A Rare Case of Intracranial Growing Teratoma Syndrome in a Young Adult.

Young Gook Gwak, Seung Ho Yang, Yeun Ji Yoo, Hyun Ho Kim, Yujin Lee, Young Il Kim
{"title":"A Rare Case of Intracranial Growing Teratoma Syndrome in a Young Adult.","authors":"Young Gook Gwak, Seung Ho Yang, Yeun Ji Yoo, Hyun Ho Kim, Yujin Lee, Young Il Kim","doi":"10.14791/btrt.2024.0025","DOIUrl":null,"url":null,"abstract":"<p><p>Intracranial growing teratoma syndrome (iGTS) is a rare phenomenon in patients with non-germinomatous germ cell tumor (NGGCT) after chemotherapy or radiotherapy. It manifests as paradoxical growth of teratomatous components, with multiple cystic lesions on cranial imaging despite normalized tumor markers. This paper presents a 22-year-old male with iGTS, diagnosed one month after chemotherapy against NGGCT. Initially diagnosed with presumptive pineal NGGCT causing obstructive hydrocephalus, the patient underwent endoscopic third ventriculostomy and extraventricular drainage with tumor biopsy followed by two chemotherapy cycles. Despite normalization of tumor markers, follow-up MRI showed increased tumor size with honeycomb-like cystic patterns. The patient underwent suboccipital craniotomy for tumor removal via combined telovelar and infratentorial supracerebellar approaches. The final pathology confirmed mature teratoma. However, postoperative bleeding and left thalamic infarction occurred, resulting in severe neurological deficits. Despite challenges, the patient eventually regained the ability to follow simple commands. To understand iGTS pathophysiology, several hypotheses, including the differentiation of immature components and the uninhibited growth of mature components induced by chemotherapy or radiotherapy, were explored. Surgical intervention remains as an ideal treatment, while clinical trials investigate chemotherapy options. Frequent imaging follow-ups are crucial for early detection in iGTS for NGGCT patients.</p>","PeriodicalId":72453,"journal":{"name":"Brain tumor research and treatment","volume":"12 3","pages":"200-203"},"PeriodicalIF":0.0000,"publicationDate":"2024-07-01","publicationTypes":"Journal Article","fieldsOfStudy":null,"isOpenAccess":false,"openAccessPdf":"https://www.ncbi.nlm.nih.gov/pmc/articles/PMC11306839/pdf/","citationCount":"0","resultStr":null,"platform":"Semanticscholar","paperid":null,"PeriodicalName":"Brain tumor research and treatment","FirstCategoryId":"1085","ListUrlMain":"https://doi.org/10.14791/btrt.2024.0025","RegionNum":0,"RegionCategory":null,"ArticlePicture":[],"TitleCN":null,"AbstractTextCN":null,"PMCID":null,"EPubDate":"","PubModel":"","JCR":"","JCRName":"","Score":null,"Total":0}
引用次数: 0

Abstract

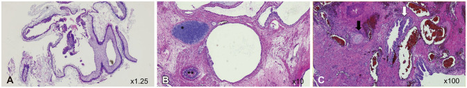
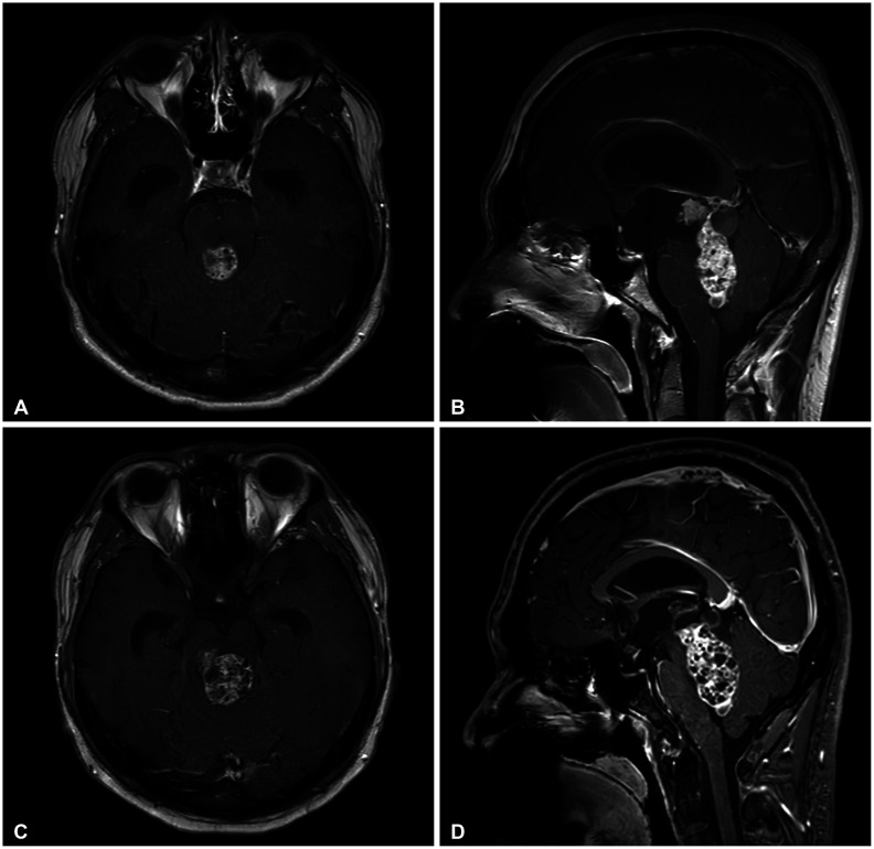
Intracranial growing teratoma syndrome (iGTS) is a rare phenomenon in patients with non-germinomatous germ cell tumor (NGGCT) after chemotherapy or radiotherapy. It manifests as paradoxical growth of teratomatous components, with multiple cystic lesions on cranial imaging despite normalized tumor markers. This paper presents a 22-year-old male with iGTS, diagnosed one month after chemotherapy against NGGCT. Initially diagnosed with presumptive pineal NGGCT causing obstructive hydrocephalus, the patient underwent endoscopic third ventriculostomy and extraventricular drainage with tumor biopsy followed by two chemotherapy cycles. Despite normalization of tumor markers, follow-up MRI showed increased tumor size with honeycomb-like cystic patterns. The patient underwent suboccipital craniotomy for tumor removal via combined telovelar and infratentorial supracerebellar approaches. The final pathology confirmed mature teratoma. However, postoperative bleeding and left thalamic infarction occurred, resulting in severe neurological deficits. Despite challenges, the patient eventually regained the ability to follow simple commands. To understand iGTS pathophysiology, several hypotheses, including the differentiation of immature components and the uninhibited growth of mature components induced by chemotherapy or radiotherapy, were explored. Surgical intervention remains as an ideal treatment, while clinical trials investigate chemotherapy options. Frequent imaging follow-ups are crucial for early detection in iGTS for NGGCT patients.

Abstract Image

Abstract Image

一例罕见的青壮年颅内生长畸胎瘤综合征病例
颅内生长畸胎瘤综合征(iGTS)是非肉芽肿性生殖细胞肿瘤(NGGCT)患者在化疗或放疗后出现的一种罕见现象。它表现为畸胎瘤成分的矛盾性生长,尽管肿瘤标志物趋于正常,但在颅脑影像学上仍有多个囊性病变。本文介绍了一名患有 iGTS 的 22 岁男性患者,他在接受 NGGCT 化疗一个月后被确诊。患者最初被诊断为推测性松果体 NGGCT,导致梗阻性脑积水,接受了内镜下第三脑室造口术和脑室外引流术,并进行了肿瘤活检,随后接受了两个化疗周期。尽管肿瘤标志物恢复正常,但随访的磁共振成像显示肿瘤体积增大,并伴有蜂窝状囊肿形态。患者接受了枕下开颅手术,通过远端和小脑幕上联合入路切除肿瘤。最终病理证实为成熟畸胎瘤。然而,术后发生了出血和左丘脑梗死,导致严重的神经功能缺损。尽管困难重重,患者最终还是恢复了听从简单指令的能力。为了了解 iGTS 的病理生理学,研究人员探讨了几种假说,包括未成熟成分的分化以及化疗或放疗诱导成熟成分不受抑制地生长。手术干预仍是理想的治疗方法,而临床试验则在研究化疗方案。频繁的影像学随访对于早期发现NGGCT患者的iGTS至关重要。
本文章由计算机程序翻译,如有差异,请以英文原文为准。
求助全文
约1分钟内获得全文 求助全文
来源期刊
自引率
0.00%
发文量
0
×
引用
GB/T 7714-2015
复制
MLA
复制
APA
复制
导出至
BibTeX EndNote RefMan NoteFirst NoteExpress
×
提示
您的信息不完整,为了账户安全,请先补充。
现在去补充
×
提示
您因"违规操作"
具体请查看互助需知
我知道了
×
提示
确定
请完成安全验证×
copy
已复制链接
快去分享给好友吧!
我知道了
右上角分享
点击右上角分享
0
联系我们:info@booksci.cn Book学术提供免费学术资源搜索服务,方便国内外学者检索中英文文献。致力于提供最便捷和优质的服务体验。 Copyright © 2023 布克学术 All rights reserved.
京ICP备2023020795号-1
ghs 京公网安备 11010802042870号
Book学术文献互助
Book学术文献互助群
群 号:604180095
Book学术官方微信