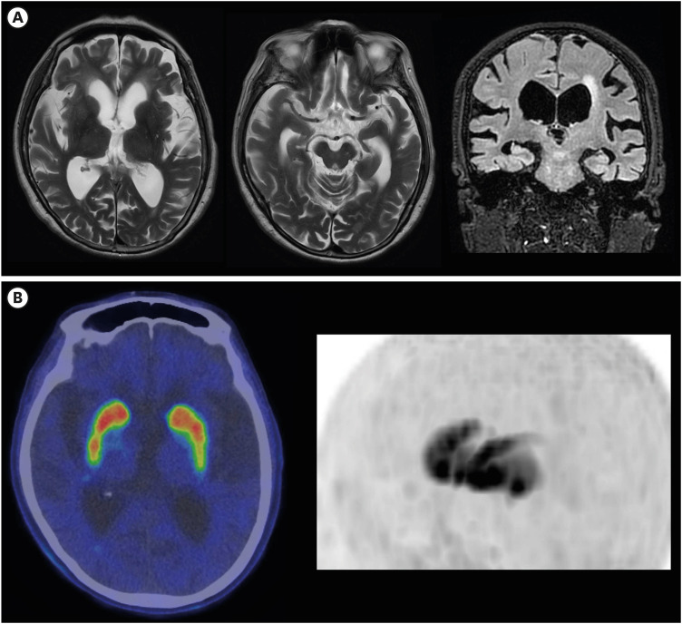
Shunt-Responsive Idiopathic Normal Pressure Hydrocephalus Patient With Parkinson's Disease-Compatible Findings on Dopamine Transporter Scans.

Dementia and neurocognitive disorders Pub Date : 2024-07-01 Epub Date: 2024-06-28 DOI:10.12779/dnd.2024.23.3.161
Chaejin Lee, Sang-Youl Yoon, Sang-Woo Lee, Shin Young Jeong, Eunhee Park, Jeong-Hyun Hwang, Ki-Su Park, Kyunghun Kang
{"title":"Shunt-Responsive Idiopathic Normal Pressure Hydrocephalus Patient With Parkinson's Disease-Compatible Findings on Dopamine Transporter Scans.","authors":"Chaejin Lee, Sang-Youl Yoon, Sang-Woo Lee, Shin Young Jeong, Eunhee Park, Jeong-Hyun Hwang, Ki-Su Park, Kyunghun Kang","doi":"10.12779/dnd.2024.23.3.161","DOIUrl":null,"url":null,"abstract":"","PeriodicalId":72779,"journal":{"name":"Dementia and neurocognitive disorders","volume":"23 3","pages":"161-163"},"PeriodicalIF":0.0000,"publicationDate":"2024-07-01","publicationTypes":"Journal Article","fieldsOfStudy":null,"isOpenAccess":false,"openAccessPdf":"https://www.ncbi.nlm.nih.gov/pmc/articles/PMC11300687/pdf/","citationCount":"0","resultStr":null,"platform":"Semanticscholar","paperid":null,"PeriodicalName":"Dementia and neurocognitive disorders","FirstCategoryId":"1085","ListUrlMain":"https://doi.org/10.12779/dnd.2024.23.3.161","RegionNum":0,"RegionCategory":null,"ArticlePicture":[],"TitleCN":null,"AbstractTextCN":null,"PMCID":null,"EPubDate":"2024/6/28 0:00:00","PubModel":"Epub","JCR":"","JCRName":"","Score":null,"Total":0}
引用次数: 0

Abstract Image

患有帕金森病的顺应症特发性正常压力脑积水患者--多巴胺转运体扫描结果与帕金森病相符。
本文章由计算机程序翻译,如有差异,请以英文原文为准。
求助全文
约1分钟内获得全文 求助全文
来源期刊
自引率
0.00%
发文量
0
×
引用
GB/T 7714-2015
复制
MLA
复制
APA
复制
导出至
BibTeX EndNote RefMan NoteFirst NoteExpress
×
提示
您的信息不完整,为了账户安全,请先补充。
现在去补充
×
提示
您因"违规操作"
具体请查看互助需知
我知道了
×
提示
确定
请完成安全验证×
copy
已复制链接
快去分享给好友吧!
我知道了
右上角分享
点击右上角分享
0
联系我们:info@booksci.cn Book学术提供免费学术资源搜索服务,方便国内外学者检索中英文文献。致力于提供最便捷和优质的服务体验。 Copyright © 2023 布克学术 All rights reserved.
京ICP备2023020795号-1
ghs 京公网安备 11010802042870号
Book学术文献互助
Book学术文献互助群
群 号:604180095
Book学术官方微信