Evaluating the effect of histopathological parameters of prostate adenocarcinoma on prognosis in radical prostatectomy specimens.

Annals of Saudi medicine Pub Date : 2024-07-01 Epub Date: 2024-08-01 DOI:10.5144/0256-4947.2024.234
Ergün Tercan, O Uzcan Erbatu, Oktay Üçer, Sefa Metin, Nalan Ne E
{"title":"Evaluating the effect of histopathological parameters of prostate adenocarcinoma on prognosis in radical prostatectomy specimens.","authors":"Ergün Tercan, O Uzcan Erbatu, Oktay Üçer, Sefa Metin, Nalan Ne E","doi":"10.5144/0256-4947.2024.234","DOIUrl":null,"url":null,"abstract":"<p><strong>Background: </strong>Over the past decade, significant updates have been made regarding the classification and grading of prostate adenocarcinoma in radical prostatectomy specimens, following decisions reached in international conferences and through impactful publications. These alterations are closely linked to patient prognosis.</p><p><strong>Objectives: </strong>Observe the incidence of these changes and their impact on patient prognosis. Additionally, investigate the relationship between histopathological and clinical parameters to assist in multidisciplinary treatment planning.</p><p><strong>Design: </strong>Retrospective cohort study.</p><p><strong>Setting: </strong>Tertiary university hospital.</p><p><strong>Methods: </strong>Hematoxylin and eosin, along with immunohistochemistry stained sections, were reevaluated, and clinical information, including patient demographics, preoperative PSA levels, and patient follow-up were collected from patients who underwent radical prostatectomy at our center.</p><p><strong>Sample size: </strong>182 patients.</p><p><strong>Main outcome measures: </strong>Biochemical recurrence.</p><p><strong>Results: </strong>The study highlighted the negative prognostic effects of factors such as Gleason grade group, lymphovascular invasion, intraductal carcinoma, positive surgical margins, extraprostatic extension, pathological T stage, and seminal vesicle invasion. These factors are important determinants of recurrence-free survival in prostate adenocarcinoma patients.</p><p><strong>Conclusion: </strong>This study identified comedonecrosis and intraductal carcinoma as independent negative prognostic factors. A 3-mm cutoff for positive surgical margins was supported, while the current cutoff for extraprostatic extension may require reevaluation. The impact of cribriform pattern and ductal carcinoma appears to be influenced by the grade group. No independent relationship was found between the Gleason score/pattern on positive surgical margins or extraprostatic extension and prognosis. Further, large-scale studies with long-term follow-up are needed.</p><p><strong>Limitations: </strong>The study is limited by the relatively small number of patients for certain parameters.</p>","PeriodicalId":93875,"journal":{"name":"Annals of Saudi medicine","volume":"44 4","pages":"234-248"},"PeriodicalIF":0.0000,"publicationDate":"2024-07-01","publicationTypes":"Journal Article","fieldsOfStudy":null,"isOpenAccess":false,"openAccessPdf":"https://www.ncbi.nlm.nih.gov/pmc/articles/PMC11316946/pdf/","citationCount":"0","resultStr":null,"platform":"Semanticscholar","paperid":null,"PeriodicalName":"Annals of Saudi medicine","FirstCategoryId":"1085","ListUrlMain":"https://doi.org/10.5144/0256-4947.2024.234","RegionNum":0,"RegionCategory":null,"ArticlePicture":[],"TitleCN":null,"AbstractTextCN":null,"PMCID":null,"EPubDate":"2024/8/1 0:00:00","PubModel":"Epub","JCR":"","JCRName":"","Score":null,"Total":0}
引用次数: 0

Abstract

Background: Over the past decade, significant updates have been made regarding the classification and grading of prostate adenocarcinoma in radical prostatectomy specimens, following decisions reached in international conferences and through impactful publications. These alterations are closely linked to patient prognosis.

Objectives: Observe the incidence of these changes and their impact on patient prognosis. Additionally, investigate the relationship between histopathological and clinical parameters to assist in multidisciplinary treatment planning.

Design: Retrospective cohort study.

Setting: Tertiary university hospital.

Methods: Hematoxylin and eosin, along with immunohistochemistry stained sections, were reevaluated, and clinical information, including patient demographics, preoperative PSA levels, and patient follow-up were collected from patients who underwent radical prostatectomy at our center.

Sample size: 182 patients.

Main outcome measures: Biochemical recurrence.

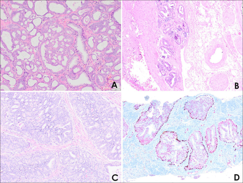
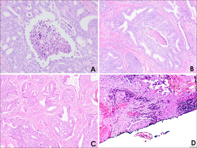
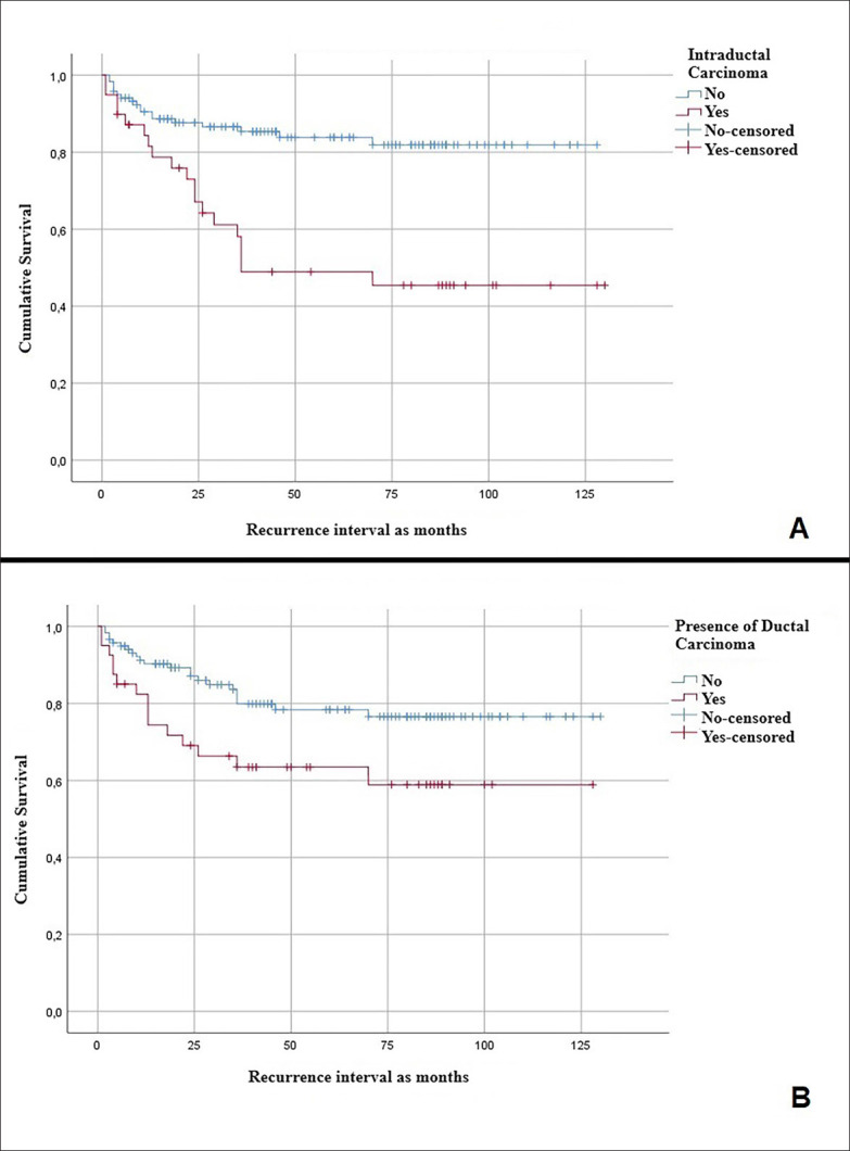
Results: The study highlighted the negative prognostic effects of factors such as Gleason grade group, lymphovascular invasion, intraductal carcinoma, positive surgical margins, extraprostatic extension, pathological T stage, and seminal vesicle invasion. These factors are important determinants of recurrence-free survival in prostate adenocarcinoma patients.

Conclusion: This study identified comedonecrosis and intraductal carcinoma as independent negative prognostic factors. A 3-mm cutoff for positive surgical margins was supported, while the current cutoff for extraprostatic extension may require reevaluation. The impact of cribriform pattern and ductal carcinoma appears to be influenced by the grade group. No independent relationship was found between the Gleason score/pattern on positive surgical margins or extraprostatic extension and prognosis. Further, large-scale studies with long-term follow-up are needed.

Limitations: The study is limited by the relatively small number of patients for certain parameters.

Abstract Image

Abstract Image

Abstract Image

评估前列腺癌组织病理学参数对根治性前列腺切除术标本预后的影响。
背景:在过去十年中,根据国际会议的决定和有影响力的出版物,对根治性前列腺切除术标本中前列腺癌的分类和分级进行了重大更新。这些变化与患者的预后密切相关:观察这些变化的发生率及其对患者预后的影响。此外,研究组织病理学和临床参数之间的关系,以帮助制定多学科治疗计划:设计:回顾性队列研究:方法:对本中心接受根治性前列腺切除术的患者进行血沉、伊红和免疫组化染色切片的重新评估,并收集包括患者人口统计学、术前 PSA 水平和患者随访情况在内的临床信息:主要结果指标:生化复发:结果:研究结果表明,Gleason分级组、淋巴管侵犯、导管内癌、手术切缘阳性、前列腺外延伸、病理T分期和精囊侵犯等因素对预后有负面影响。这些因素是前列腺腺癌患者无复发生存期的重要决定因素:结论:本研究发现,合并症和导管内癌是独立的阴性预后因素。3毫米的手术切缘阳性临界值得到了支持,而目前的前列腺体外扩展临界值可能需要重新评估。楔形形态和导管癌的影响似乎受到分级组的影响。在手术切缘阳性或前列腺外延伸的格里森评分/形态与预后之间没有发现独立的关系。此外,还需要进行长期随访的大规模研究:研究的局限性在于某些参数的患者人数相对较少。
本文章由计算机程序翻译,如有差异,请以英文原文为准。
求助全文
约1分钟内获得全文 求助全文
来源期刊
自引率
0.00%
发文量
0
×
引用
GB/T 7714-2015
复制
MLA
复制
APA
复制
导出至
BibTeX EndNote RefMan NoteFirst NoteExpress
×
提示
您的信息不完整,为了账户安全,请先补充。
现在去补充
×
提示
您因"违规操作"
具体请查看互助需知
我知道了
×
提示
确定
请完成安全验证×
copy
已复制链接
快去分享给好友吧!
我知道了
右上角分享
点击右上角分享
0
联系我们:info@booksci.cn Book学术提供免费学术资源搜索服务,方便国内外学者检索中英文文献。致力于提供最便捷和优质的服务体验。 Copyright © 2023 布克学术 All rights reserved.
京ICP备2023020795号-1
ghs 京公网安备 11010802042870号
Book学术文献互助
Book学术文献互助群
群 号:604180095
Book学术官方微信