Uncovering genetic mimics in multiple sclerosis: A single-center clinical exome sequencing study.

IF 2.3 Q2 CLINICAL NEUROLOGY
Julia M Mandler, Johanna Härtl, Isabell Cordts, Marc Sturm, Dennis M Hedderich, Cemsel Bafligil, Enayatullah Baki, Benedikt Becker, Gerrit Machetanz, Tobias B Haack, Achim Berthele, Bernhard Hemmer, Marcus Deschauer
{"title":"Uncovering genetic mimics in multiple sclerosis: A single-center clinical exome sequencing study.","authors":"Julia M Mandler, Johanna Härtl, Isabell Cordts, Marc Sturm, Dennis M Hedderich, Cemsel Bafligil, Enayatullah Baki, Benedikt Becker, Gerrit Machetanz, Tobias B Haack, Achim Berthele, Bernhard Hemmer, Marcus Deschauer","doi":"10.1177/20552173241263491","DOIUrl":null,"url":null,"abstract":"<p><strong>Background: </strong>Multiple sclerosis (MS) shares clinical/radiological features with several monogenic diseases that can mimic MS.</p><p><strong>Objective: </strong>We aimed to determine if exome sequencing can identify monogenic diseases in patients diagnosed with MS according to the McDonald criteria thus uncovering them as being misdiagnosed.</p><p><strong>Methods: </strong>We performed whole exome sequencing in a cohort of 278 patients with MS, clinically or radiologically isolated syndrome without cerebrospinal fluid-specific oligoclonal bands (CSF-OCBs) (n = 228), a positive family history of MS (n = 44), or both (n = 6), thereby focusing on individuals potentially more likely to have underlying monogenic conditions mimicking MS. We prioritized 495 genes associated with monogenic diseases sharing features with MS.</p><p><strong>Results: </strong>A disease-causing variant in <i>NOTCH3</i> was identified in one patient without CSF-OCBs, no spinal lesions, with non-response to immunotherapy, and a family history of dementia, thereby converting the diagnosis to cerebral autosomal-dominant arteriopathy with subcortical infarcts and leukoencephalopathy (CADASIL). Moreover, 18 patients (6.5% of total) carried variants of unclear significance.</p><p><strong>Conclusion: </strong>Monogenic diseases being misdiagnosed as MS seem rare in patients diagnosed with MS according to the McDonald criteria, even in CSF-OCB negative cases. The detected pathogenic <i>NOTCH3</i> variant emphasizes CADASIL as a rare differential diagnosis and highlights the relevance of genetic testing in selected MS cases with atypical presentations.</p>","PeriodicalId":18961,"journal":{"name":"Multiple Sclerosis Journal - Experimental, Translational and Clinical","volume":"10 3","pages":"20552173241263491"},"PeriodicalIF":2.3000,"publicationDate":"2024-07-24","publicationTypes":"Journal Article","fieldsOfStudy":null,"isOpenAccess":false,"openAccessPdf":"https://www.ncbi.nlm.nih.gov/pmc/articles/PMC11273569/pdf/","citationCount":"0","resultStr":null,"platform":"Semanticscholar","paperid":null,"PeriodicalName":"Multiple Sclerosis Journal - Experimental, Translational and Clinical","FirstCategoryId":"1085","ListUrlMain":"https://doi.org/10.1177/20552173241263491","RegionNum":0,"RegionCategory":null,"ArticlePicture":[],"TitleCN":null,"AbstractTextCN":null,"PMCID":null,"EPubDate":"2024/7/1 0:00:00","PubModel":"eCollection","JCR":"Q2","JCRName":"CLINICAL NEUROLOGY","Score":null,"Total":0}
引用次数: 0

Abstract

Background: Multiple sclerosis (MS) shares clinical/radiological features with several monogenic diseases that can mimic MS.

Objective: We aimed to determine if exome sequencing can identify monogenic diseases in patients diagnosed with MS according to the McDonald criteria thus uncovering them as being misdiagnosed.

Methods: We performed whole exome sequencing in a cohort of 278 patients with MS, clinically or radiologically isolated syndrome without cerebrospinal fluid-specific oligoclonal bands (CSF-OCBs) (n = 228), a positive family history of MS (n = 44), or both (n = 6), thereby focusing on individuals potentially more likely to have underlying monogenic conditions mimicking MS. We prioritized 495 genes associated with monogenic diseases sharing features with MS.

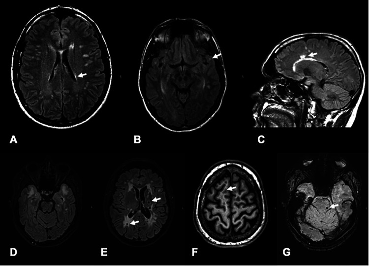
Results: A disease-causing variant in NOTCH3 was identified in one patient without CSF-OCBs, no spinal lesions, with non-response to immunotherapy, and a family history of dementia, thereby converting the diagnosis to cerebral autosomal-dominant arteriopathy with subcortical infarcts and leukoencephalopathy (CADASIL). Moreover, 18 patients (6.5% of total) carried variants of unclear significance.

Conclusion: Monogenic diseases being misdiagnosed as MS seem rare in patients diagnosed with MS according to the McDonald criteria, even in CSF-OCB negative cases. The detected pathogenic NOTCH3 variant emphasizes CADASIL as a rare differential diagnosis and highlights the relevance of genetic testing in selected MS cases with atypical presentations.

Abstract Image

Abstract Image

Abstract Image

发现多发性硬化症的基因模拟:单中心临床外显子组测序研究。
背景:多发性硬化症(MS多发性硬化症(MS)与几种可模拟MS的单基因疾病具有共同的临床/放射学特征:我们的目的是确定外显子组测序能否在根据麦克唐纳标准诊断为多发性硬化症的患者中发现单基因疾病,从而发现他们被误诊:我们对278名多发性硬化症患者进行了全外显子组测序,这些患者具有临床或放射学孤立综合征,无脑脊液特异性寡克隆带(CSF-OCBs)(n = 228),有阳性多发性硬化症家族史(n = 44),或两者皆有(n = 6),因此我们将重点放在了更有可能患有模仿多发性硬化症的潜在单基因疾病的个体上。我们优先选择了495个与多发性硬化症有共同特征的单基因疾病相关的基因:结果:在一名无 CSF-OCB、无脊柱病变、对免疫疗法无反应且有痴呆家族史的患者身上发现了 NOTCH3 的致病变体,从而将其诊断为大脑常染色体显性动脉病伴皮层下梗死和白质脑病(CADASIL)。此外,18 名患者(占总数的 6.5%)携带意义不明的变异体:结论:根据麦克唐纳标准被诊断为多发性硬化症的患者中,即使是 CSF-OCB 阴性病例,被误诊为多发性硬化症的单基因疾病似乎也很少见。检测出的致病性NOTCH3变异体强调了CADASIL是一种罕见的鉴别诊断,并强调了对某些表现不典型的多发性硬化症病例进行基因检测的重要性。
本文章由计算机程序翻译,如有差异,请以英文原文为准。
求助全文
约1分钟内获得全文 求助全文
来源期刊
CiteScore
4.70
自引率
0.00%
发文量
54
审稿时长
15 weeks
×
引用
GB/T 7714-2015
复制
MLA
复制
APA
复制
导出至
BibTeX EndNote RefMan NoteFirst NoteExpress
×
提示
您的信息不完整,为了账户安全,请先补充。
现在去补充
×
提示
您因"违规操作"
具体请查看互助需知
我知道了
×
提示
确定
请完成安全验证×
copy
已复制链接
快去分享给好友吧!
我知道了
右上角分享
点击右上角分享
0
联系我们:info@booksci.cn Book学术提供免费学术资源搜索服务,方便国内外学者检索中英文文献。致力于提供最便捷和优质的服务体验。 Copyright © 2023 布克学术 All rights reserved.
京ICP备2023020795号-1
ghs 京公网安备 11010802042870号
Book学术文献互助
Book学术文献互助群
群 号:604180095
Book学术官方微信