Acute Leukaemia following Dengue Infection in Nepalese Patients: A Report of Two Cases.

IF 0.7 Q4 HEMATOLOGY
Case Reports in Hematology Pub Date : 2024-07-28 eCollection Date: 2024-01-01 DOI:10.1155/2024/8747138
Anushka Agrawal, Pratik Lamichhane, Rituraj Baral, Sabin Thapaliya
{"title":"Acute Leukaemia following Dengue Infection in Nepalese Patients: A Report of Two Cases.","authors":"Anushka Agrawal, Pratik Lamichhane, Rituraj Baral, Sabin Thapaliya","doi":"10.1155/2024/8747138","DOIUrl":null,"url":null,"abstract":"<p><p>Dengue is a mosquito-borne, acute febrile illness caused by dengue viruses. The association between hematological malignancies and dengue infection is obscure, and the literature on this occurrence is also limited. We report two cases of acute leukaemia following dengue infection in a recent outbreak in Nepal. Our case reports suggest a possible association of acute leukaemia with dengue infection. The relationship should be explored further with observational studies.</p>","PeriodicalId":46307,"journal":{"name":"Case Reports in Hematology","volume":"2024 ","pages":"8747138"},"PeriodicalIF":0.7000,"publicationDate":"2024-07-28","publicationTypes":"Journal Article","fieldsOfStudy":null,"isOpenAccess":false,"openAccessPdf":"https://www.ncbi.nlm.nih.gov/pmc/articles/PMC11298969/pdf/","citationCount":"0","resultStr":null,"platform":"Semanticscholar","paperid":null,"PeriodicalName":"Case Reports in Hematology","FirstCategoryId":"1085","ListUrlMain":"https://doi.org/10.1155/2024/8747138","RegionNum":0,"RegionCategory":null,"ArticlePicture":[],"TitleCN":null,"AbstractTextCN":null,"PMCID":null,"EPubDate":"2024/1/1 0:00:00","PubModel":"eCollection","JCR":"Q4","JCRName":"HEMATOLOGY","Score":null,"Total":0}
引用次数: 0

Abstract

Dengue is a mosquito-borne, acute febrile illness caused by dengue viruses. The association between hematological malignancies and dengue infection is obscure, and the literature on this occurrence is also limited. We report two cases of acute leukaemia following dengue infection in a recent outbreak in Nepal. Our case reports suggest a possible association of acute leukaemia with dengue infection. The relationship should be explored further with observational studies.

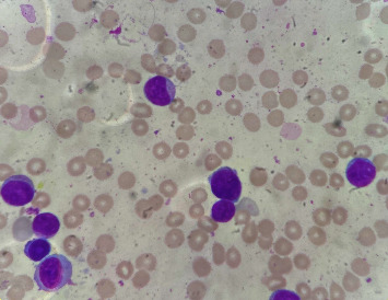
Abstract Image

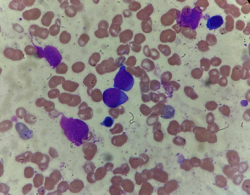
Abstract Image

尼泊尔患者感染登革热后出现急性白血病:两个病例的报告。
登革热是一种由登革病毒引起的蚊媒急性发热性疾病。血液恶性肿瘤与登革热感染之间的关系尚不明确,相关文献也很有限。我们报告了两例在尼泊尔最近爆发的登革热感染后引发的急性白血病病例。我们的病例报告表明,急性白血病可能与登革热感染有关。应通过观察研究进一步探讨这种关系。
本文章由计算机程序翻译,如有差异,请以英文原文为准。
求助全文
约1分钟内获得全文 求助全文
来源期刊
自引率
0.00%
发文量
51
审稿时长
13 weeks
×
引用
GB/T 7714-2015
复制
MLA
复制
APA
复制
导出至
BibTeX EndNote RefMan NoteFirst NoteExpress
×
提示
您的信息不完整,为了账户安全,请先补充。
现在去补充
×
提示
您因"违规操作"
具体请查看互助需知
我知道了
×
提示
确定
请完成安全验证×
copy
已复制链接
快去分享给好友吧!
我知道了
右上角分享
点击右上角分享
0
联系我们:info@booksci.cn Book学术提供免费学术资源搜索服务,方便国内外学者检索中英文文献。致力于提供最便捷和优质的服务体验。 Copyright © 2023 布克学术 All rights reserved.
京ICP备2023020795号-1
ghs 京公网安备 11010802042870号
Book学术文献互助
Book学术文献互助群
群 号:604180095
Book学术官方微信