MRI of a presumptive intracranial histiocytic sarcoma with extracranial extension in a cat.

IF 0.7 Q3 VETERINARY SCIENCES
Journal of Feline Medicine and Surgery Open Reports Pub Date : 2024-08-02 eCollection Date: 2024-07-01 DOI:10.1177/20551169241264134
Anna Eichrodt, Nico Mauri, Maja Ruetten, Barbara Kaser-Hotz, Susann Dressel-Böhm
{"title":"MRI of a presumptive intracranial histiocytic sarcoma with extracranial extension in a cat.","authors":"Anna Eichrodt, Nico Mauri, Maja Ruetten, Barbara Kaser-Hotz, Susann Dressel-Böhm","doi":"10.1177/20551169241264134","DOIUrl":null,"url":null,"abstract":"<p><strong>Case summary: </strong>A 4-year-old female neutered Scottish Fold shorthair cat was presented for further investigation of circling towards the right. MRI of the brain revealed an extensive, right-sided temporal muscle lesion with associated frontotemporal bone osteolysis, intracranial, extra-axial extension along the calvarial convexity with severe pachy- and leptomeningeal thickening and contrast enhancement, and an intra-axial space-occupying lesion in the right piriform lobe. The regional lymph nodes were moderately enlarged. Cytology of the right parotid lymph node and the temporal muscle was performed and histiocytic sarcoma (HS) was diagnosed. The owners elected euthanasia.</p><p><strong>Relevance and novel information: </strong>HS of the central nervous system (CNS) is a very rare neoplastic condition in cats. Although a few case reports mention MRI, to our knowledge, the characterisation of MRI features of feline CNS HS have not been investigated in detail. Therefore, the aim of this case report was to describe the MRI characteristics in a feline HS involving not only the CNS, but also the fronto-temporal bone, temporal muscle and the regional lymph nodes. In particular, aggressive neoplastic bone invasion was a novel finding.</p>","PeriodicalId":36588,"journal":{"name":"Journal of Feline Medicine and Surgery Open Reports","volume":"10 2","pages":"20551169241264134"},"PeriodicalIF":0.7000,"publicationDate":"2024-08-02","publicationTypes":"Journal Article","fieldsOfStudy":null,"isOpenAccess":false,"openAccessPdf":"https://www.ncbi.nlm.nih.gov/pmc/articles/PMC11297506/pdf/","citationCount":"0","resultStr":null,"platform":"Semanticscholar","paperid":null,"PeriodicalName":"Journal of Feline Medicine and Surgery Open Reports","FirstCategoryId":"1085","ListUrlMain":"https://doi.org/10.1177/20551169241264134","RegionNum":0,"RegionCategory":null,"ArticlePicture":[],"TitleCN":null,"AbstractTextCN":null,"PMCID":null,"EPubDate":"2024/7/1 0:00:00","PubModel":"eCollection","JCR":"Q3","JCRName":"VETERINARY SCIENCES","Score":null,"Total":0}
引用次数: 0

Abstract

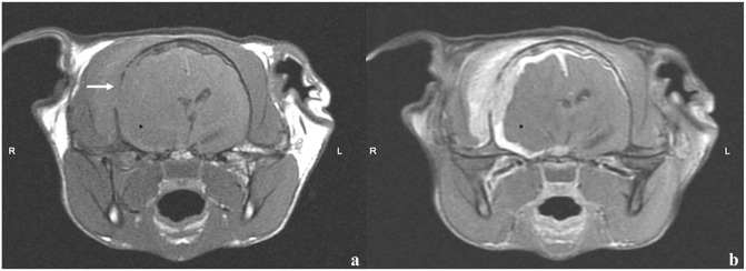
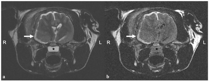
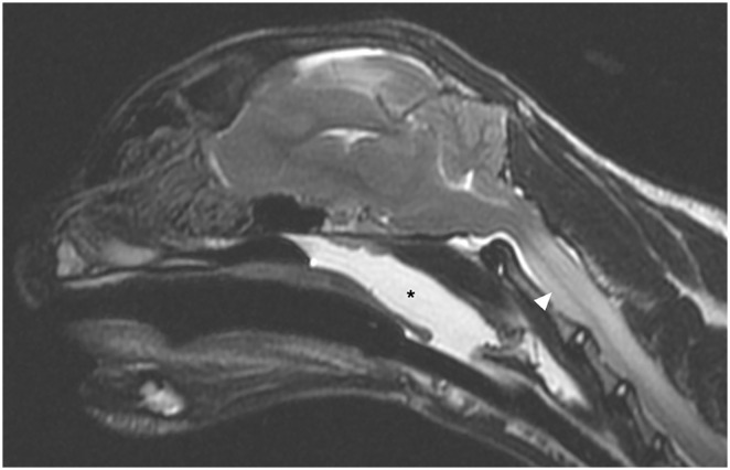
Case summary: A 4-year-old female neutered Scottish Fold shorthair cat was presented for further investigation of circling towards the right. MRI of the brain revealed an extensive, right-sided temporal muscle lesion with associated frontotemporal bone osteolysis, intracranial, extra-axial extension along the calvarial convexity with severe pachy- and leptomeningeal thickening and contrast enhancement, and an intra-axial space-occupying lesion in the right piriform lobe. The regional lymph nodes were moderately enlarged. Cytology of the right parotid lymph node and the temporal muscle was performed and histiocytic sarcoma (HS) was diagnosed. The owners elected euthanasia.

Relevance and novel information: HS of the central nervous system (CNS) is a very rare neoplastic condition in cats. Although a few case reports mention MRI, to our knowledge, the characterisation of MRI features of feline CNS HS have not been investigated in detail. Therefore, the aim of this case report was to describe the MRI characteristics in a feline HS involving not only the CNS, but also the fronto-temporal bone, temporal muscle and the regional lymph nodes. In particular, aggressive neoplastic bone invasion was a novel finding.

Abstract Image

Abstract Image

Abstract Image

一只猫颅内推测组织细胞肉瘤并向颅外扩展的核磁共振成像。
病例摘要:患者是一只 4 岁的雌性苏格兰折耳短毛猫,已绝育,因向右侧绕圈而接受进一步检查。脑部核磁共振成像显示,右侧颞肌广泛病变,伴有额颞骨骨质溶解,颅内、轴外沿犊凸延伸,伴有严重的颊部和脑膜增厚和对比度增强,右侧梨状叶轴内占位性病变。区域淋巴结中度肿大。对右侧腮腺淋巴结和颞肌进行了细胞学检查,确诊为组织细胞肉瘤(HS)。主人选择了安乐死:中枢神经系统 (CNS) 的组织细胞肉瘤是猫科动物中非常罕见的肿瘤性疾病。虽然有一些病例报告提到了核磁共振成像,但据我们所知,猫中枢神经系统 HS 的核磁共振成像特征尚未得到详细研究。因此,本病例报告的目的是描述猫中枢神经系统癌的磁共振成像特征,不仅包括中枢神经系统,还包括额颞骨、颞肌和区域淋巴结。其中,侵袭性骨肿瘤是一项新发现。
本文章由计算机程序翻译,如有差异,请以英文原文为准。
求助全文
约1分钟内获得全文 求助全文
来源期刊
CiteScore
1.30
自引率
14.30%
发文量
57
审稿时长
15 weeks
×
引用
GB/T 7714-2015
复制
MLA
复制
APA
复制
导出至
BibTeX EndNote RefMan NoteFirst NoteExpress
×
提示
您的信息不完整,为了账户安全,请先补充。
现在去补充
×
提示
您因"违规操作"
具体请查看互助需知
我知道了
×
提示
确定
请完成安全验证×
copy
已复制链接
快去分享给好友吧!
我知道了
右上角分享
点击右上角分享
0
联系我们:info@booksci.cn Book学术提供免费学术资源搜索服务,方便国内外学者检索中英文文献。致力于提供最便捷和优质的服务体验。 Copyright © 2023 布克学术 All rights reserved.
京ICP备2023020795号-1
ghs 京公网安备 11010802042870号
Book学术文献互助
Book学术文献互助群
群 号:604180095
Book学术官方微信