Unusual Presentation of Pleural Space Ascariasis Infection from Eastern Sudan: A Case Report.

IF 4.5 Q2 MEDICINE, RESEARCH & EXPERIMENTAL
Research and Reports in Tropical Medicine Pub Date : 2024-07-22 eCollection Date: 2024-01-01 DOI:10.2147/RRTM.S468422
Nader Ahmed Mohammed, Abdulrahman O E Adam, Monzir Ahmed Hassan Osman, Hibatallah M A Abass, Awad M A Salih, Ameer A M Abaker, Alamin Mustafa, Mamoun Magoub
{"title":"Unusual Presentation of Pleural Space Ascariasis Infection from Eastern Sudan: A Case Report.","authors":"Nader Ahmed Mohammed, Abdulrahman O E Adam, Monzir Ahmed Hassan Osman, Hibatallah M A Abass, Awad M A Salih, Ameer A M Abaker, Alamin Mustafa, Mamoun Magoub","doi":"10.2147/RRTM.S468422","DOIUrl":null,"url":null,"abstract":"<p><strong>Background: </strong><i>Ascaris lumbricoides</i> is a common infectious parasite of the gastrointestinal tract worldwide, but the invasion of the pleural cavity is rare.</p><p><strong>Case report: </strong>A 45-year-old man from Eastern Sudan presented to the emergency department complaining of breathlessness, cough stained with blood, and chest pain one month before his presentation. Also, he complained of high-grade fever for two weeks associated with sweating. Diagnosis of hydropneumothorax was made and a chest tube was inserted, two days later we found three adult <i>A. lumbricoides</i> worms in the chest drain.</p><p><strong>Conclusion: </strong>The patient was treated with Albendazole 200 mg, orally twice, daily for seven days, he improved and was referred to a cardiothoracic surgeon for more assessment. Our study highlights that internal medicine specialists should know about pleural ascariasis when patients present with respiratory signs and symptoms, especially in <i>A. lumbricoides endemic</i> regions like Eastern Sudan.</p>","PeriodicalId":21138,"journal":{"name":"Research and Reports in Tropical Medicine","volume":"15 ","pages":"73-78"},"PeriodicalIF":4.5000,"publicationDate":"2024-07-22","publicationTypes":"Journal Article","fieldsOfStudy":null,"isOpenAccess":false,"openAccessPdf":"https://www.ncbi.nlm.nih.gov/pmc/articles/PMC11277899/pdf/","citationCount":"0","resultStr":null,"platform":"Semanticscholar","paperid":null,"PeriodicalName":"Research and Reports in Tropical Medicine","FirstCategoryId":"1085","ListUrlMain":"https://doi.org/10.2147/RRTM.S468422","RegionNum":0,"RegionCategory":null,"ArticlePicture":[],"TitleCN":null,"AbstractTextCN":null,"PMCID":null,"EPubDate":"2024/1/1 0:00:00","PubModel":"eCollection","JCR":"Q2","JCRName":"MEDICINE, RESEARCH & EXPERIMENTAL","Score":null,"Total":0}
引用次数: 0

Abstract

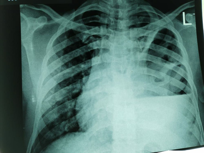
Background: Ascaris lumbricoides is a common infectious parasite of the gastrointestinal tract worldwide, but the invasion of the pleural cavity is rare.

Case report: A 45-year-old man from Eastern Sudan presented to the emergency department complaining of breathlessness, cough stained with blood, and chest pain one month before his presentation. Also, he complained of high-grade fever for two weeks associated with sweating. Diagnosis of hydropneumothorax was made and a chest tube was inserted, two days later we found three adult A. lumbricoides worms in the chest drain.

Conclusion: The patient was treated with Albendazole 200 mg, orally twice, daily for seven days, he improved and was referred to a cardiothoracic surgeon for more assessment. Our study highlights that internal medicine specialists should know about pleural ascariasis when patients present with respiratory signs and symptoms, especially in A. lumbricoides endemic regions like Eastern Sudan.

Abstract Image

Abstract Image

Abstract Image

苏丹东部胸膜腔蛔虫病感染的不寻常表现:病例报告。
背景:蛔虫是全球常见的胃肠道感染性寄生虫,但侵入胸膜腔的情况却很少见:一名来自苏丹东部的 45 岁男子来到急诊科就诊,他在就诊前一个月主诉呼吸困难、咳嗽带血和胸痛。此外,他还诉说高烧两周,伴有出汗。两天后,我们在胸腔引流管中发现了三条疟原虫成虫:患者接受了阿苯达唑 200 毫克(每日口服两次,每次 200 毫克)治疗,连续七天后病情有所好转,并被转诊至心胸外科医生处接受进一步评估。我们的研究强调,当患者出现呼吸道症状和体征时,内科专家应了解胸膜蛔虫病,尤其是在像苏丹东部这样的蛔虫流行地区。
本文章由计算机程序翻译,如有差异,请以英文原文为准。
求助全文
约1分钟内获得全文 求助全文
来源期刊
Research and Reports in Tropical Medicine
Research and Reports in Tropical Medicine MEDICINE, RESEARCH & EXPERIMENTAL-
自引率
0.00%
发文量
7
审稿时长
16 weeks
×
引用
GB/T 7714-2015
复制
MLA
复制
APA
复制
导出至
BibTeX EndNote RefMan NoteFirst NoteExpress
×
提示
您的信息不完整,为了账户安全,请先补充。
现在去补充
×
提示
您因"违规操作"
具体请查看互助需知
我知道了
×
提示
确定
请完成安全验证×
copy
已复制链接
快去分享给好友吧!
我知道了
右上角分享
点击右上角分享
0
联系我们:info@booksci.cn Book学术提供免费学术资源搜索服务,方便国内外学者检索中英文文献。致力于提供最便捷和优质的服务体验。 Copyright © 2023 布克学术 All rights reserved.
京ICP备2023020795号-1
ghs 京公网安备 11010802042870号
Book学术文献互助
Book学术文献互助群
群 号:604180095
Book学术官方微信