Allergenic response induced by Pterobothrium crassicolle (Cestoda: Trypanorhyncha) extracts in murine model.

IF 1.2 4区 农林科学 Q2 Veterinary
Revista Brasileira De Parasitologia Veterinaria Pub Date : 2024-07-22 eCollection Date: 2024-01-01 DOI:10.1590/S1984-29612024039
Danuza Pinheiro Bastos Garcia de Mattos, Maurício Afonso Verícimo, Sérgio Carmona de São Clemente, Michelle Cristie Gonçalves da Fonseca, Marcelo Knoff
{"title":"Allergenic response induced by Pterobothrium crassicolle (Cestoda: Trypanorhyncha) extracts in murine model.","authors":"Danuza Pinheiro Bastos Garcia de Mattos, Maurício Afonso Verícimo, Sérgio Carmona de São Clemente, Michelle Cristie Gonçalves da Fonseca, Marcelo Knoff","doi":"10.1590/S1984-29612024039","DOIUrl":null,"url":null,"abstract":"<p><p>The aim of this study was to determine the allergenic activity of components present in crude extracts of Pterobothrium crassicolle plerocerci (CPE) and blastocysts (CBE) obtained from Micropogonias furnieri in a murine model. Two groups of seven animals each received 50 µg of CPE or CBE on days 1, 35 and 120. Serum samples were tested by ELISA and Immunoblotting. Specific IgG and IgE levels were detected by ELISA, showing specific humoral responses for the primary immunization for both immunoglobulins and continuously growing titers for IgE. Positive Passive Cutaneous Anaphylaxis tests in rats sensitized with anti-CBE sera and tested by CBE, showed biologically, the allergenic activity of the extracts. The CPE and CBE showed some different recognition regions but both experimental groups recognized all regions of the extracts when tested for cross reactions, showing that CPE and CBE could share antigenic recognition sites.</p>","PeriodicalId":48990,"journal":{"name":"Revista Brasileira De Parasitologia Veterinaria","volume":"33 3","pages":"e002624"},"PeriodicalIF":1.2000,"publicationDate":"2024-07-22","publicationTypes":"Journal Article","fieldsOfStudy":null,"isOpenAccess":false,"openAccessPdf":"https://www.ncbi.nlm.nih.gov/pmc/articles/PMC11340865/pdf/","citationCount":"0","resultStr":null,"platform":"Semanticscholar","paperid":null,"PeriodicalName":"Revista Brasileira De Parasitologia Veterinaria","FirstCategoryId":"97","ListUrlMain":"https://doi.org/10.1590/S1984-29612024039","RegionNum":4,"RegionCategory":"农林科学","ArticlePicture":[],"TitleCN":null,"AbstractTextCN":null,"PMCID":null,"EPubDate":"2024/1/1 0:00:00","PubModel":"eCollection","JCR":"Q2","JCRName":"Veterinary","Score":null,"Total":0}
引用次数: 0

Abstract

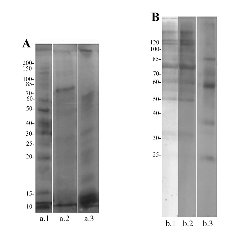
The aim of this study was to determine the allergenic activity of components present in crude extracts of Pterobothrium crassicolle plerocerci (CPE) and blastocysts (CBE) obtained from Micropogonias furnieri in a murine model. Two groups of seven animals each received 50 µg of CPE or CBE on days 1, 35 and 120. Serum samples were tested by ELISA and Immunoblotting. Specific IgG and IgE levels were detected by ELISA, showing specific humoral responses for the primary immunization for both immunoglobulins and continuously growing titers for IgE. Positive Passive Cutaneous Anaphylaxis tests in rats sensitized with anti-CBE sera and tested by CBE, showed biologically, the allergenic activity of the extracts. The CPE and CBE showed some different recognition regions but both experimental groups recognized all regions of the extracts when tested for cross reactions, showing that CPE and CBE could share antigenic recognition sites.

Abstract Image

Abstract Image

Abstract Image

Pterobothrium crassicolle(绦虫纲:Trypanorhyncha)提取物在小鼠模型中诱导的过敏反应。
本研究的目的是在小鼠模型中确定从 Micropogonias furnieri 提取的 Pterobothrium crassicolle plerocerci(CPE)和囊胚(CBE)粗提取物中存在的成分的致敏活性。两组共七只动物,每组分别在第 1、35 和 120 天接受 50 µg 的 CPE 或 CBE。血清样本通过 ELISA 和免疫印迹法进行检测。通过酶联免疫吸附试验检测特异性 IgG 和 IgE 水平,结果显示两种免疫球蛋白对初次免疫都有特异性体液反应,IgE 滴度持续增长。用抗丙种球蛋白血清致敏大鼠的被动皮肤过敏性休克试验和 CBE 试验均呈阳性,从生物学角度显示了提取物的致敏活性。CPE 和 CBE 显示了一些不同的识别区域,但在交叉反应测试中,两个实验组都能识别提取物的所有区域,这表明 CPE 和 CBE 可共享抗原识别位点。
本文章由计算机程序翻译,如有差异,请以英文原文为准。
求助全文
约1分钟内获得全文 求助全文
来源期刊
Revista Brasileira De Parasitologia Veterinaria
Revista Brasileira De Parasitologia Veterinaria PARASITOLOGY-VETERINARY SCIENCES
CiteScore
2.60
自引率
7.70%
发文量
90
审稿时长
>12 weeks
期刊介绍: La revista es un órgano de difusión del Colegio Brasileño de Parasitología Veterinaria, con una especificidad dentro de esa área, la difusión de los resultados de la investigación brasileña en las áreas de Helmintología, Protozoología, Entomología y agentes transmitidos por artrópodos, relacionados con la salud animal.
×
引用
GB/T 7714-2015
复制
MLA
复制
APA
复制
导出至
BibTeX EndNote RefMan NoteFirst NoteExpress
×
提示
您的信息不完整,为了账户安全,请先补充。
现在去补充
×
提示
您因"违规操作"
具体请查看互助需知
我知道了
×
提示
确定
请完成安全验证×
copy
已复制链接
快去分享给好友吧!
我知道了
右上角分享
点击右上角分享
0
联系我们:info@booksci.cn Book学术提供免费学术资源搜索服务,方便国内外学者检索中英文文献。致力于提供最便捷和优质的服务体验。 Copyright © 2023 布克学术 All rights reserved.
京ICP备2023020795号-1
ghs 京公网安备 11010802042870号
Book学术文献互助
Book学术文献互助群
群 号:604180095
Book学术官方微信