A Rare Cause of Pain in a Patient Following Roux-en-Y Choledochojejunostomy.

IF 0.5 Q4 SURGERY
Case Reports in Surgery Pub Date : 2024-07-25 eCollection Date: 2024-01-01 DOI:10.1155/2024/5536057
Kristiana Sather, Matthew Wheelwright, Guru Trikudanathan, Gregory Beilman
{"title":"A Rare Cause of Pain in a Patient Following Roux-en-Y Choledochojejunostomy.","authors":"Kristiana Sather, Matthew Wheelwright, Guru Trikudanathan, Gregory Beilman","doi":"10.1155/2024/5536057","DOIUrl":null,"url":null,"abstract":"<p><strong>Introduction: </strong>Sump syndrome is a rare complication following bilioenteric anastomosis, most commonly following choledochoduodenostomy. This is only the third case in the literature of sump syndrome of the distal common bile duct (CBD) following end-to-side Roux-en-Y choledochojejunostomy (RYCJ). <i>Case Presentation</i>. A 69-year-old man with a history of end-to-side RYCJ for recurrent primary choledocholithiasis presented 3 years postoperatively with right upper quadrant (RUQ) abdominal pain affecting his quality of life. The work up revealed mild leukocytosis and computed tomography (CT) imaging that showed dilation of the distal CBD remnant. He underwent endoscopic retrograde cholangiopancreatography (ERCP) with the removal of large amounts of debris with initial resolution of his pain, but the pain recurred after several months and after two further ERCPs with only short-term resolution of pain, he eventually underwent an open distal CBD excision and the pain has since resolved.</p><p><strong>Conclusions: </strong>This case report describes a rare case of sump syndrome following RYCJ that presented with abdominal pain alone. Sump syndrome may have a wide array of presenting symptoms, and the pathophysiology of sump syndrome varies based on bilioenteric reconstruction. Although it has rarely been reported to occur in the distal blind CBD remnant following either RYCJ or hepaticojejunostomy, it is important to consider this in the differential for patients with abdominal pain following any bilioenteric reconstruction.</p>","PeriodicalId":9600,"journal":{"name":"Case Reports in Surgery","volume":"2024 ","pages":"5536057"},"PeriodicalIF":0.5000,"publicationDate":"2024-07-25","publicationTypes":"Journal Article","fieldsOfStudy":null,"isOpenAccess":false,"openAccessPdf":"https://www.ncbi.nlm.nih.gov/pmc/articles/PMC11300095/pdf/","citationCount":"0","resultStr":null,"platform":"Semanticscholar","paperid":null,"PeriodicalName":"Case Reports in Surgery","FirstCategoryId":"1085","ListUrlMain":"https://doi.org/10.1155/2024/5536057","RegionNum":0,"RegionCategory":null,"ArticlePicture":[],"TitleCN":null,"AbstractTextCN":null,"PMCID":null,"EPubDate":"2024/1/1 0:00:00","PubModel":"eCollection","JCR":"Q4","JCRName":"SURGERY","Score":null,"Total":0}
引用次数: 0

Abstract

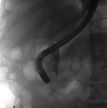
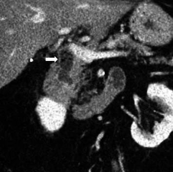
Introduction: Sump syndrome is a rare complication following bilioenteric anastomosis, most commonly following choledochoduodenostomy. This is only the third case in the literature of sump syndrome of the distal common bile duct (CBD) following end-to-side Roux-en-Y choledochojejunostomy (RYCJ). Case Presentation. A 69-year-old man with a history of end-to-side RYCJ for recurrent primary choledocholithiasis presented 3 years postoperatively with right upper quadrant (RUQ) abdominal pain affecting his quality of life. The work up revealed mild leukocytosis and computed tomography (CT) imaging that showed dilation of the distal CBD remnant. He underwent endoscopic retrograde cholangiopancreatography (ERCP) with the removal of large amounts of debris with initial resolution of his pain, but the pain recurred after several months and after two further ERCPs with only short-term resolution of pain, he eventually underwent an open distal CBD excision and the pain has since resolved.

Conclusions: This case report describes a rare case of sump syndrome following RYCJ that presented with abdominal pain alone. Sump syndrome may have a wide array of presenting symptoms, and the pathophysiology of sump syndrome varies based on bilioenteric reconstruction. Although it has rarely been reported to occur in the distal blind CBD remnant following either RYCJ or hepaticojejunostomy, it is important to consider this in the differential for patients with abdominal pain following any bilioenteric reconstruction.

Abstract Image

Abstract Image

Abstract Image

胆总管空肠吻合术(Roux-en-Y Choledochojejunostomy)术后患者疼痛的罕见原因。
简介结石综合征是胆肠吻合术后的一种罕见并发症,最常见于胆总管吻合术后。这是文献中第三例端侧 Roux-en-Y 胆总管空肠吻合术(RYCJ)后远端胆总管(CBD)出现底盘综合征的病例。病例介绍。一名 69 岁的男性曾因复发性原发性胆总管结石接受过端侧 RYCJ 手术,术后 3 年出现右上腹疼痛,影响了生活质量。检查发现轻度白细胞增多,计算机断层扫描(CT)成像显示 CBD 远端残余扩张。他接受了内镜逆行胰胆管造影术(ERCP),清除了大量残渣,疼痛得到初步缓解,但几个月后疼痛再次复发,又接受了两次ERCP,疼痛仅得到短期缓解,最终他接受了开放性CBD远端切除术,疼痛自此缓解:本病例报告描述了一例罕见的 RYCJ 术后尾闾综合征病例,患者仅表现为腹痛。肿块综合征的表现症状多种多样,根据胆肠重建的不同,肿块综合征的病理生理学也各不相同。虽然很少有报道称 RYCJ 或肝空肠吻合术后 CBD 远端盲端残留物会出现这种情况,但对于任何胆肠重建术后出现腹痛的患者来说,在鉴别时考虑到这一点非常重要。
本文章由计算机程序翻译,如有差异,请以英文原文为准。
求助全文
约1分钟内获得全文 求助全文
来源期刊
自引率
0.00%
发文量
60
审稿时长
13 weeks
×
引用
GB/T 7714-2015
复制
MLA
复制
APA
复制
导出至
BibTeX EndNote RefMan NoteFirst NoteExpress
×
提示
您的信息不完整,为了账户安全,请先补充。
现在去补充
×
提示
您因"违规操作"
具体请查看互助需知
我知道了
×
提示
确定
请完成安全验证×
copy
已复制链接
快去分享给好友吧!
我知道了
右上角分享
点击右上角分享
0
联系我们:info@booksci.cn Book学术提供免费学术资源搜索服务,方便国内外学者检索中英文文献。致力于提供最便捷和优质的服务体验。 Copyright © 2023 布克学术 All rights reserved.
京ICP备2023020795号-1
ghs 京公网安备 11010802042870号
Book学术文献互助
Book学术文献互助群
群 号:604180095
Book学术官方微信