Description of a concurrent thyroid haemangioma and a follicular adenoma.

IF 0.9 Q4 RADIOLOGY, NUCLEAR MEDICINE & MEDICAL IMAGING
SA Journal of Radiology Pub Date : 2024-07-31 eCollection Date: 2024-01-01 DOI:10.4102/sajr.v28i1.2863
Liezel Coetzee, Wilhelmina Conradie, Razaan Davis, Rubina Razack
{"title":"Description of a concurrent thyroid haemangioma and a follicular adenoma.","authors":"Liezel Coetzee, Wilhelmina Conradie, Razaan Davis, Rubina Razack","doi":"10.4102/sajr.v28i1.2863","DOIUrl":null,"url":null,"abstract":"<p><p>Thyroid gland vascular proliferations pose a challenge to pathologists, radiologists and surgeons. This is illustrated in the case of a 36-year-old woman who underwent a diagnostic thyroid lobectomy for a suspected follicular neoplasm according to cytology. Histological diagnosis confirmed a follicular adenoma as well as a cavernous haemangioma or venous malformation.</p><p><strong>Contribution: </strong>Thyroid vascular lesions are rare. Evolving nomenclature and application of the International Society for the Study of Vascular Anomalies classification are discussed. Pertinent radiological clues are highlighted to pre-empt the diagnosis and avoid potential surgical complications.</p>","PeriodicalId":43442,"journal":{"name":"SA Journal of Radiology","volume":"28 1","pages":"2863"},"PeriodicalIF":0.9000,"publicationDate":"2024-07-31","publicationTypes":"Journal Article","fieldsOfStudy":null,"isOpenAccess":false,"openAccessPdf":"https://www.ncbi.nlm.nih.gov/pmc/articles/PMC11304353/pdf/","citationCount":"0","resultStr":null,"platform":"Semanticscholar","paperid":null,"PeriodicalName":"SA Journal of Radiology","FirstCategoryId":"1085","ListUrlMain":"https://doi.org/10.4102/sajr.v28i1.2863","RegionNum":0,"RegionCategory":null,"ArticlePicture":[],"TitleCN":null,"AbstractTextCN":null,"PMCID":null,"EPubDate":"2024/1/1 0:00:00","PubModel":"eCollection","JCR":"Q4","JCRName":"RADIOLOGY, NUCLEAR MEDICINE & MEDICAL IMAGING","Score":null,"Total":0}
引用次数: 0

Abstract

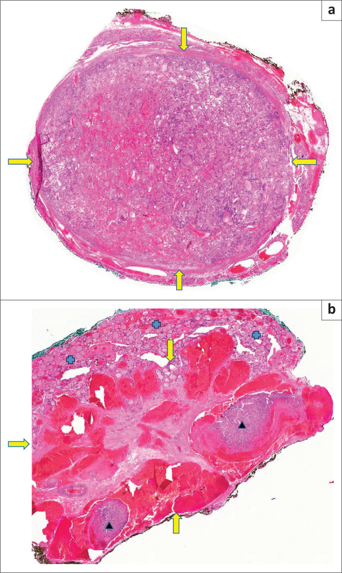
Thyroid gland vascular proliferations pose a challenge to pathologists, radiologists and surgeons. This is illustrated in the case of a 36-year-old woman who underwent a diagnostic thyroid lobectomy for a suspected follicular neoplasm according to cytology. Histological diagnosis confirmed a follicular adenoma as well as a cavernous haemangioma or venous malformation.

Contribution: Thyroid vascular lesions are rare. Evolving nomenclature and application of the International Society for the Study of Vascular Anomalies classification are discussed. Pertinent radiological clues are highlighted to pre-empt the diagnosis and avoid potential surgical complications.

Abstract Image

Abstract Image

Abstract Image

甲状腺血管瘤和滤泡腺瘤并发症的描述
甲状腺血管增生给病理学家、放射学家和外科医生带来了挑战。一名 36 岁的女性因细胞学检查发现疑似滤泡性肿瘤而接受了诊断性甲状腺叶切除术。组织学诊断证实其为滤泡腺瘤以及海绵状血管瘤或静脉畸形:甲状腺血管病变非常罕见。本文讨论了不断演变的命名法和国际血管异常研究学会分类法的应用。重点介绍了相关的放射学线索,以便预先做出诊断,避免潜在的手术并发症。
本文章由计算机程序翻译,如有差异,请以英文原文为准。
求助全文
约1分钟内获得全文 求助全文
来源期刊
SA Journal of Radiology
SA Journal of Radiology RADIOLOGY, NUCLEAR MEDICINE & MEDICAL IMAGING-
CiteScore
1.20
自引率
11.10%
发文量
35
审稿时长
16 weeks
期刊介绍: The SA Journal of Radiology is the official journal of the Radiological Society of South Africa and the Professional Association of Radiologists in South Africa and Namibia. The SA Journal of Radiology is a general diagnostic radiological journal which carries original research and review articles, pictorial essays, case reports, letters, editorials, radiological practice and other radiological articles.
×
引用
GB/T 7714-2015
复制
MLA
复制
APA
复制
导出至
BibTeX EndNote RefMan NoteFirst NoteExpress
×
提示
您的信息不完整,为了账户安全,请先补充。
现在去补充
×
提示
您因"违规操作"
具体请查看互助需知
我知道了
×
提示
确定
请完成安全验证×
copy
已复制链接
快去分享给好友吧!
我知道了
右上角分享
点击右上角分享
0
联系我们:info@booksci.cn Book学术提供免费学术资源搜索服务,方便国内外学者检索中英文文献。致力于提供最便捷和优质的服务体验。 Copyright © 2023 布克学术 All rights reserved.
京ICP备2023020795号-1
ghs 京公网安备 11010802042870号
Book学术文献互助
Book学术文献互助群
群 号:604180095
Book学术官方微信