Primary Conjunctival Basal Cell Carcinoma Mimicking an Ocular Surface Squamous Neoplasia in a Young Adult Filipino: A Case Report and Literature Review.

IF 0.4 Q4 OPHTHALMOLOGY
Case Reports in Ophthalmological Medicine Pub Date : 2024-07-11 eCollection Date: 2024-01-01 DOI:10.1155/2024/3113342
Lorenz Jacob Mangahas, Rowena Wea Reyes, Richmond Siazon
{"title":"Primary Conjunctival Basal Cell Carcinoma Mimicking an Ocular Surface Squamous Neoplasia in a Young Adult Filipino: A Case Report and Literature Review.","authors":"Lorenz Jacob Mangahas, Rowena Wea Reyes, Richmond Siazon","doi":"10.1155/2024/3113342","DOIUrl":null,"url":null,"abstract":"<p><p><b>Objective:</b> To describe the morphological and histopathological features of primary conjunctival basal cell carcinoma (BCC) in a young adult Filipino. <b>Introduction:</b> Malignant conjunctival tumors arise from different cells, the most common of which are squamous cell carcinomas (SCCs), (including ocular surface squamous neoplasia [OSSN]), melanomas, and lymphomas. Primary conjunctival BCC is rare and can mimic the clinical features of OSSN. Only seven reported cases were published. Most cases are in the 6th-8th decades of life, and we report the first case in a young adult male. <b>Case Summary:</b> A 37/M, HIV-seronegative, presenting with a 3-year history of enlarging fleshy, pedunculated mass on the right eye measuring 8.5 mm × 8.0 mm at the superonasal limbus encroaching on the cornea, with prominent feeder vessels. Whitish-to-grayish plaques were observed on the surface of the lesions. Wide excision of the mass using the no-touch technique was performed under local anesthesia. Four cycles of mitomycin C (0.02%) were administered as chemoadjuvant therapy. Histopathology showed basaloid cells with peripheral palisading, most consistent with BCC. Immunohistochemistry was positive for Bcl-2 and CD10 markers and negative for epithelial membrane antigen (EMA) and carcinoembryonic antigen (CEA), confirming conjunctival BCC. Eight weeks postoperatively, fibrovascular tissue proliferation was noted at the excision site. Anterior segment-optical coherence tomography (AS-OCT) revealed a thickened hyperreflective band that was continuous with the epithelium, indicating possible recurrence. Resection with rush frozen section revealed fibrotic tissue that was negative for tumor cells. The bare sclera was covered with conjunctival autograft. There was no recurrence of the lesion after 16 months of follow-up. <b>Conclusion:</b> Primary BCC of the conjunctiva is rarely encountered, especially in young individuals, mimicking squamous neoplasia both in morphology and histopathology. Therefore, this should be considered in the differential diagnosis of OSSN. Immunostaining is crucial in differentiating between the two conditions and confirming the diagnosis. In most cases, wide surgical excision is sufficient. In addition, adjuvant therapies may be beneficial in preventing tumor recurrence.</p>","PeriodicalId":9603,"journal":{"name":"Case Reports in Ophthalmological Medicine","volume":"2024 ","pages":"3113342"},"PeriodicalIF":0.4000,"publicationDate":"2024-07-11","publicationTypes":"Journal Article","fieldsOfStudy":null,"isOpenAccess":false,"openAccessPdf":"https://www.ncbi.nlm.nih.gov/pmc/articles/PMC11257755/pdf/","citationCount":"0","resultStr":null,"platform":"Semanticscholar","paperid":null,"PeriodicalName":"Case Reports in Ophthalmological Medicine","FirstCategoryId":"1085","ListUrlMain":"https://doi.org/10.1155/2024/3113342","RegionNum":0,"RegionCategory":null,"ArticlePicture":[],"TitleCN":null,"AbstractTextCN":null,"PMCID":null,"EPubDate":"2024/1/1 0:00:00","PubModel":"eCollection","JCR":"Q4","JCRName":"OPHTHALMOLOGY","Score":null,"Total":0}
引用次数: 0

Abstract

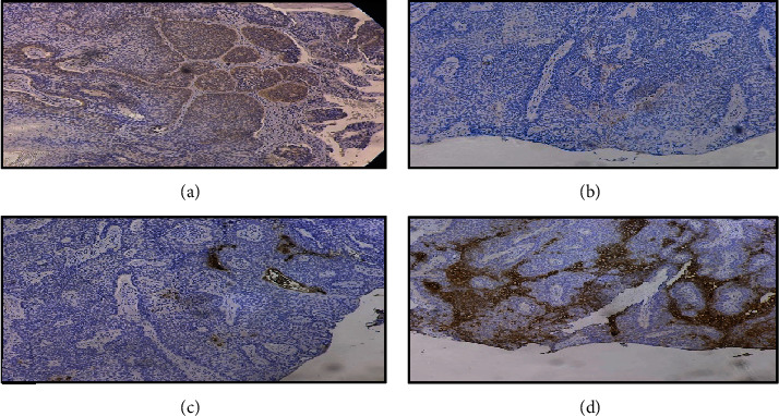
Objective: To describe the morphological and histopathological features of primary conjunctival basal cell carcinoma (BCC) in a young adult Filipino. Introduction: Malignant conjunctival tumors arise from different cells, the most common of which are squamous cell carcinomas (SCCs), (including ocular surface squamous neoplasia [OSSN]), melanomas, and lymphomas. Primary conjunctival BCC is rare and can mimic the clinical features of OSSN. Only seven reported cases were published. Most cases are in the 6th-8th decades of life, and we report the first case in a young adult male. Case Summary: A 37/M, HIV-seronegative, presenting with a 3-year history of enlarging fleshy, pedunculated mass on the right eye measuring 8.5 mm × 8.0 mm at the superonasal limbus encroaching on the cornea, with prominent feeder vessels. Whitish-to-grayish plaques were observed on the surface of the lesions. Wide excision of the mass using the no-touch technique was performed under local anesthesia. Four cycles of mitomycin C (0.02%) were administered as chemoadjuvant therapy. Histopathology showed basaloid cells with peripheral palisading, most consistent with BCC. Immunohistochemistry was positive for Bcl-2 and CD10 markers and negative for epithelial membrane antigen (EMA) and carcinoembryonic antigen (CEA), confirming conjunctival BCC. Eight weeks postoperatively, fibrovascular tissue proliferation was noted at the excision site. Anterior segment-optical coherence tomography (AS-OCT) revealed a thickened hyperreflective band that was continuous with the epithelium, indicating possible recurrence. Resection with rush frozen section revealed fibrotic tissue that was negative for tumor cells. The bare sclera was covered with conjunctival autograft. There was no recurrence of the lesion after 16 months of follow-up. Conclusion: Primary BCC of the conjunctiva is rarely encountered, especially in young individuals, mimicking squamous neoplasia both in morphology and histopathology. Therefore, this should be considered in the differential diagnosis of OSSN. Immunostaining is crucial in differentiating between the two conditions and confirming the diagnosis. In most cases, wide surgical excision is sufficient. In addition, adjuvant therapies may be beneficial in preventing tumor recurrence.

Abstract Image

Abstract Image

Abstract Image

菲律宾青年原发性结膜基底细胞癌模仿眼表鳞状上皮细胞瘤:病例报告和文献综述。
目的描述一名菲律宾青壮年原发性结膜基底细胞癌(BCC)的形态学和组织病理学特征。导言:恶性结膜肿瘤来源于不同的细胞,其中最常见的是鳞状细胞癌(SCC)(包括眼表面鳞状细胞瘤[OSSN])、黑色素瘤和淋巴瘤。原发性结膜 BCC 比较罕见,可能会模仿 OSSN 的临床特征。目前仅有七例报道。大多数病例发生在60-80岁之间,我们报告了第一例年轻男性病例。病例摘要:37/M,HIV 阴性,病史 3 年,右眼上眼睑缘处有 8.5 mm × 8.0 mm 的增大肉样有蒂肿块,侵及角膜,有突出的馈血管。病变表面可见白灰色斑块。在局部麻醉下,采用无接触技术对肿块进行了大范围切除。化疗期间,患者接受了四个周期的丝裂霉素 C(0.02%)化疗。组织病理学显示,基底细胞伴有外周钙化,与 BCC 最为一致。免疫组化结果显示,Bcl-2 和 CD10 标记阳性,上皮膜抗原(EMA)和癌胚抗原(CEA)阴性,证实为结膜 BCC。术后八周,切除部位出现纤维血管组织增生。前段光学相干断层扫描(AS-OCT)发现一条与上皮连续的增厚高反射带,表明可能复发。急冻切片检查发现纤维组织,肿瘤细胞阴性。裸露的巩膜被结膜自体移植覆盖。随访 16 个月后,病灶没有复发。结论结膜原发性 BCC 很少见,尤其是在年轻人中,其形态和组织病理学均与鳞状肿瘤相似。因此,在鉴别诊断 OSSN 时应考虑到这一点。免疫染色对区分这两种情况和确诊至关重要。在大多数情况下,广泛手术切除就足够了。此外,辅助治疗可能有助于预防肿瘤复发。
本文章由计算机程序翻译,如有差异,请以英文原文为准。
求助全文
约1分钟内获得全文 求助全文
来源期刊
自引率
0.00%
发文量
38
审稿时长
14 weeks
×
引用
GB/T 7714-2015
复制
MLA
复制
APA
复制
导出至
BibTeX EndNote RefMan NoteFirst NoteExpress
×
提示
您的信息不完整,为了账户安全,请先补充。
现在去补充
×
提示
您因"违规操作"
具体请查看互助需知
我知道了
×
提示
确定
请完成安全验证×
copy
已复制链接
快去分享给好友吧!
我知道了
右上角分享
点击右上角分享
0
联系我们:info@booksci.cn Book学术提供免费学术资源搜索服务,方便国内外学者检索中英文文献。致力于提供最便捷和优质的服务体验。 Copyright © 2023 布克学术 All rights reserved.
京ICP备2023020795号-1
ghs 京公网安备 11010802042870号
Book学术文献互助
Book学术文献互助群
群 号:604180095
Book学术官方微信