Significance of RCC2, Rac1 and p53 Expression in Breast Infiltrating Ductal Carcinoma; An Immunohistochemical Study.

Q3 Medicine
Iranian Journal of Pathology Pub Date : 2024-01-01 Epub Date: 2023-02-15 DOI:10.30699/IJP.2024.2014367.3198
Aiat Shaban Hemida, Reham Ahmed Abdelaziz, Moshira Mohammed Abd El-Wahed, Nancy Yousef Asaad, Marwa Mohammed Serag El-Dien, Hend Ali Elshahat Ali
{"title":"Significance of RCC2, Rac1 and p53 Expression in Breast Infiltrating Ductal Carcinoma; An Immunohistochemical Study.","authors":"Aiat Shaban Hemida, Reham Ahmed Abdelaziz, Moshira Mohammed Abd El-Wahed, Nancy Yousef Asaad, Marwa Mohammed Serag El-Dien, Hend Ali Elshahat Ali","doi":"10.30699/IJP.2024.2014367.3198","DOIUrl":null,"url":null,"abstract":"<p><strong>Background & objective: </strong>The regulator of chromosome condensation 2 (RCC2) and RAS-related C3 botulinum toxin substrate 1 (Rac1) have been implicated in the promotion of breast cancer cell proliferation and migration. The signaling pathway involving p53/RCC2/Rac1 has been proposed to contribute to the regulation of colon cancer metastasis. However, until now, this pathway has not been thoroughly investigated in breast cancer. This study seeks to explore the influence of immunohistochemical expression and the correlation among RCC2, Rac1, and p53 in breast infiltrating ductal carcinoma (IDC).</p><p><strong>Methods: </strong>Immunostaining was performed on 120 breast IDC specimens using RCC2, Rac1, and p53 antibodies. Statistical analyses were conducted to examine the correlations between these antibodies.</p><p><strong>Results: </strong>A Positive expression of RCC2, Rac1, and p53 was observed in 116 (96.7%), 120 (100%), and 33 (27.5%) of the breast cancer cases, respectively. RCC2, Rac1, and p53 demonstrated association with poor prognostic parameters such as frequent mitoses, high Ki-67 status, positive lymphovascular invasion (LVI), and advanced tumor stage. A highly significant direct correlation was found between each immunohistochemical marker and the other two markers. Shorter overall survival was linked to multifocal tumors (<i>P</i>=0.017), advanced tumor stage (T3) (<i>P</i>=0.010), Luminal B subtype (<i>P</i>=0.015), progressive disease (<i>P</i>=0.003), positive Her2neu status (<i>P</i>=0.008), and metastasis to distant organs (<i>P</i><0.001). However, RCC2, Rac1, and p53 did not exhibit a significant association with overall survival.</p><p><strong>Conclusion: </strong>The high expression levels of RCC2, Rac1, and p53 in breast IDC suggest their potential role in tumor behavior. The association of RCC2 and Rac1 with poor prognostic parameters may serve as predictive indicators for aggressive tumors, thus implying that targeted therapy could be beneficial in the treatment of breast cancer.</p>","PeriodicalId":38900,"journal":{"name":"Iranian Journal of Pathology","volume":"19 2","pages":"177-192"},"PeriodicalIF":0.0000,"publicationDate":"2024-01-01","publicationTypes":"Journal Article","fieldsOfStudy":null,"isOpenAccess":false,"openAccessPdf":"https://www.ncbi.nlm.nih.gov/pmc/articles/PMC11304461/pdf/","citationCount":"0","resultStr":null,"platform":"Semanticscholar","paperid":null,"PeriodicalName":"Iranian Journal of Pathology","FirstCategoryId":"1085","ListUrlMain":"https://doi.org/10.30699/IJP.2024.2014367.3198","RegionNum":0,"RegionCategory":null,"ArticlePicture":[],"TitleCN":null,"AbstractTextCN":null,"PMCID":null,"EPubDate":"2023/2/15 0:00:00","PubModel":"Epub","JCR":"Q3","JCRName":"Medicine","Score":null,"Total":0}
引用次数: 0

Abstract

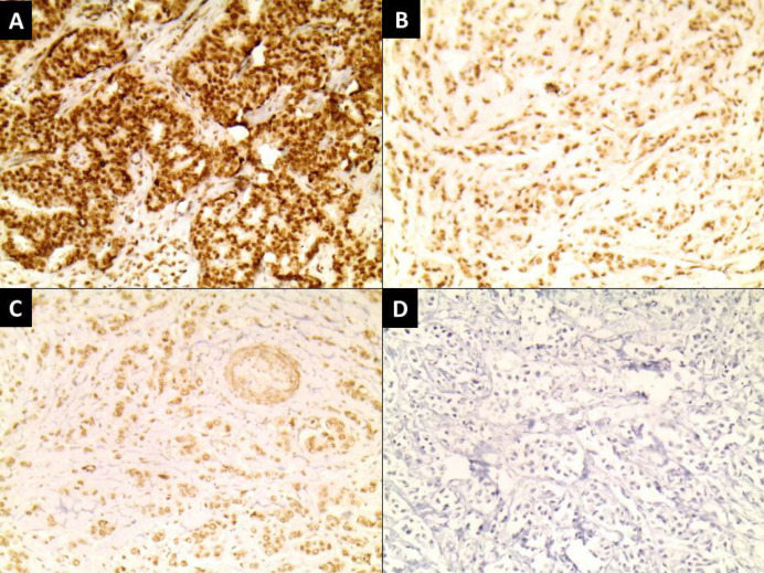
Background & objective: The regulator of chromosome condensation 2 (RCC2) and RAS-related C3 botulinum toxin substrate 1 (Rac1) have been implicated in the promotion of breast cancer cell proliferation and migration. The signaling pathway involving p53/RCC2/Rac1 has been proposed to contribute to the regulation of colon cancer metastasis. However, until now, this pathway has not been thoroughly investigated in breast cancer. This study seeks to explore the influence of immunohistochemical expression and the correlation among RCC2, Rac1, and p53 in breast infiltrating ductal carcinoma (IDC).

Methods: Immunostaining was performed on 120 breast IDC specimens using RCC2, Rac1, and p53 antibodies. Statistical analyses were conducted to examine the correlations between these antibodies.

Results: A Positive expression of RCC2, Rac1, and p53 was observed in 116 (96.7%), 120 (100%), and 33 (27.5%) of the breast cancer cases, respectively. RCC2, Rac1, and p53 demonstrated association with poor prognostic parameters such as frequent mitoses, high Ki-67 status, positive lymphovascular invasion (LVI), and advanced tumor stage. A highly significant direct correlation was found between each immunohistochemical marker and the other two markers. Shorter overall survival was linked to multifocal tumors (P=0.017), advanced tumor stage (T3) (P=0.010), Luminal B subtype (P=0.015), progressive disease (P=0.003), positive Her2neu status (P=0.008), and metastasis to distant organs (P<0.001). However, RCC2, Rac1, and p53 did not exhibit a significant association with overall survival.

Conclusion: The high expression levels of RCC2, Rac1, and p53 in breast IDC suggest their potential role in tumor behavior. The association of RCC2 and Rac1 with poor prognostic parameters may serve as predictive indicators for aggressive tumors, thus implying that targeted therapy could be beneficial in the treatment of breast cancer.

Abstract Image

Abstract Image

Abstract Image

乳腺浸润性导管癌中 RCC2、Rac1 和 p53 表达的意义;一项免疫组化研究。
背景与目的:染色体凝聚调节因子 2(RCC2)和 RAS 相关 C3 肉毒毒素底物 1(Rac1)与促进乳腺癌细胞增殖和迁移有关。涉及 p53/RCC2/Rac1 的信号通路被认为有助于调节结肠癌的转移。然而,迄今为止,这一通路在乳腺癌中的作用尚未得到深入研究。本研究旨在探讨乳腺浸润性导管癌(IDC)中 RCC2、Rac1 和 p53 免疫组化表达的影响及其相关性:方法:使用 RCC2、Rac1 和 p53 抗体对 120 例乳腺 IDC 标本进行免疫染色。方法:使用 RCC2、Rac1 和 p53 抗体对 120 例乳腺 IDC 标本进行免疫染色,并对这些抗体之间的相关性进行统计分析:在 116 例(96.7%)、120 例(100%)和 33 例(27.5%)乳腺癌病例中分别观察到 RCC2、Rac1 和 p53 阳性表达。RCC2、Rac1和p53与有丝分裂频繁、高Ki-67状态、淋巴管侵犯(LVI)阳性和肿瘤晚期等不良预后参数有关。每种免疫组化标记物与其他两种标记物之间都存在高度明显的直接相关性。总生存期较短与多灶性肿瘤(P=0.017)、肿瘤晚期(T3)(P=0.010)、Luminal B亚型(P=0.015)、疾病进展(P=0.003)、Her2neu阳性(P=0.008)和远处器官转移(PConclusion:RCC2、Rac1和p53在乳腺IDC中的高表达水平表明它们在肿瘤行为中的潜在作用。RCC2和Rac1与不良预后参数的关联可作为侵袭性肿瘤的预测指标,从而意味着靶向治疗可能有益于乳腺癌的治疗。
本文章由计算机程序翻译,如有差异,请以英文原文为准。
求助全文
约1分钟内获得全文 求助全文
来源期刊
Iranian Journal of Pathology
Iranian Journal of Pathology Medicine-Pathology and Forensic Medicine
CiteScore
2.00
自引率
0.00%
发文量
99
审稿时长
20 weeks
×
引用
GB/T 7714-2015
复制
MLA
复制
APA
复制
导出至
BibTeX EndNote RefMan NoteFirst NoteExpress
×
提示
您的信息不完整,为了账户安全,请先补充。
现在去补充
×
提示
您因"违规操作"
具体请查看互助需知
我知道了
×
提示
确定
请完成安全验证×
copy
已复制链接
快去分享给好友吧!
我知道了
右上角分享
点击右上角分享
0
联系我们:info@booksci.cn Book学术提供免费学术资源搜索服务,方便国内外学者检索中英文文献。致力于提供最便捷和优质的服务体验。 Copyright © 2023 布克学术 All rights reserved.
京ICP备2023020795号-1
ghs 京公网安备 11010802042870号
Book学术文献互助
Book学术文献互助群
群 号:604180095
Book学术官方微信