Longitudinal changes in each retinal layer thickness in patients with non-ischemic central retinal vein occlusion.

IF 4 1区 医学 Q1 OPHTHALMOLOGY
Min-Woo Lee, Ji-Ho Jun, Hyun-Je Seong
{"title":"Longitudinal changes in each retinal layer thickness in patients with non-ischemic central retinal vein occlusion.","authors":"Min-Woo Lee, Ji-Ho Jun, Hyun-Je Seong","doi":"10.1186/s40662-024-00397-y","DOIUrl":null,"url":null,"abstract":"<p><strong>Background: </strong>To identify longitudinal changes in each retinal layer thickness in central retinal vein occlusion (CRVO) patients with resolved macular edema (ME).</p><p><strong>Methods: </strong>In this retrospective observational study, CRVO patients without a recurrence of ME for more than 3 years and normal controls were enrolled. Each retinal layer thickness of the parafoveal area, including ganglion cell complex (GCC), inner nuclear layer (INL), outer plexiform layer (OPL), outer nuclear layer (ONL), photoreceptor layer (PRL), and retinal pigment epithelium (RPE) was measured. After the resolution of ME, three more examinations with a 1-year interval were analyzed.</p><p><strong>Results: </strong>A total of 98 eyes were enrolled, 50 eyes for the control group and 48 eyes for the CRVO group. The baseline GCC thickness was 114.2 ± 15.6 μm and 104.2 ± 25.4 μm in the control and CRVO groups, respectively, which was significantly different (P = 0.022). The thicknesses of other layers including INL, OPL, ONL, PRL, and RPE were not significantly different at baseline. The reduction rate of GCC, INL, OPL, and ONL was - 3.92, - 1.33, - 0.91, and - 2.31 μm/year in the CRVO group, whereas no significant reductions were observed in the control group. Best-corrected visual acuity was significantly associated with changes in the GCC, OPL, and ONL in the CRVO group.</p><p><strong>Conclusions: </strong>In patients with CRVO, even in the absence of recurrent ME, retinal damage progresses over time, evidenced by thinning of the inner retina and outer retina including OPL and ONL. These changes may be associated with alterations in visual function.</p>","PeriodicalId":12194,"journal":{"name":"Eye and Vision","volume":"11 1","pages":"29"},"PeriodicalIF":4.0000,"publicationDate":"2024-08-01","publicationTypes":"Journal Article","fieldsOfStudy":null,"isOpenAccess":false,"openAccessPdf":"https://www.ncbi.nlm.nih.gov/pmc/articles/PMC11293173/pdf/","citationCount":"0","resultStr":null,"platform":"Semanticscholar","paperid":null,"PeriodicalName":"Eye and Vision","FirstCategoryId":"3","ListUrlMain":"https://doi.org/10.1186/s40662-024-00397-y","RegionNum":1,"RegionCategory":"医学","ArticlePicture":[],"TitleCN":null,"AbstractTextCN":null,"PMCID":null,"EPubDate":"","PubModel":"","JCR":"Q1","JCRName":"OPHTHALMOLOGY","Score":null,"Total":0}
引用次数: 0

Abstract

Background: To identify longitudinal changes in each retinal layer thickness in central retinal vein occlusion (CRVO) patients with resolved macular edema (ME).

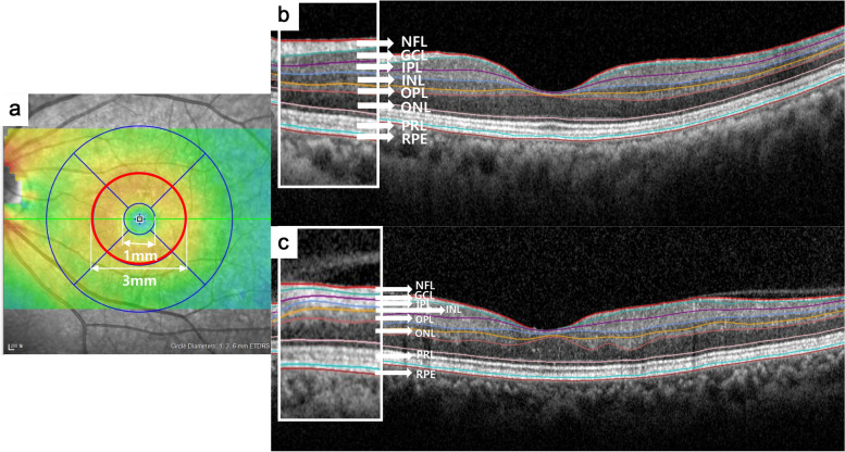
Methods: In this retrospective observational study, CRVO patients without a recurrence of ME for more than 3 years and normal controls were enrolled. Each retinal layer thickness of the parafoveal area, including ganglion cell complex (GCC), inner nuclear layer (INL), outer plexiform layer (OPL), outer nuclear layer (ONL), photoreceptor layer (PRL), and retinal pigment epithelium (RPE) was measured. After the resolution of ME, three more examinations with a 1-year interval were analyzed.

Results: A total of 98 eyes were enrolled, 50 eyes for the control group and 48 eyes for the CRVO group. The baseline GCC thickness was 114.2 ± 15.6 μm and 104.2 ± 25.4 μm in the control and CRVO groups, respectively, which was significantly different (P = 0.022). The thicknesses of other layers including INL, OPL, ONL, PRL, and RPE were not significantly different at baseline. The reduction rate of GCC, INL, OPL, and ONL was - 3.92, - 1.33, - 0.91, and - 2.31 μm/year in the CRVO group, whereas no significant reductions were observed in the control group. Best-corrected visual acuity was significantly associated with changes in the GCC, OPL, and ONL in the CRVO group.

Conclusions: In patients with CRVO, even in the absence of recurrent ME, retinal damage progresses over time, evidenced by thinning of the inner retina and outer retina including OPL and ONL. These changes may be associated with alterations in visual function.

Abstract Image

Abstract Image

非缺血性视网膜中央静脉闭塞患者视网膜各层厚度的纵向变化。
背景:旨在确定视网膜中央静脉闭塞(CRVO)患者黄斑水肿(ME)消退后视网膜各层厚度的纵向变化:确定视网膜中央静脉闭塞(CRVO)患者黄斑水肿(ME)消退后视网膜各层厚度的纵向变化:在这项回顾性观察研究中,纳入了3年以上未复发ME的CRVO患者和正常对照组。测量了视网膜旁区域的各视网膜层厚度,包括神经节细胞复合体(GCC)、核内层(INL)、丛状外层(OPL)、核外层(ONL)、感光层(PRL)和视网膜色素上皮(RPE)。在 ME 消失后,对间隔 1 年的另外三次检查进行分析:结果:共有 98 只眼睛入选,其中对照组 50 只,CRVO 组 48 只。对照组和 CRVO 组的基线 GCC 厚度分别为 114.2 ± 15.6 μm 和 104.2 ± 25.4 μm,差异显著(P = 0.022)。其他各层(包括 INL、OPL、ONL、PRL 和 RPE)的厚度在基线时无明显差异。在 CRVO 组中,GCC、INL、OPL 和 ONL 的减少率分别为 - 3.92、- 1.33、- 0.91 和 - 2.31 μm/年,而在对照组中未观察到明显减少。在 CRVO 组中,最佳矫正视力与 GCC、OPL 和 ONL 的变化显著相关:结论:在 CRVO 患者中,即使没有复发性 ME,视网膜损伤也会随着时间的推移而加重,表现为视网膜内层和外层(包括 OPL 和 ONL)变薄。这些变化可能与视觉功能的改变有关。
本文章由计算机程序翻译,如有差异,请以英文原文为准。
求助全文
约1分钟内获得全文 求助全文
来源期刊
Eye and Vision
Eye and Vision OPHTHALMOLOGY-
CiteScore
8.60
自引率
2.40%
发文量
89
审稿时长
15 weeks
期刊介绍: Eye and Vision is an open access, peer-reviewed journal for ophthalmologists and visual science specialists. It welcomes research articles, reviews, methodologies, commentaries, case reports, perspectives and short reports encompassing all aspects of eye and vision. Topics of interest include but are not limited to: current developments of theoretical, experimental and clinical investigations in ophthalmology, optometry and vision science which focus on novel and high-impact findings on central issues pertaining to biology, pathophysiology and etiology of eye diseases as well as advances in diagnostic techniques, surgical treatment, instrument updates, the latest drug findings, results of clinical trials and research findings. It aims to provide ophthalmologists and visual science specialists with the latest developments in theoretical, experimental and clinical investigations in eye and vision.
×
引用
GB/T 7714-2015
复制
MLA
复制
APA
复制
导出至
BibTeX EndNote RefMan NoteFirst NoteExpress
×
提示
您的信息不完整,为了账户安全,请先补充。
现在去补充
×
提示
您因"违规操作"
具体请查看互助需知
我知道了
×
提示
确定
请完成安全验证×
copy
已复制链接
快去分享给好友吧!
我知道了
右上角分享
点击右上角分享
0
联系我们:info@booksci.cn Book学术提供免费学术资源搜索服务,方便国内外学者检索中英文文献。致力于提供最便捷和优质的服务体验。 Copyright © 2023 布克学术 All rights reserved.
京ICP备2023020795号-1
ghs 京公网安备 11010802042870号
Book学术文献互助
Book学术文献互助群
群 号:604180095
Book学术官方微信