Primary Hyperparathyroidism and Pulmonary Embolism in Patients With a Fractured Neck of Femur.

IF 0.9
Journal of medical cases Pub Date : 2024-08-01 Epub Date: 2024-07-18 DOI:10.14740/jmc4235
Yashar Mashayekhi, Sara Baba-Aissa, Amina Al-Qaysi, Mohammed Eish, Abdulmalik Timamy, Maria Panourgia, Mohamed H Ahmed
{"title":"Primary Hyperparathyroidism and Pulmonary Embolism in Patients With a Fractured Neck of Femur.","authors":"Yashar Mashayekhi, Sara Baba-Aissa, Amina Al-Qaysi, Mohammed Eish, Abdulmalik Timamy, Maria Panourgia, Mohamed H Ahmed","doi":"10.14740/jmc4235","DOIUrl":null,"url":null,"abstract":"<p><p>Two patients aged 82 and 77, with a fractured neck of the femur, were found to have primary hyperparathyroidism, characterized by hypercalcemia and hypercalciuria. Post-surgery, both developed pulmonary embolism (PE), highlighting a possible link between hypercalcemia and increased hypercoagulation risk. There have been few case reports suggesting the association between hypercalcemia due to hyperparathyroidism and the increase in tendency of hypercoagulation and subsequent risk of venous thromboembolism (VTE). This case series offers insights into how ionized calcium influences thrombin formation, platelet activation and aggregation, and activation of clotting factors such as factor VII and factor X, raising questions about the role of chronic hypercalcemia in VTE. Further research is needed to 1) establish whether chronic hypercalcemia in the absence of fracture can modulate the risk of hypercoagulation; 2) determine whether chronic hypercalcemia in individuals with bone fracture may represent a significantly higher hypercoagulability risk during the postoperative periods.</p>","PeriodicalId":101328,"journal":{"name":"Journal of medical cases","volume":"15 8","pages":"180-185"},"PeriodicalIF":0.9000,"publicationDate":"2024-08-01","publicationTypes":"Journal Article","fieldsOfStudy":null,"isOpenAccess":false,"openAccessPdf":"https://www.ncbi.nlm.nih.gov/pmc/articles/PMC11287908/pdf/","citationCount":"0","resultStr":null,"platform":"Semanticscholar","paperid":null,"PeriodicalName":"Journal of medical cases","FirstCategoryId":"1085","ListUrlMain":"https://doi.org/10.14740/jmc4235","RegionNum":0,"RegionCategory":null,"ArticlePicture":[],"TitleCN":null,"AbstractTextCN":null,"PMCID":null,"EPubDate":"2024/7/18 0:00:00","PubModel":"Epub","JCR":"","JCRName":"","Score":null,"Total":0}
引用次数: 0

Abstract

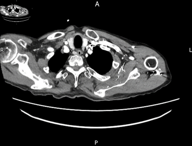
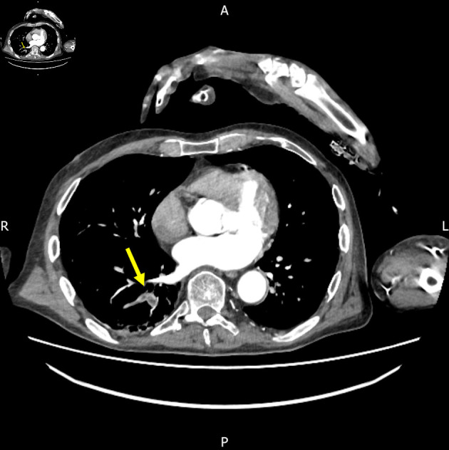
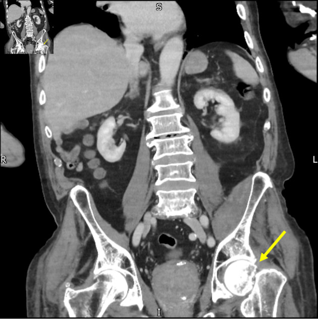
Two patients aged 82 and 77, with a fractured neck of the femur, were found to have primary hyperparathyroidism, characterized by hypercalcemia and hypercalciuria. Post-surgery, both developed pulmonary embolism (PE), highlighting a possible link between hypercalcemia and increased hypercoagulation risk. There have been few case reports suggesting the association between hypercalcemia due to hyperparathyroidism and the increase in tendency of hypercoagulation and subsequent risk of venous thromboembolism (VTE). This case series offers insights into how ionized calcium influences thrombin formation, platelet activation and aggregation, and activation of clotting factors such as factor VII and factor X, raising questions about the role of chronic hypercalcemia in VTE. Further research is needed to 1) establish whether chronic hypercalcemia in the absence of fracture can modulate the risk of hypercoagulation; 2) determine whether chronic hypercalcemia in individuals with bone fracture may represent a significantly higher hypercoagulability risk during the postoperative periods.

Abstract Image

Abstract Image

Abstract Image

股骨颈骨折患者的原发性甲状旁腺功能亢进症和肺栓塞
两名分别为82岁和77岁的股骨颈骨折患者被发现患有原发性甲状旁腺功能亢进症,表现为高钙血症和高钙尿症。手术后,两人都出现了肺栓塞(PE),突显了高钙血症与高凝风险增加之间可能存在的联系。很少有病例报告表明甲状旁腺功能亢进导致的高钙血症与高凝倾向增加及随后的静脉血栓栓塞(VTE)风险之间存在关联。本系列病例揭示了离子化钙如何影响凝血酶的形成、血小板的活化和聚集以及凝血因子(如因子 VII 和因子 X)的活化,从而提出了慢性高钙血症在 VTE 中的作用问题。我们需要进一步研究:1)确定在没有骨折的情况下,慢性高钙血症是否会调节高凝风险;2)确定骨折患者的慢性高钙血症是否会在术后期间显著增加高凝风险。
本文章由计算机程序翻译,如有差异,请以英文原文为准。
求助全文
约1分钟内获得全文 求助全文
来源期刊
CiteScore
1.10
自引率
0.00%
发文量
0
×
引用
GB/T 7714-2015
复制
MLA
复制
APA
复制
导出至
BibTeX EndNote RefMan NoteFirst NoteExpress
×
提示
您的信息不完整,为了账户安全,请先补充。
现在去补充
×
提示
您因"违规操作"
具体请查看互助需知
我知道了
×
提示
确定
请完成安全验证×
copy
已复制链接
快去分享给好友吧!
我知道了
右上角分享
点击右上角分享
0
联系我们:info@booksci.cn Book学术提供免费学术资源搜索服务,方便国内外学者检索中英文文献。致力于提供最便捷和优质的服务体验。 Copyright © 2023 布克学术 All rights reserved.
京ICP备2023020795号-1
ghs 京公网安备 11010802042870号
Book学术文献互助
Book学术文献互助群
群 号:604180095
Book学术官方微信