Whiplash Maculopathy Following Parachute Injury.

IF 1.5 Q3 OPHTHALMOLOGY
Journal of Ophthalmic & Vision Research Pub Date : 2024-06-21 eCollection Date: 2024-04-01 DOI:10.18502/jovr.v19i2.7442
Parveen Sen, Harshit Vaidya
{"title":"Whiplash Maculopathy Following Parachute Injury.","authors":"Parveen Sen, Harshit Vaidya","doi":"10.18502/jovr.v19i2.7442","DOIUrl":null,"url":null,"abstract":"<p><strong>Purpose: </strong>To report subtle yet important macular changes following a whiplash injury.</p><p><strong>Case report: </strong>We report an unusual case of a healthy young male presenting with a three-month history of a drop in vision in both eyes following an accident while crash-landing from a parachute. There was no direct ocular injury. Fundus examination revealed a bilateral well-defined area of retinal pigment epithelium (RPE) alterations over the macula with no other obvious retinal abnormality. Optical coherence tomography (OCT) examination revealed outer retinal layer defects with nearly intact inner retina.</p><p><strong>Conclusion: </strong>This case highlights the importance of fundus evaluation and reviewing patient's visual symptoms in otherwise inapparent ocular trauma.</p>","PeriodicalId":16586,"journal":{"name":"Journal of Ophthalmic & Vision Research","volume":"19 2","pages":"260-263"},"PeriodicalIF":1.5000,"publicationDate":"2024-06-21","publicationTypes":"Journal Article","fieldsOfStudy":null,"isOpenAccess":false,"openAccessPdf":"https://www.ncbi.nlm.nih.gov/pmc/articles/PMC11267134/pdf/","citationCount":"0","resultStr":null,"platform":"Semanticscholar","paperid":null,"PeriodicalName":"Journal of Ophthalmic & Vision Research","FirstCategoryId":"1085","ListUrlMain":"https://doi.org/10.18502/jovr.v19i2.7442","RegionNum":0,"RegionCategory":null,"ArticlePicture":[],"TitleCN":null,"AbstractTextCN":null,"PMCID":null,"EPubDate":"2024/4/1 0:00:00","PubModel":"eCollection","JCR":"Q3","JCRName":"OPHTHALMOLOGY","Score":null,"Total":0}
引用次数: 0

Abstract

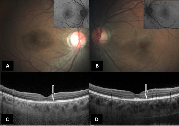
Purpose: To report subtle yet important macular changes following a whiplash injury.

Case report: We report an unusual case of a healthy young male presenting with a three-month history of a drop in vision in both eyes following an accident while crash-landing from a parachute. There was no direct ocular injury. Fundus examination revealed a bilateral well-defined area of retinal pigment epithelium (RPE) alterations over the macula with no other obvious retinal abnormality. Optical coherence tomography (OCT) examination revealed outer retinal layer defects with nearly intact inner retina.

Conclusion: This case highlights the importance of fundus evaluation and reviewing patient's visual symptoms in otherwise inapparent ocular trauma.

Abstract Image

Abstract Image

跳伞受伤后的鞭状大疱症。
目的:报告鞭打伤后黄斑部发生的微妙但重要的变化:我们报告了一例不寻常的病例:一名健康的年轻男性在跳伞迫降时发生意外,导致双眼视力下降,病史长达三个月。眼部没有直接损伤。眼底检查发现黄斑部有一个双侧清晰的视网膜色素上皮(RPE)改变区域,没有其他明显的视网膜异常。光学相干断层扫描(OCT)检查显示视网膜外层缺损,视网膜内层几乎完好:本病例强调了眼底评估和复查患者视力症状的重要性,否则眼外伤是不明显的。
本文章由计算机程序翻译,如有差异,请以英文原文为准。
求助全文
约1分钟内获得全文 求助全文
来源期刊
CiteScore
3.60
自引率
0.00%
发文量
63
审稿时长
30 weeks
×
引用
GB/T 7714-2015
复制
MLA
复制
APA
复制
导出至
BibTeX EndNote RefMan NoteFirst NoteExpress
×
提示
您的信息不完整,为了账户安全,请先补充。
现在去补充
×
提示
您因"违规操作"
具体请查看互助需知
我知道了
×
提示
确定
请完成安全验证×
copy
已复制链接
快去分享给好友吧!
我知道了
右上角分享
点击右上角分享
0
联系我们:info@booksci.cn Book学术提供免费学术资源搜索服务,方便国内外学者检索中英文文献。致力于提供最便捷和优质的服务体验。 Copyright © 2023 布克学术 All rights reserved.
京ICP备2023020795号-1
ghs 京公网安备 11010802042870号
Book学术文献互助
Book学术文献互助群
群 号:604180095
Book学术官方微信