A Case of Tumoral Acute Coronary Syndrome - Case Report and Literature Review.

IF 1 Q4 CARDIAC & CARDIOVASCULAR SYSTEMS
Journal of Cardiovascular Echography Pub Date : 2024-04-01 Epub Date: 2024-06-28 DOI:10.4103/jcecho.jcecho_69_23
Catarina Isabel Ribeiro Carvalho, Pedro Miguel Rocha Carvalho, Maria Inês Costa Silveira, Ana Isabel Santos Baptista
{"title":"A Case of Tumoral Acute Coronary Syndrome - Case Report and Literature Review.","authors":"Catarina Isabel Ribeiro Carvalho, Pedro Miguel Rocha Carvalho, Maria Inês Costa Silveira, Ana Isabel Santos Baptista","doi":"10.4103/jcecho.jcecho_69_23","DOIUrl":null,"url":null,"abstract":"<p><p>Cardiovascular disease and cancer constitute the most prevalent illnesses worldwide. Cancer patients show an increased risk of coronary artery disease not only due to shared cardiovascular risk factors, a pro-inflammatory and prothrombotic state induced by cancer itself, the cardiovascular toxicity of cancer therapy, or rarely, due to extrinsic compression of a coronary artery by the primary tumor or a metastatic lesion. Here, we present the case of a 59-year-old man with squamous cell carcinoma of the lung presented with asymptomatic diffuse ST segment depression and troponin T increase. Echocardiography revealed a large mass adjacent to the right atrium, atrioventricular groove, and basal segment of the anterior wall of the left ventricle, which the computed tomography scan showed to encase and probably compress the anterior descending coronary artery. Thus, the patient was diagnosed with acute coronary syndrome due to anterior descendent coronary artery compression by a neoplastic lung mass.</p>","PeriodicalId":15191,"journal":{"name":"Journal of Cardiovascular Echography","volume":"34 2","pages":"93-95"},"PeriodicalIF":1.0000,"publicationDate":"2024-04-01","publicationTypes":"Journal Article","fieldsOfStudy":null,"isOpenAccess":false,"openAccessPdf":"https://www.ncbi.nlm.nih.gov/pmc/articles/PMC11288299/pdf/","citationCount":"0","resultStr":null,"platform":"Semanticscholar","paperid":null,"PeriodicalName":"Journal of Cardiovascular Echography","FirstCategoryId":"1085","ListUrlMain":"https://doi.org/10.4103/jcecho.jcecho_69_23","RegionNum":0,"RegionCategory":null,"ArticlePicture":[],"TitleCN":null,"AbstractTextCN":null,"PMCID":null,"EPubDate":"2024/6/28 0:00:00","PubModel":"Epub","JCR":"Q4","JCRName":"CARDIAC & CARDIOVASCULAR SYSTEMS","Score":null,"Total":0}
引用次数: 0

Abstract

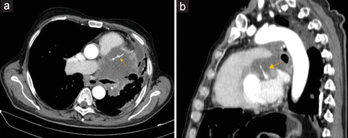
Cardiovascular disease and cancer constitute the most prevalent illnesses worldwide. Cancer patients show an increased risk of coronary artery disease not only due to shared cardiovascular risk factors, a pro-inflammatory and prothrombotic state induced by cancer itself, the cardiovascular toxicity of cancer therapy, or rarely, due to extrinsic compression of a coronary artery by the primary tumor or a metastatic lesion. Here, we present the case of a 59-year-old man with squamous cell carcinoma of the lung presented with asymptomatic diffuse ST segment depression and troponin T increase. Echocardiography revealed a large mass adjacent to the right atrium, atrioventricular groove, and basal segment of the anterior wall of the left ventricle, which the computed tomography scan showed to encase and probably compress the anterior descending coronary artery. Thus, the patient was diagnosed with acute coronary syndrome due to anterior descendent coronary artery compression by a neoplastic lung mass.

Abstract Image

Abstract Image

一例肿瘤性急性冠状动脉综合征--病例报告和文献综述。
心血管疾病和癌症是全球最常见的疾病。癌症患者罹患冠状动脉疾病的风险增加,这不仅是由于共同的心血管危险因素、癌症本身诱发的促炎症和促血栓形成状态、癌症治疗对心血管的毒性,也很少是由于原发肿瘤或转移病灶对冠状动脉的外源性压迫。在此,我们介绍了一例 59 岁男性肺鳞癌患者的病例,该患者出现无症状的弥漫性 ST 段压低和肌钙蛋白 T 升高。超声心动图显示,右心房、房室沟和左心室前壁基底段附近有一巨大肿块,计算机断层扫描显示肿块包裹并可能压迫冠状动脉前降支。因此,患者被诊断为因肿瘤性肺肿块压迫冠状动脉前降支而导致的急性冠状动脉综合征。
本文章由计算机程序翻译,如有差异,请以英文原文为准。
求助全文
约1分钟内获得全文 求助全文
来源期刊
Journal of Cardiovascular Echography
Journal of Cardiovascular Echography CARDIAC & CARDIOVASCULAR SYSTEMS-
CiteScore
1.40
自引率
12.50%
发文量
27
×
引用
GB/T 7714-2015
复制
MLA
复制
APA
复制
导出至
BibTeX EndNote RefMan NoteFirst NoteExpress
×
提示
您的信息不完整,为了账户安全,请先补充。
现在去补充
×
提示
您因"违规操作"
具体请查看互助需知
我知道了
×
提示
确定
请完成安全验证×
copy
已复制链接
快去分享给好友吧!
我知道了
右上角分享
点击右上角分享
0
联系我们:info@booksci.cn Book学术提供免费学术资源搜索服务,方便国内外学者检索中英文文献。致力于提供最便捷和优质的服务体验。 Copyright © 2023 布克学术 All rights reserved.
京ICP备2023020795号-1
ghs 京公网安备 11010802042870号
Book学术文献互助
Book学术文献互助群
群 号:604180095
Book学术官方微信