Cerebrolysin Concentrate: Therapeutic Potential for Severe Oral Apraxia After Stroke: A Case Report.

Brain & NeuroRehabilitation Pub Date : 2024-06-17 eCollection Date: 2024-07-01 DOI:10.12786/bn.2024.17.e11
Hyeonwoo Jeon, Doo Young Kim
{"title":"Cerebrolysin Concentrate: Therapeutic Potential for Severe Oral Apraxia After Stroke: A Case Report.","authors":"Hyeonwoo Jeon, Doo Young Kim","doi":"10.12786/bn.2024.17.e11","DOIUrl":null,"url":null,"abstract":"<p><p>Cerebrolysin concentrate is a medication whose main active ingredient is brain-derived neurotrophic factor. It has been reported to help in the restoration of cognitive function and overall physical function after brain injuries. We present the case of a 72-year-old man with severe oral apraxia due to a left middle cerebral artery ischemic stroke involving the left insular cortex. He was being tube fed due to severe oral apraxia with cognitive decline that made it difficult for him to even imitate simple oral movements. The patient initially had impaired consciousness and cognitive function. He also had limited physical activity due to acute stroke complications, such as hemorrhagic transformation of cerebral infarction, and required bed rest until 23 days after onset. The patient received intravenous cerebrolysin concentrate in addition to intensive rehabilitation therapy from 23 days after onset. After rehabilitation and administration of cerebrolysin concentrate, there was a marked recovery within a short period of time to the point where oral intake of a regular diet was possible, indicating a significant improvement in oral apraxia. It is a notable example of the potential therapeutic effect of cerebrolysin concentrate for post-stroke oral apraxia.</p>","PeriodicalId":72442,"journal":{"name":"Brain & NeuroRehabilitation","volume":"17 2","pages":"e11"},"PeriodicalIF":0.0000,"publicationDate":"2024-06-17","publicationTypes":"Journal Article","fieldsOfStudy":null,"isOpenAccess":false,"openAccessPdf":"https://www.ncbi.nlm.nih.gov/pmc/articles/PMC11300962/pdf/","citationCount":"0","resultStr":null,"platform":"Semanticscholar","paperid":null,"PeriodicalName":"Brain & NeuroRehabilitation","FirstCategoryId":"1085","ListUrlMain":"https://doi.org/10.12786/bn.2024.17.e11","RegionNum":0,"RegionCategory":null,"ArticlePicture":[],"TitleCN":null,"AbstractTextCN":null,"PMCID":null,"EPubDate":"2024/7/1 0:00:00","PubModel":"eCollection","JCR":"","JCRName":"","Score":null,"Total":0}
引用次数: 0

Abstract

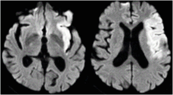
Cerebrolysin concentrate is a medication whose main active ingredient is brain-derived neurotrophic factor. It has been reported to help in the restoration of cognitive function and overall physical function after brain injuries. We present the case of a 72-year-old man with severe oral apraxia due to a left middle cerebral artery ischemic stroke involving the left insular cortex. He was being tube fed due to severe oral apraxia with cognitive decline that made it difficult for him to even imitate simple oral movements. The patient initially had impaired consciousness and cognitive function. He also had limited physical activity due to acute stroke complications, such as hemorrhagic transformation of cerebral infarction, and required bed rest until 23 days after onset. The patient received intravenous cerebrolysin concentrate in addition to intensive rehabilitation therapy from 23 days after onset. After rehabilitation and administration of cerebrolysin concentrate, there was a marked recovery within a short period of time to the point where oral intake of a regular diet was possible, indicating a significant improvement in oral apraxia. It is a notable example of the potential therapeutic effect of cerebrolysin concentrate for post-stroke oral apraxia.

Abstract Image

Abstract Image

浓缩脑糖苷:中风后重度口语障碍的治疗潜力:病例报告。
浓缩脑溶解素是一种药物,其主要活性成分是脑源性神经营养因子。据报道,它有助于恢复脑损伤后的认知功能和整体身体功能。我们介绍了一例因左侧大脑中动脉缺血性中风(累及左侧岛叶皮质)而导致严重口语障碍的 72 岁男性病例。由于严重的口腔发音障碍和认知能力下降,他甚至难以模仿简单的口腔动作,因此需要插管喂养。患者最初意识和认知功能受损。由于急性中风并发症,如脑梗塞出血性转化,他的身体活动也受到限制,发病后需要卧床休息至 23 天。从发病后 23 天起,患者除了接受强化康复治疗外,还接受了静脉注射浓缩脑白蛋白。经过康复治疗和服用浓缩脑蛋白后,患者在短时间内明显康复,可以口服正常饮食,这表明患者的口腔发音障碍得到了显著改善。这是浓缩脑蛋白酶对脑卒中后口腔瘫痪的潜在治疗效果的一个显著例子。
本文章由计算机程序翻译,如有差异,请以英文原文为准。
求助全文
约1分钟内获得全文 求助全文
来源期刊
自引率
0.00%
发文量
0
×
引用
GB/T 7714-2015
复制
MLA
复制
APA
复制
导出至
BibTeX EndNote RefMan NoteFirst NoteExpress
×
提示
您的信息不完整,为了账户安全,请先补充。
现在去补充
×
提示
您因"违规操作"
具体请查看互助需知
我知道了
×
提示
确定
请完成安全验证×
copy
已复制链接
快去分享给好友吧!
我知道了
右上角分享
点击右上角分享
0
联系我们:info@booksci.cn Book学术提供免费学术资源搜索服务,方便国内外学者检索中英文文献。致力于提供最便捷和优质的服务体验。 Copyright © 2023 布克学术 All rights reserved.
京ICP备2023020795号-1
ghs 京公网安备 11010802042870号
Book学术文献互助
Book学术文献互助群
群 号:604180095
Book学术官方微信