Presentation of Adult-onset Asthma and Periocular Xanthogranuloma with Intermediate Uveitis and Hodgkin's Lymphoma: A Case Report.

IF 1.5 Q3 OPHTHALMOLOGY
Journal of Ophthalmic & Vision Research Pub Date : 2024-06-21 eCollection Date: 2024-04-01 DOI:10.18502/jovr.v19i2.9629
Sahba Fekri, Mohammad-Hasan Rikhtehgar, Abbas Bagheri, Amirreza Veisi, Amir A Azari
{"title":"Presentation of Adult-onset Asthma and Periocular Xanthogranuloma with Intermediate Uveitis and Hodgkin's Lymphoma: A Case Report.","authors":"Sahba Fekri, Mohammad-Hasan Rikhtehgar, Abbas Bagheri, Amirreza Veisi, Amir A Azari","doi":"10.18502/jovr.v19i2.9629","DOIUrl":null,"url":null,"abstract":"<p><strong>Purpose: </strong>To report a case of adult-onset asthma and periocular xanthogranuloma (AAPOX) in a patient with intermediate uveitis and a history of Hodgkin's lymphoma (HL).</p><p><strong>Case report: </strong>A 51-year-old man with a past medical history of HL presented with blurred vision, asthma, and bilateral yellowish eyelid lesions. The eyelid lesions and asthma appeared 10 years after being diagnosed with HL. Physical examination was significant for multiple subcutaneous and firm eyelid masses in addition to the presence of pre-auricular and submandibular lymphadenopathies. Ophthalmic examination revealed bilateral intermediate uveitis and mild macular edema. Further systemic evaluations, including laboratory testing and imaging, were normal. Excisional biopsy of the eyelid lesions was performed and the histopathologic examination was consistent with the diagnosis of AAPOX.</p><p><strong>Conclusion: </strong>The presence of AAPOX in a patient with intermediate uveitis and history of HL suggests that immunological dysfunction may play a role in the pathogenesis of adult orbital xanthogranulomatous disease.</p>","PeriodicalId":16586,"journal":{"name":"Journal of Ophthalmic & Vision Research","volume":"19 2","pages":"255-259"},"PeriodicalIF":1.5000,"publicationDate":"2024-06-21","publicationTypes":"Journal Article","fieldsOfStudy":null,"isOpenAccess":false,"openAccessPdf":"https://www.ncbi.nlm.nih.gov/pmc/articles/PMC11267139/pdf/","citationCount":"0","resultStr":null,"platform":"Semanticscholar","paperid":null,"PeriodicalName":"Journal of Ophthalmic & Vision Research","FirstCategoryId":"1085","ListUrlMain":"https://doi.org/10.18502/jovr.v19i2.9629","RegionNum":0,"RegionCategory":null,"ArticlePicture":[],"TitleCN":null,"AbstractTextCN":null,"PMCID":null,"EPubDate":"2024/4/1 0:00:00","PubModel":"eCollection","JCR":"Q3","JCRName":"OPHTHALMOLOGY","Score":null,"Total":0}
引用次数: 0

Abstract

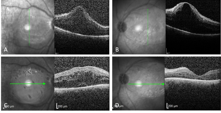
Purpose: To report a case of adult-onset asthma and periocular xanthogranuloma (AAPOX) in a patient with intermediate uveitis and a history of Hodgkin's lymphoma (HL).

Case report: A 51-year-old man with a past medical history of HL presented with blurred vision, asthma, and bilateral yellowish eyelid lesions. The eyelid lesions and asthma appeared 10 years after being diagnosed with HL. Physical examination was significant for multiple subcutaneous and firm eyelid masses in addition to the presence of pre-auricular and submandibular lymphadenopathies. Ophthalmic examination revealed bilateral intermediate uveitis and mild macular edema. Further systemic evaluations, including laboratory testing and imaging, were normal. Excisional biopsy of the eyelid lesions was performed and the histopathologic examination was consistent with the diagnosis of AAPOX.

Conclusion: The presence of AAPOX in a patient with intermediate uveitis and history of HL suggests that immunological dysfunction may play a role in the pathogenesis of adult orbital xanthogranulomatous disease.

Abstract Image

Abstract Image

Abstract Image

成人哮喘和眼周黄原细胞瘤并发中型葡萄膜炎和霍奇金淋巴瘤:病例报告。
目的:报告一例患有中度葡萄膜炎和霍奇金淋巴瘤(HL)病史的成人哮喘和眼周黄疽(AAPOX)患者的病例报告:病例报告:一名 51 岁男子,既往有 HL 病史,因视力模糊、哮喘和双侧眼睑淡黄色病变而就诊。眼睑病变和哮喘是在确诊为 HL 10 年后出现的。体格检查发现眼睑多处皮下肿块,质地坚硬,并伴有耳前和颌下淋巴结病变。眼科检查发现双侧中度葡萄膜炎和轻度黄斑水肿。进一步的全身检查,包括实验室检查和影像学检查均正常。对眼睑病变进行了切除活检,组织病理学检查结果与AAPOX的诊断一致:结论:一名患有中度葡萄膜炎和HL病史的患者出现AAPOX,表明免疫功能障碍可能在成人眼眶黄疽性疾病的发病机制中起作用。
本文章由计算机程序翻译,如有差异,请以英文原文为准。
求助全文
约1分钟内获得全文 求助全文
来源期刊
CiteScore
3.60
自引率
0.00%
发文量
63
审稿时长
30 weeks
×
引用
GB/T 7714-2015
复制
MLA
复制
APA
复制
导出至
BibTeX EndNote RefMan NoteFirst NoteExpress
×
提示
您的信息不完整,为了账户安全,请先补充。
现在去补充
×
提示
您因"违规操作"
具体请查看互助需知
我知道了
×
提示
确定
请完成安全验证×
copy
已复制链接
快去分享给好友吧!
我知道了
右上角分享
点击右上角分享
0
联系我们:info@booksci.cn Book学术提供免费学术资源搜索服务,方便国内外学者检索中英文文献。致力于提供最便捷和优质的服务体验。 Copyright © 2023 布克学术 All rights reserved.
京ICP备2023020795号-1
ghs 京公网安备 11010802042870号
Book学术文献互助
Book学术文献互助群
群 号:604180095
Book学术官方微信