAccessPdf":"https://www.ncbi.nlm.nih.gov/pmc/articles/PMC11311172/pdf/","citationCount":"0","resultStr":null,"platform":"Semanticscholar","paperid":null,"PeriodicalName":"Journal of Feline Medicine and Surgery Open Reports","FirstCategoryId":"1085","ListUrlMain":"https://doi.org/10.1177/20551169241265248","RegionNum":0,"RegionCategory":null,"ArticlePicture":[],"TitleCN":null,"AbstractTextCN":null,"PMCID":null,"EPubDate":"2024/7/1 0:00:00","PubModel":"eCollection","JCR":"Q3","JCRName":"VETERINARY SCIENCES","Score":null,"Total":0}
引用次数: 0

Abstract

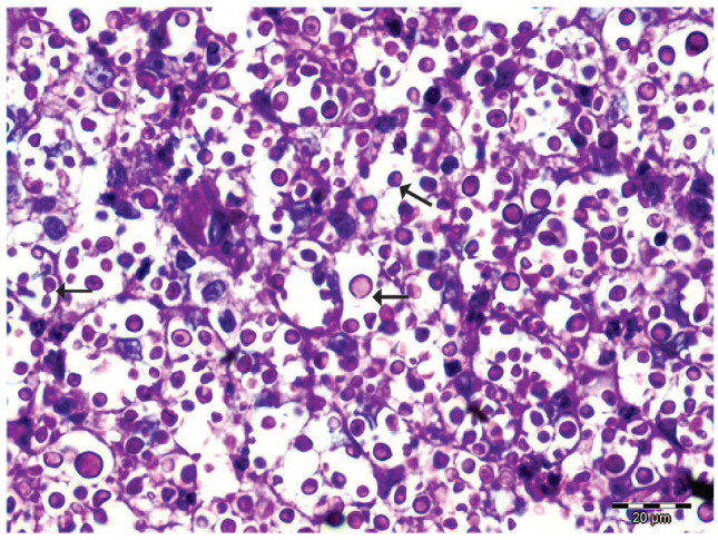
Case summary: A 2-year-old domestic longhair crossbred female cat was referred for a second opinion on a non-healing surgical wound after left eye enucleation. In addition to the left orbital lesion, ulcerative granular masses protruding from the left nostril and on the base of the left ear were noted. A diagnosis of cryptococcosis was established using histopathological examination and a latex cryptococcal antigen agglutination test. The cat was successfully treated with itraconazole.

Relevance and novel information: Cryptococcosis, commonly reported in Australia, western Canada and the western USA, is rarely reported in companion animals in Europe. This marks the first report of cryptococcosis in cats in Bosnia and Herzegovina, emphasising the need to raise awareness within the veterinary community, both local and regional, about this disease.

Abstract Image

Abstract Image

Abstract Image

波斯尼亚和黑塞哥维那首例猫隐球菌病。
病例摘要:一只两岁大的家养长毛杂交雌猫因左眼眼球摘除术后手术伤口不愈合而转诊。除了左眼眶病变外,还发现左鼻孔和左耳根部有溃疡性颗粒状肿块突出。通过组织病理学检查和乳胶隐球菌抗原凝集试验,确定了隐球菌病的诊断。猫咪接受了伊曲康唑的成功治疗:隐球菌病通常发生在澳大利亚、加拿大西部和美国西部,但在欧洲很少有伴侣动物感染隐球菌病的报道。这是波斯尼亚和黑塞哥维那首次报告猫感染隐球菌病,强调了提高当地和地区兽医界对这种疾病认识的必要性。
本文章由计算机程序翻译,如有差异,请以英文原文为准。
求助全文
约1分钟内获得全文 求助全文
来源期刊
CiteScore
1.30
自引率
14.30%
发文量
57
审稿时长
15 weeks
×
引用
GB/T 7714-2015
复制
MLA
复制
APA
复制
导出至
BibTeX EndNote RefMan NoteFirst NoteExpress
×
提示
您的信息不完整,为了账户安全,请先补充。
现在去补充
×
提示
您因"违规操作"
具体请查看互助需知
我知道了
×
提示
确定
请完成安全验证×
copy
已复制链接
快去分享给好友吧!
我知道了
右上角分享
点击右上角分享
0
联系我们:info@booksci.cn Book学术提供免费学术资源搜索服务,方便国内外学者检索中英文文献。致力于提供最便捷和优质的服务体验。 Copyright © 2023 布克学术 All rights reserved.
京ICP备2023020795号-1
ghs 京公网安备 11010802042870号
Book学术文献互助
Book学术文献互助群
群 号:604180095
Book学术官方微信