Reconceiving Perineural Invasion in Cutaneous Squamous Cell Carcinoma: From Biological to Histopathological Assessment.

IF 2 4区 医学 Q3 CELL BIOLOGY
Pathobiology Pub Date : 2024-01-01 Epub Date: 2024-07-24 DOI:10.1159/000539484
Filippo Nozzoli, Romina Nassini, Francesco De Logu, Martina Catalano, Giandomenico Roviello, Daniela Massi
{"title":"Reconceiving Perineural Invasion in Cutaneous Squamous Cell Carcinoma: From Biological to Histopathological Assessment.","authors":"Filippo Nozzoli, Romina Nassini, Francesco De Logu, Martina Catalano, Giandomenico Roviello, Daniela Massi","doi":"10.1159/000539484","DOIUrl":null,"url":null,"abstract":"<p><strong>Background: </strong>Perineural invasion (PNI) is a complex molecular process histologically represented by the presence of tumor cells within the peripheral nerve sheath and defined when infiltration into the 3 nerve sheath layers can be clearly identified. Several molecular pathways have been implicated in cSCC. PNI is a well-recognized risk factor in cutaneous squamous cell carcinoma (cSCC) and its accurate assessment represents a challenging field in pathology daily practice.</p><p><strong>Summary: </strong>As a highly intricate and dynamic process, PNI involves a contingent on bidirectional signaling interactions between the tumor and various nerve components, such as Schwann cells and neurons. The current staging systems recommend the identification of PNI as a dichotomous variable (presence vs. absence) to identify a subgroup of high-risk patients. However, recent further insights revealed that the evaluation of morphological PNI-related features in cSCC may enhance the prognostic stratification of patients and may optimize the current staging guidelines for recurrence risk assessment and improvement of patient selection for postoperative adjuvant treatments. Furthermore, recent emerging biomarkers could redefine early PNI detection.</p><p><strong>Key messages: </strong>This review provides updated insights into cSCC with PNI, focusing on molecular and cellular pathogenic processes, and aims to increase knowledge on prognostic relevant PNI-related histological features.</p>","PeriodicalId":19805,"journal":{"name":"Pathobiology","volume":" ","pages":"442-454"},"PeriodicalIF":2.0000,"publicationDate":"2024-01-01","publicationTypes":"Journal Article","fieldsOfStudy":null,"isOpenAccess":false,"openAccessPdf":"https://www.ncbi.nlm.nih.gov/pmc/articles/PMC11614312/pdf/","citationCount":"0","resultStr":null,"platform":"Semanticscholar","paperid":null,"PeriodicalName":"Pathobiology","FirstCategoryId":"3","ListUrlMain":"https://doi.org/10.1159/000539484","RegionNum":4,"RegionCategory":"医学","ArticlePicture":[],"TitleCN":null,"AbstractTextCN":null,"PMCID":null,"EPubDate":"2024/7/24 0:00:00","PubModel":"Epub","JCR":"Q3","JCRName":"CELL BIOLOGY","Score":null,"Total":0}
引用次数: 0

Abstract

Background: Perineural invasion (PNI) is a complex molecular process histologically represented by the presence of tumor cells within the peripheral nerve sheath and defined when infiltration into the 3 nerve sheath layers can be clearly identified. Several molecular pathways have been implicated in cSCC. PNI is a well-recognized risk factor in cutaneous squamous cell carcinoma (cSCC) and its accurate assessment represents a challenging field in pathology daily practice.

Summary: As a highly intricate and dynamic process, PNI involves a contingent on bidirectional signaling interactions between the tumor and various nerve components, such as Schwann cells and neurons. The current staging systems recommend the identification of PNI as a dichotomous variable (presence vs. absence) to identify a subgroup of high-risk patients. However, recent further insights revealed that the evaluation of morphological PNI-related features in cSCC may enhance the prognostic stratification of patients and may optimize the current staging guidelines for recurrence risk assessment and improvement of patient selection for postoperative adjuvant treatments. Furthermore, recent emerging biomarkers could redefine early PNI detection.

Key messages: This review provides updated insights into cSCC with PNI, focusing on molecular and cellular pathogenic processes, and aims to increase knowledge on prognostic relevant PNI-related histological features.

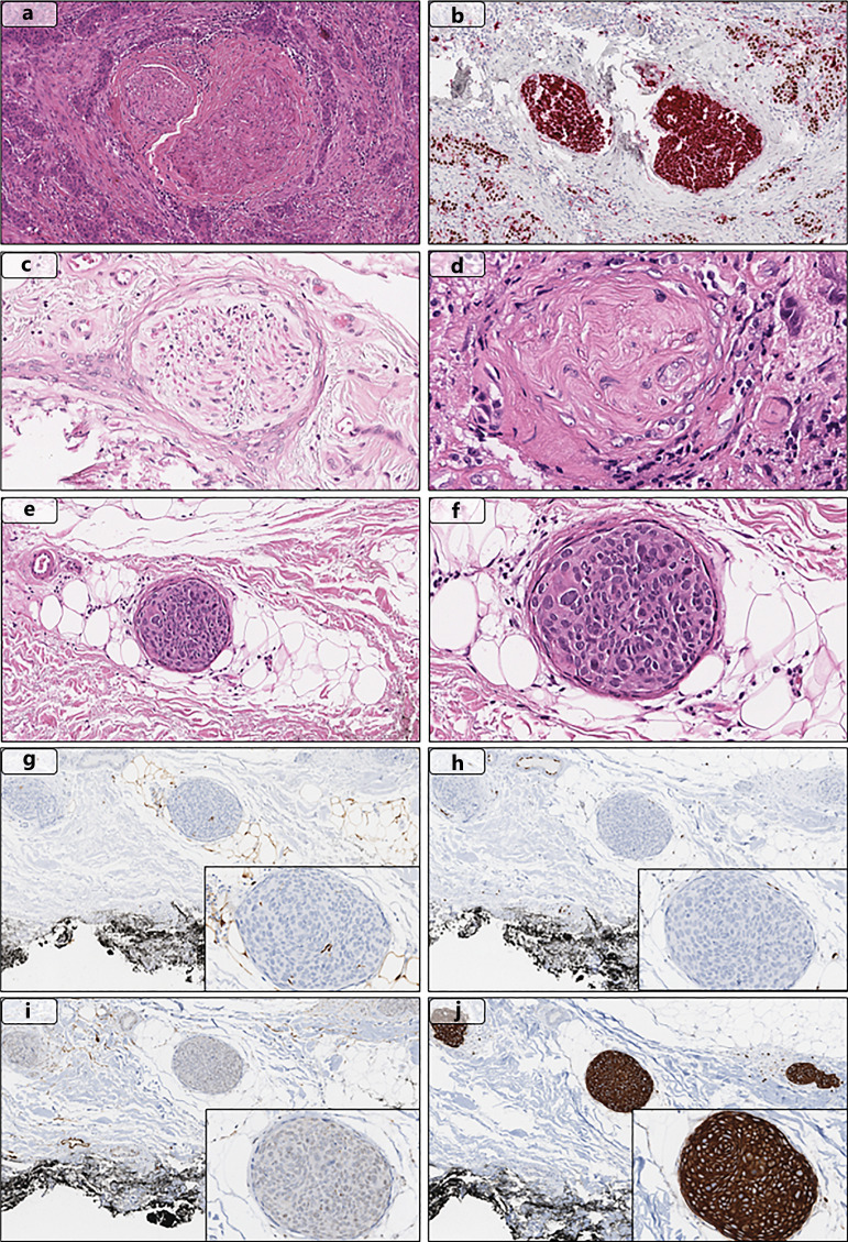
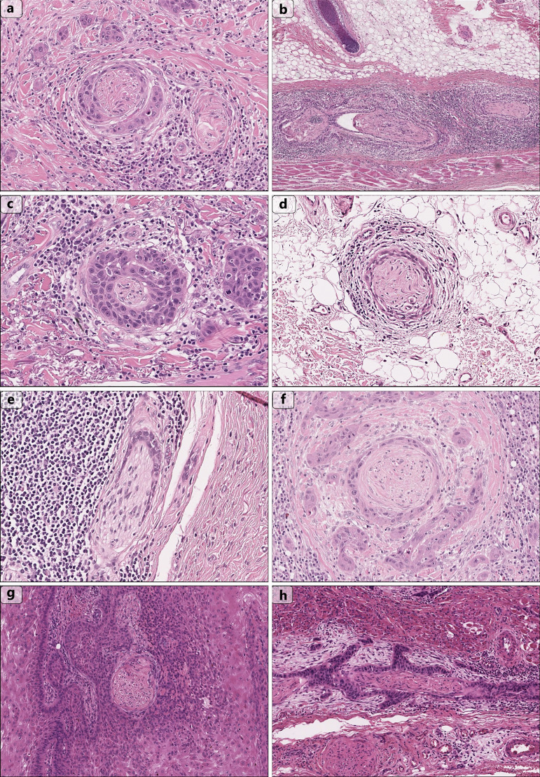
Abstract Image

Abstract Image

Abstract Image

重新认识皮肤鳞状细胞癌的神经周围侵犯:从生物学评估到组织病理学评估。
背景 神经周围侵袭(PNI)是一个复杂的分子过程,组织学上表现为周围神经鞘内肿瘤细胞的存在,当可以清楚地确定肿瘤细胞浸润到 3 个神经鞘层时,就可以定义为神经周围侵袭。有几种分子途径与 cSCC 有关。PNI 是皮肤鳞状细胞癌 (cSCC) 的一个公认风险因素,对其进行准确评估是病理科日常工作中一个具有挑战性的领域。摘要 PNI 是一个高度复杂和动态的过程,取决于肿瘤与各种神经成分(如许旺细胞和神经元)之间的双向信号相互作用。目前的分期系统建议将 PNI 识别为二分变量(存在与不存在),以识别高危患者亚群。然而,最近的进一步研究表明,对 cSCC 中与 PNI 相关的形态学特征进行评估可加强对患者的预后分层,并可优化目前的分期指南,用于复发风险评估和改善患者术后辅助治疗的选择。此外,最近出现的生物标志物可重新定义早期 PNI 检测。重要信息 本综述提供了对伴有 PNI 的 cSCC 的最新见解,重点关注分子和细胞致病过程,旨在增加对与预后相关的 PNI 组织学特征的了解。
本文章由计算机程序翻译,如有差异,请以英文原文为准。
求助全文
约1分钟内获得全文 求助全文
来源期刊
Pathobiology
Pathobiology 医学-病理学
CiteScore
8.50
自引率
0.00%
发文量
47
审稿时长
>12 weeks
期刊介绍: ''Pathobiology'' offers a valuable platform for the publication of high-quality original research into the mechanisms underlying human disease. Aiming to serve as a bridge between basic biomedical research and clinical medicine, the journal welcomes articles from scientific areas such as pathology, oncology, anatomy, virology, internal medicine, surgery, cell and molecular biology, and immunology. Published bimonthly, ''Pathobiology'' features original research papers and reviews on translational research. The journal offers the possibility to publish proceedings of meetings dedicated to one particular topic.
×
引用
GB/T 7714-2015
复制
MLA
复制
APA
复制
导出至
BibTeX EndNote RefMan NoteFirst NoteExpress
×
提示
您的信息不完整,为了账户安全,请先补充。
现在去补充
×
提示
您因"违规操作"
具体请查看互助需知
我知道了
×
提示
确定
请完成安全验证×
copy
已复制链接
快去分享给好友吧!
我知道了
右上角分享
点击右上角分享
0
联系我们:info@booksci.cn Book学术提供免费学术资源搜索服务,方便国内外学者检索中英文文献。致力于提供最便捷和优质的服务体验。 Copyright © 2023 布克学术 All rights reserved.
京ICP备2023020795号-1
ghs 京公网安备 11010802042870号
Book学术文献互助
Book学术文献互助群
群 号:604180095
Book学术官方微信