Malignant Transformation of Meningioma With TERT Promoter Mutation: A Case Report.

Yoontae Hong, Nayoung Han, Ho-Shin Gwak
{"title":"Malignant Transformation of Meningioma With <i>TERT</i> Promoter Mutation: A Case Report.","authors":"Yoontae Hong, Nayoung Han, Ho-Shin Gwak","doi":"10.14791/btrt.2024.0023","DOIUrl":null,"url":null,"abstract":"<p><p>High-grade meningiomas make up a relatively minor proportion of meningiomas, which are one of the most common types of primary intracranial tumors in adults. Though rare, a considerable portion of high-grade meningiomas arise from malignant transformation of benign meningiomas. The 2021 World Health Organization (WHO) classification criteria introduced molecular markers in the diagnosis and grading of central nervous system (CNS) tumors and assigned certain genomic mutations to grade 3 meningiomas. We report a case of a 54-year-old male patient who underwent stepwise malignant transformation of meningioma from WHO grade 1 to grade 3 within 10 years, during the course of five surgeries followed by adjuvant stereotactic radiosurgery and radiotherapy. We performed next-generation sequencing (NGS) on the most recent grade 3 meningioma specimen and found that it carried a telomerase reverse transcriptase promoter (<i>TERT</i>p) mutation (c.-124C>T) in accordance with the 2021 WHO criteria for grade 3 meningiomas. We then retrospectively examined the previous grade 1 and 2 specimens and found them to have the same mutation. We reviewed the significance of molecular markers in the diagnosis of meningiomas, possible genetic alterations associated with their malignant transformation, and what measures could be taken to effectively manage meningiomas considering NGS findings.</p>","PeriodicalId":72453,"journal":{"name":"Brain tumor research and treatment","volume":"12 3","pages":"192-199"},"PeriodicalIF":0.0000,"publicationDate":"2024-07-01","publicationTypes":"Journal Article","fieldsOfStudy":null,"isOpenAccess":false,"openAccessPdf":"https://www.ncbi.nlm.nih.gov/pmc/articles/PMC11306841/pdf/","citationCount":"0","resultStr":null,"platform":"Semanticscholar","paperid":null,"PeriodicalName":"Brain tumor research and treatment","FirstCategoryId":"1085","ListUrlMain":"https://doi.org/10.14791/btrt.2024.0023","RegionNum":0,"RegionCategory":null,"ArticlePicture":[],"TitleCN":null,"AbstractTextCN":null,"PMCID":null,"EPubDate":"","PubModel":"","JCR":"","JCRName":"","Score":null,"Total":0}
引用次数: 0

Abstract

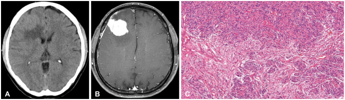
High-grade meningiomas make up a relatively minor proportion of meningiomas, which are one of the most common types of primary intracranial tumors in adults. Though rare, a considerable portion of high-grade meningiomas arise from malignant transformation of benign meningiomas. The 2021 World Health Organization (WHO) classification criteria introduced molecular markers in the diagnosis and grading of central nervous system (CNS) tumors and assigned certain genomic mutations to grade 3 meningiomas. We report a case of a 54-year-old male patient who underwent stepwise malignant transformation of meningioma from WHO grade 1 to grade 3 within 10 years, during the course of five surgeries followed by adjuvant stereotactic radiosurgery and radiotherapy. We performed next-generation sequencing (NGS) on the most recent grade 3 meningioma specimen and found that it carried a telomerase reverse transcriptase promoter (TERTp) mutation (c.-124C>T) in accordance with the 2021 WHO criteria for grade 3 meningiomas. We then retrospectively examined the previous grade 1 and 2 specimens and found them to have the same mutation. We reviewed the significance of molecular markers in the diagnosis of meningiomas, possible genetic alterations associated with their malignant transformation, and what measures could be taken to effectively manage meningiomas considering NGS findings.

Abstract Image

Abstract Image

Abstract Image

脑膜瘤的恶性转化与 TERT Promoter 突变:病例报告
高级别脑膜瘤在脑膜瘤中所占比例相对较小,是成人最常见的原发性颅内肿瘤类型之一。尽管罕见,但相当一部分高级别脑膜瘤是由良性脑膜瘤恶性转化而来。世界卫生组织(WHO)2021 年的分类标准在中枢神经系统(CNS)肿瘤的诊断和分级中引入了分子标记物,并将某些基因组突变定为 3 级脑膜瘤。我们报告了一例 54 岁男性患者的病例,他在 10 年内经历了脑膜瘤从 WHO 1 级到 3 级的逐步恶变,期间进行了 5 次手术,随后进行了立体定向放射手术和放疗辅助治疗。我们对最近的 3 级脑膜瘤标本进行了新一代测序(NGS),发现其携带端粒酶逆转录酶启动子(TERTp)突变(c.-124C>T),符合 2021 年世界卫生组织 3 级脑膜瘤标准。随后,我们对之前的1级和2级标本进行了回顾性检查,发现它们具有相同的突变。我们回顾了分子标记物在脑膜瘤诊断中的意义、与脑膜瘤恶性转化相关的可能基因改变,以及考虑到 NGS 的发现,可以采取哪些措施来有效管理脑膜瘤。
本文章由计算机程序翻译,如有差异,请以英文原文为准。
求助全文
约1分钟内获得全文 求助全文
来源期刊
自引率
0.00%
发文量
0
×
引用
GB/T 7714-2015
复制
MLA
复制
APA
复制
导出至
BibTeX EndNote RefMan NoteFirst NoteExpress
×
提示
您的信息不完整,为了账户安全,请先补充。
现在去补充
×
提示
您因"违规操作"
具体请查看互助需知
我知道了
×
提示
确定
请完成安全验证×
copy
已复制链接
快去分享给好友吧!
我知道了
右上角分享
点击右上角分享
0
联系我们:info@booksci.cn Book学术提供免费学术资源搜索服务,方便国内外学者检索中英文文献。致力于提供最便捷和优质的服务体验。 Copyright © 2023 布克学术 All rights reserved.
京ICP备2023020795号-1
ghs 京公网安备 11010802042870号
Book学术文献互助
Book学术文献互助群
群 号:604180095
Book学术官方微信