Nonsurgical Endodontic Treatment of Type II Dens Invaginatus in A Maxillary Lateral Incisor: A Case Report.

Q3 Dentistry
Mariana da Cunha Isaltino, Natália Gomes de Oliveira, Paulo Maurício Reis de Melo Júnior, Carolina Viana Vasco Lyra, Pedro Henrique de Freitas Fernandes, Diana Santana de Albuquerque
{"title":"Nonsurgical Endodontic Treatment of Type II Dens Invaginatus in A Maxillary Lateral Incisor: A Case Report.","authors":"Mariana da Cunha Isaltino, Natália Gomes de Oliveira, Paulo Maurício Reis de Melo Júnior, Carolina Viana Vasco Lyra, Pedro Henrique de Freitas Fernandes, Diana Santana de Albuquerque","doi":"10.22037/iej.v19i3.45099","DOIUrl":null,"url":null,"abstract":"<p><p>Dens invaginatus (DI) is one of the developmental dental anomalies that results in an invagination of the enamel organ into the dental papila during odontogenesis. The purpose of this study is to report a case of nonsurgical endodontic treatment of an Oehlers type II DI in a right maxillary lateral incisor with an extensive periapical damage, along with the two-year clinical and tomographic follow-up. A 30-year-old patient was referred for endodontic treatment of tooth #12. On clinical examination, a change in the shape and color of the crown was observed. The tooth responded negative to pulp sensibility, percussion, palpation and mobility tests. After tomographic evaluation, an Oehlers type II DI was visualized, in addition to an extensive periradicular lesion. The diagnosis was asymptomatic apical periodontitis. The treatment was carried out in two sessions, through intense enhancement of the auxiliary chemical substance with passive ultrasonic irrigation, XP-Endo Finisher and the use of hydroxide-based intracanal medication. Appropriate treatment in cases with anatomic variations requires an accurate and early diagnosis based on clinical examination and radiographic images. A two-year follow-up of the present case showed that the correct diagnosis associated with appropriate instrumentation techniques, supplementary disinfection, and adequate three-dimensional sealing of the canal with filling material, resulted in regression of the periradicular lesion and bone repair.</p>","PeriodicalId":14534,"journal":{"name":"Iranian Endodontic Journal","volume":"19 3","pages":"232-236"},"PeriodicalIF":0.0000,"publicationDate":"2024-01-01","publicationTypes":"Journal Article","fieldsOfStudy":null,"isOpenAccess":false,"openAccessPdf":"https://www.ncbi.nlm.nih.gov/pmc/articles/PMC11287048/pdf/","citationCount":"0","resultStr":null,"platform":"Semanticscholar","paperid":null,"PeriodicalName":"Iranian Endodontic Journal","FirstCategoryId":"1085","ListUrlMain":"https://doi.org/10.22037/iej.v19i3.45099","RegionNum":0,"RegionCategory":null,"ArticlePicture":[],"TitleCN":null,"AbstractTextCN":null,"PMCID":null,"EPubDate":"","PubModel":"","JCR":"Q3","JCRName":"Dentistry","Score":null,"Total":0}
引用次数: 0

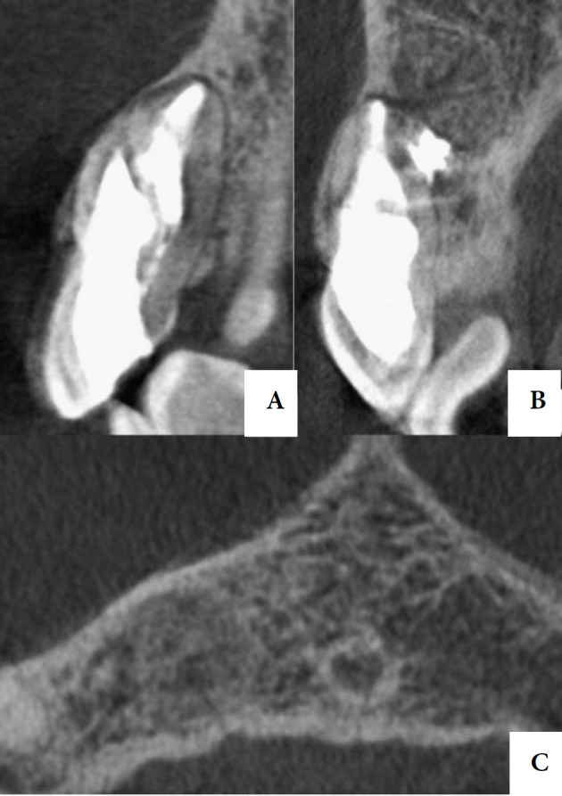
Abstract

Dens invaginatus (DI) is one of the developmental dental anomalies that results in an invagination of the enamel organ into the dental papila during odontogenesis. The purpose of this study is to report a case of nonsurgical endodontic treatment of an Oehlers type II DI in a right maxillary lateral incisor with an extensive periapical damage, along with the two-year clinical and tomographic follow-up. A 30-year-old patient was referred for endodontic treatment of tooth #12. On clinical examination, a change in the shape and color of the crown was observed. The tooth responded negative to pulp sensibility, percussion, palpation and mobility tests. After tomographic evaluation, an Oehlers type II DI was visualized, in addition to an extensive periradicular lesion. The diagnosis was asymptomatic apical periodontitis. The treatment was carried out in two sessions, through intense enhancement of the auxiliary chemical substance with passive ultrasonic irrigation, XP-Endo Finisher and the use of hydroxide-based intracanal medication. Appropriate treatment in cases with anatomic variations requires an accurate and early diagnosis based on clinical examination and radiographic images. A two-year follow-up of the present case showed that the correct diagnosis associated with appropriate instrumentation techniques, supplementary disinfection, and adequate three-dimensional sealing of the canal with filling material, resulted in regression of the periradicular lesion and bone repair.

Abstract Image

Abstract Image

Abstract Image

对一颗上颌侧切牙的 II 型牙髓隐窝进行非手术牙髓治疗:病例报告。
内陷窝洞(Dens invaginatus,DI)是牙齿发育异常的一种,在牙体形成过程中会导致釉质器官内陷到牙乳突中。本研究旨在报告一例对右侧上颌侧切牙伴有广泛根尖周损害的 Oehlers II 型内陷牙进行非手术牙髓治疗的病例,以及两年的临床和断层扫描随访。一名 30 岁的患者被转诊接受 12 号牙的牙髓治疗。临床检查发现,牙冠的形状和颜色发生了变化。牙髓感觉、叩诊、触诊和活动度测试均为阴性。经过断层扫描评估,除了广泛的根周病变外,还发现了 Oehlers II 型 DI。诊断结果为无症状根尖牙周炎。治疗分两个疗程进行,通过被动超声波灌洗、XP-Endo Finisher 和使用氢氧化物为基础的根管内药物来强化辅助化学物质。要对解剖变异的病例进行适当的治疗,需要根据临床检查和放射影像进行早期准确诊断。对该病例进行的为期两年的随访表明,正确的诊断加上适当的器械技术、辅助消毒以及用充填材料对根管进行充分的三维封闭,使得根周病变消退,骨质得到修复。
本文章由计算机程序翻译,如有差异,请以英文原文为准。
求助全文
约1分钟内获得全文 求助全文
来源期刊
Iranian Endodontic Journal
Iranian Endodontic Journal Dentistry-Dentistry (all)
CiteScore
1.30
自引率
0.00%
发文量
0
审稿时长
12 weeks
期刊介绍: The Iranian Endodontic Journal (IEJ) is an international peer-reviewed biomedical publication, the aim of which is to provide a scientific medium of communication for researchers throughout the globe. IEJ aims to publish the highest quality articles, both clinical and scientific, on all aspects of Endodontics. The journal is an official Journal of the Iranian Center for Endodontic Research (ICER) and the Iranian Association of Endodontists (IAE). The Journal welcomes articles related to the scientific or applied aspects of endodontics e.g. original researches, systematic reviews, meta-analyses, review articles, clinical trials, case series/reports, hypotheses, letters to the editor, etc. From the beginning (i.e. since 2006), the IEJ was the first open access endodontic journal in the world, which gave readers free and instant access to published articles and enabling them faster discovery of the latest endodontic research.
×
引用
GB/T 7714-2015
复制
MLA
复制
APA
复制
导出至
BibTeX EndNote RefMan NoteFirst NoteExpress
×
提示
您的信息不完整,为了账户安全,请先补充。
现在去补充
×
提示
您因"违规操作"
具体请查看互助需知
我知道了
×
提示
确定
请完成安全验证×
copy
已复制链接
快去分享给好友吧!
我知道了
右上角分享
点击右上角分享
0
联系我们:info@booksci.cn Book学术提供免费学术资源搜索服务,方便国内外学者检索中英文文献。致力于提供最便捷和优质的服务体验。 Copyright © 2023 布克学术 All rights reserved.
京ICP备2023020795号-1
ghs 京公网安备 11010802042870号
Book学术文献互助
Book学术文献互助群
群 号:604180095
Book学术官方微信