Hot Air Balloon in the Left Atria.

IF 1 Q4 CARDIAC & CARDIOVASCULAR SYSTEMS
Journal of Cardiovascular Echography Pub Date : 2024-04-01 Epub Date: 2024-06-28 DOI:10.4103/jcecho.jcecho_56_23
Pedro Rocha Carvalho, Catarina Ribeiro Carvalho, José Paulo Fontes, José Ilídio Moreira
{"title":"Hot Air Balloon in the Left Atria.","authors":"Pedro Rocha Carvalho, Catarina Ribeiro Carvalho, José Paulo Fontes, José Ilídio Moreira","doi":"10.4103/jcecho.jcecho_56_23","DOIUrl":null,"url":null,"abstract":"<p><p>A 54-year-old patient with a medical history of hypertension, dyslipidemia, and diabetes underwent mitral valve replacement surgery with a biologic valve. During a chest computed tomography scan for breast neoplasia staging, a reduced luminal filling in the left atrium (3.6 cm) was unexpectedly found, prompting further cardiac evaluation. The patient was referred to the emergency department experiencing shortness of breath and fatigue, which improved after furosemide administration, and remaining stable throughout hospitalization. A transesophageal echocardiogram was performed the following day and revealed a biologic mitral valve prosthesis slightly displaced toward the left ventricle with an average transprosthetic gradient of 7 mmHg. Notably, a sizable intermediate echogenic mass measuring 3.0 cm × 3.5 cm was detected and attached to the prosthesis ring in a lateral and posterior position, within the left atrium. A mild degree of periprosthetic regurgitation was also noted. Given the substantial suspicion that the observed mass was a thrombus, the patient was commenced on anticoagulation therapy while awaiting cardiac magnetic resonance imaging for better characterization of the mass. Over 4 weeks, the thrombus notably decreased in size, disappearing entirely by the 6<sup>th</sup> week. This case highlights the significance of employing multiple imaging techniques in managing cardiac masses. The incidental discovery of the mass, its characterization, and subsequent management through anticoagulation, followed by confirmation and monitoring through echocardiogram, underscore the importance of a multimodal approach in diagnosing and treating such conditions.</p>","PeriodicalId":15191,"journal":{"name":"Journal of Cardiovascular Echography","volume":"34 2","pages":"90-92"},"PeriodicalIF":1.0000,"publicationDate":"2024-04-01","publicationTypes":"Journal Article","fieldsOfStudy":null,"isOpenAccess":false,"openAccessPdf":"https://www.ncbi.nlm.nih.gov/pmc/articles/PMC11288301/pdf/","citationCount":"0","resultStr":null,"platform":"Semanticscholar","paperid":null,"PeriodicalName":"Journal of Cardiovascular Echography","FirstCategoryId":"1085","ListUrlMain":"https://doi.org/10.4103/jcecho.jcecho_56_23","RegionNum":0,"RegionCategory":null,"ArticlePicture":[],"TitleCN":null,"AbstractTextCN":null,"PMCID":null,"EPubDate":"2024/6/28 0:00:00","PubModel":"Epub","JCR":"Q4","JCRName":"CARDIAC & CARDIOVASCULAR SYSTEMS","Score":null,"Total":0}
引用次数: 0

Abstract

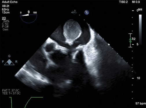
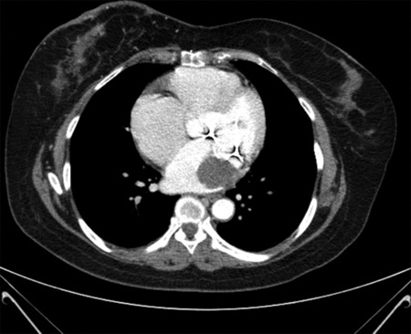
A 54-year-old patient with a medical history of hypertension, dyslipidemia, and diabetes underwent mitral valve replacement surgery with a biologic valve. During a chest computed tomography scan for breast neoplasia staging, a reduced luminal filling in the left atrium (3.6 cm) was unexpectedly found, prompting further cardiac evaluation. The patient was referred to the emergency department experiencing shortness of breath and fatigue, which improved after furosemide administration, and remaining stable throughout hospitalization. A transesophageal echocardiogram was performed the following day and revealed a biologic mitral valve prosthesis slightly displaced toward the left ventricle with an average transprosthetic gradient of 7 mmHg. Notably, a sizable intermediate echogenic mass measuring 3.0 cm × 3.5 cm was detected and attached to the prosthesis ring in a lateral and posterior position, within the left atrium. A mild degree of periprosthetic regurgitation was also noted. Given the substantial suspicion that the observed mass was a thrombus, the patient was commenced on anticoagulation therapy while awaiting cardiac magnetic resonance imaging for better characterization of the mass. Over 4 weeks, the thrombus notably decreased in size, disappearing entirely by the 6th week. This case highlights the significance of employing multiple imaging techniques in managing cardiac masses. The incidental discovery of the mass, its characterization, and subsequent management through anticoagulation, followed by confirmation and monitoring through echocardiogram, underscore the importance of a multimodal approach in diagnosing and treating such conditions.

Abstract Image

Abstract Image

Abstract Image

左心房的热气球
一名 54 岁的患者有高血压、血脂异常和糖尿病病史,接受了二尖瓣生物瓣膜置换手术。在进行乳腺肿瘤分期的胸部计算机断层扫描时,意外发现左心房管腔充盈度降低(3.6 厘米),这促使患者接受进一步的心脏评估。患者因气短和乏力被转至急诊科,服用呋塞米后症状有所改善,并在整个住院期间保持稳定。第二天进行的经食道超声心动图检查显示,生物二尖瓣假体向左心室轻微移位,平均经人工瓣膜梯度为 7 mmHg。值得注意的是,在左心房的侧面和后部位置发现了一个大小为 3.0 厘米 × 3.5 厘米的中间回声肿块,与假体环相连。同时还发现假体周围有轻度反流。由于非常怀疑观察到的肿块是血栓,患者开始接受抗凝治疗,同时等待心脏磁共振成像以更好地确定肿块的特征。4 周后,血栓明显缩小,到第 6 周时完全消失。该病例突出说明了在处理心脏肿块时采用多种成像技术的重要性。肿块的偶然发现、特征描述以及随后的抗凝治疗,再到超声心动图的确认和监测,都强调了多模式方法在诊断和治疗此类疾病中的重要性。
本文章由计算机程序翻译,如有差异,请以英文原文为准。
求助全文
约1分钟内获得全文 求助全文
来源期刊
Journal of Cardiovascular Echography
Journal of Cardiovascular Echography CARDIAC & CARDIOVASCULAR SYSTEMS-
CiteScore
1.40
自引率
12.50%
发文量
27
×
引用
GB/T 7714-2015
复制
MLA
复制
APA
复制
导出至
BibTeX EndNote RefMan NoteFirst NoteExpress
×
提示
您的信息不完整,为了账户安全,请先补充。
现在去补充
×
提示
您因"违规操作"
具体请查看互助需知
我知道了
×
提示
确定
请完成安全验证×
copy
已复制链接
快去分享给好友吧!
我知道了
右上角分享
点击右上角分享
0
联系我们:info@booksci.cn Book学术提供免费学术资源搜索服务,方便国内外学者检索中英文文献。致力于提供最便捷和优质的服务体验。 Copyright © 2023 布克学术 All rights reserved.
京ICP备2023020795号-1
ghs 京公网安备 11010802042870号
Book学术文献互助
Book学术文献互助群
群 号:604180095
Book学术官方微信