Acute on chronic pancreatitis affecting the ectopic pancreas located in the jejunal mesentery: A case report.

IF 1 Q4 RADIOLOGY, NUCLEAR MEDICINE & MEDICAL IMAGING
Acta radiologica open Pub Date : 2024-07-30 eCollection Date: 2024-08-01 DOI:10.1177/20584601241269617
Kazuya Okamura, Emi Ishibashi, Kazumi Araki, Yoshiko Kanasaki, Koji Kodama, Akiyoshi Kanazawa, Hideyuki Onuma
{"title":"Acute on chronic pancreatitis affecting the ectopic pancreas located in the jejunal mesentery: A case report.","authors":"Kazuya Okamura, Emi Ishibashi, Kazumi Araki, Yoshiko Kanasaki, Koji Kodama, Akiyoshi Kanazawa, Hideyuki Onuma","doi":"10.1177/20584601241269617","DOIUrl":null,"url":null,"abstract":"<p><p>Ectopic pancreas within the mesentery is rare. In this case report, a 61-year-old man with an ectopic pancreas within the jejunal mesentery for over 20 years developed chronic pancreatitis that progressed to acute exacerbation. Our computed tomography (CT) performed for acute abdomen assessment suggested acute appendicitis or Meckel's diverticulitis. However, a CT scan taken 20 years ago revealed a structure indicative of an ectopic pancreas in the mesentery, and further imaging findings taken 10 and 4 years ago confirmed progression to chronic pancreatitis. Furthermore, we found a pancreatic stone confined in the luminal structure that corresponded to the main pancreatic duct; this stone eventually caused acute exacerbation. In summary, we report a case of mesenteric ectopic pancreas that showed typical findings of progression and acute exacerbation of chronic pancreatitis on CT.</p>","PeriodicalId":72063,"journal":{"name":"Acta radiologica open","volume":"13 8","pages":"20584601241269617"},"PeriodicalIF":1.0000,"publicationDate":"2024-07-30","publicationTypes":"Journal Article","fieldsOfStudy":null,"isOpenAccess":false,"openAccessPdf":"https://www.ncbi.nlm.nih.gov/pmc/articles/PMC11289796/pdf/","citationCount":"0","resultStr":null,"platform":"Semanticscholar","paperid":null,"PeriodicalName":"Acta radiologica open","FirstCategoryId":"1085","ListUrlMain":"https://doi.org/10.1177/20584601241269617","RegionNum":0,"RegionCategory":null,"ArticlePicture":[],"TitleCN":null,"AbstractTextCN":null,"PMCID":null,"EPubDate":"2024/8/1 0:00:00","PubModel":"eCollection","JCR":"Q4","JCRName":"RADIOLOGY, NUCLEAR MEDICINE & MEDICAL IMAGING","Score":null,"Total":0}
引用次数: 0

Abstract

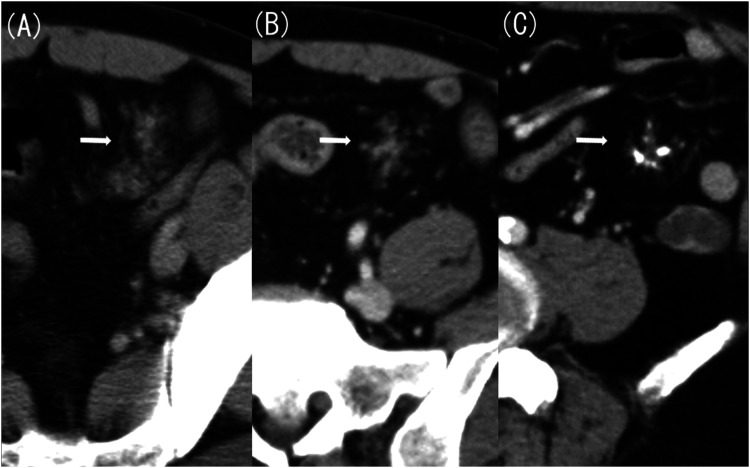
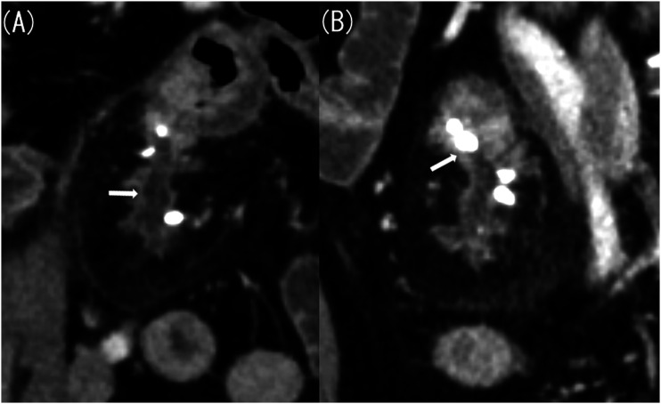
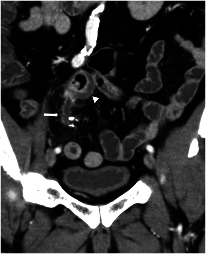
Ectopic pancreas within the mesentery is rare. In this case report, a 61-year-old man with an ectopic pancreas within the jejunal mesentery for over 20 years developed chronic pancreatitis that progressed to acute exacerbation. Our computed tomography (CT) performed for acute abdomen assessment suggested acute appendicitis or Meckel's diverticulitis. However, a CT scan taken 20 years ago revealed a structure indicative of an ectopic pancreas in the mesentery, and further imaging findings taken 10 and 4 years ago confirmed progression to chronic pancreatitis. Furthermore, we found a pancreatic stone confined in the luminal structure that corresponded to the main pancreatic duct; this stone eventually caused acute exacerbation. In summary, we report a case of mesenteric ectopic pancreas that showed typical findings of progression and acute exacerbation of chronic pancreatitis on CT.

Abstract Image

Abstract Image

Abstract Image

影响位于空肠系膜异位胰腺的急性和慢性胰腺炎:病例报告。
肠系膜内异位胰腺非常罕见。在本病例报告中,一名 61 岁的男子在空肠系膜内异位胰腺 20 多年,后来患上慢性胰腺炎,并发展为急性加重。我们在进行急腹症评估时进行的计算机断层扫描(CT)提示为急性阑尾炎或梅克尔憩室炎。然而,20 年前的 CT 扫描显示肠系膜上有异位胰腺的结构,10 年前和 4 年前的进一步成像结果证实该病已发展为慢性胰腺炎。此外,我们还在与主胰管相对应的管腔结构中发现了一块胰腺结石,这块结石最终导致了急性加重。总之,我们报告了一例肠系膜异位胰腺病例,该病例在 CT 上显示出慢性胰腺炎进展和急性加重的典型表现。
本文章由计算机程序翻译,如有差异,请以英文原文为准。
求助全文
约1分钟内获得全文 求助全文
来源期刊
自引率
0.00%
发文量
0
审稿时长
12 weeks
×
引用
GB/T 7714-2015
复制
MLA
复制
APA
复制
导出至
BibTeX EndNote RefMan NoteFirst NoteExpress
×
提示
您的信息不完整,为了账户安全,请先补充。
现在去补充
×
提示
您因"违规操作"
具体请查看互助需知
我知道了
×
提示
确定
请完成安全验证×
copy
已复制链接
快去分享给好友吧!
我知道了
右上角分享
点击右上角分享
0
联系我们:info@booksci.cn Book学术提供免费学术资源搜索服务,方便国内外学者检索中英文文献。致力于提供最便捷和优质的服务体验。 Copyright © 2023 布克学术 All rights reserved.
京ICP备2023020795号-1
ghs 京公网安备 11010802042870号
Book学术文献互助
Book学术文献互助群
群 号:604180095
Book学术官方微信