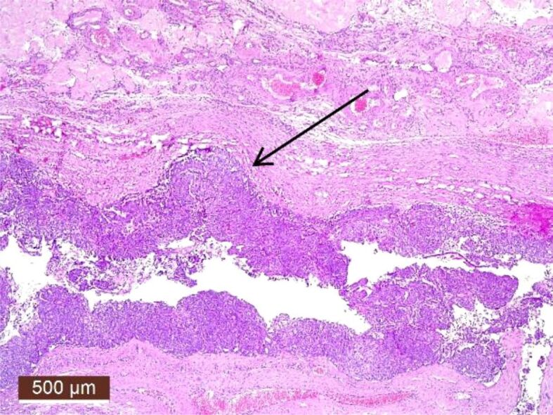
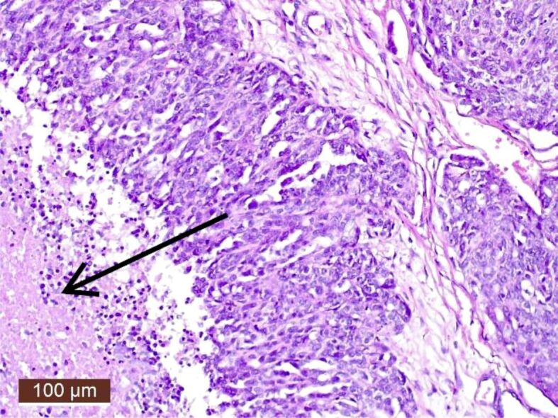
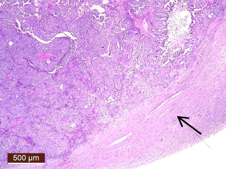
High-grade serous ovarian cancer (HGSOC) with fallopian tube involvement.

IF 1.5 4区 医学 Q4 DEVELOPMENTAL BIOLOGY
Adina Elena Tănase, Iustina Petra Solomon-Condriuc, Raluca Anamaria Mogoş, Gabriel Costăchescu, Cristina David, Cătălin Mihai Buzdugă, Dragoş Viorel Scripcariu, Claudia Florida Costea, Andrei Ionuţ Cucu, Gabriel Valentin Tănase, Daniela Maria Tănase, Dragoş Nemescu, Ana Maria Dumitrescu, Alexandru Cărăuleanu
{"title":"High-grade serous ovarian cancer (HGSOC) with fallopian tube involvement.","authors":"Adina Elena Tănase, Iustina Petra Solomon-Condriuc, Raluca Anamaria Mogoş, Gabriel Costăchescu, Cristina David, Cătălin Mihai Buzdugă, Dragoş Viorel Scripcariu, Claudia Florida Costea, Andrei Ionuţ Cucu, Gabriel Valentin Tănase, Daniela Maria Tănase, Dragoş Nemescu, Ana Maria Dumitrescu, Alexandru Cărăuleanu","doi":"10.47162/RJME.65.2.20","DOIUrl":null,"url":null,"abstract":"<p><strong>Introduction: </strong>Literature data present new studies about precancerous lesions of pelvic serous carcinoma that originate from the tubal secretory cells. It has long been thought that ovarian cancer cannot be prevented by prophylactic screening or surgery. In recent years, gynecologists have adapted to new principles and so, during routine hysterectomies in perimenopausal women for benign uterine pathologies, salpingo-oophorectomy is performed as a prophylactic approach.</p><p><strong>Aim: </strong>The purpose of our article was to draw attention to the association between abnormal fallopian tube pathology and the presence of serous ovarian neoplasia in perimenopausal women at risk.</p><p><strong>Case presentation: </strong>We report the case of a 45-year-old woman who had unspecific symptoms of abdominal pain and loss of appetite and weight. A pelvic magnetic resonance imaging was performed, and an ovarian mass was detected. Our case shows that the fallopian tube can be the primary point of origin for a pelvic disease, therefore prevention is possible with early computed tomography scan and annual ultrasound. The patient presented with a T1c staging post-surgery and her chances of survival could have decreased if she had postponed medical examination longer. We found a significant increase in the absolute number of tubal secretory cells in patients with ovarian neoplasia, which supports the assumption that serous tubal intraepithelial carcinoma lesions are found especially in the serous ovarian type.</p><p><strong>Conclusions: </strong>Our article is a strong suggestion that serous ovarian cancer originates from the fallopian tube and can potentially serve as a sensitive biomarker for early serous carcinogenesis within the fallopian tube.</p>","PeriodicalId":54447,"journal":{"name":"Romanian Journal of Morphology and Embryology","volume":"65 2","pages":"325-329"},"PeriodicalIF":1.5000,"publicationDate":"2024-04-01","publicationTypes":"Journal Article","fieldsOfStudy":null,"isOpenAccess":false,"openAccessPdf":"https://www.ncbi.nlm.nih.gov/pmc/articles/PMC11384032/pdf/","citationCount":"0","resultStr":null,"platform":"Semanticscholar","paperid":null,"PeriodicalName":"Romanian Journal of Morphology and Embryology","FirstCategoryId":"3","ListUrlMain":"https://doi.org/10.47162/RJME.65.2.20","RegionNum":4,"RegionCategory":"医学","ArticlePicture":[],"TitleCN":null,"AbstractTextCN":null,"PMCID":null,"EPubDate":"","PubModel":"","JCR":"Q4","JCRName":"DEVELOPMENTAL BIOLOGY","Score":null,"Total":0}
引用次数: 0

Abstract

Introduction: Literature data present new studies about precancerous lesions of pelvic serous carcinoma that originate from the tubal secretory cells. It has long been thought that ovarian cancer cannot be prevented by prophylactic screening or surgery. In recent years, gynecologists have adapted to new principles and so, during routine hysterectomies in perimenopausal women for benign uterine pathologies, salpingo-oophorectomy is performed as a prophylactic approach.

Aim: The purpose of our article was to draw attention to the association between abnormal fallopian tube pathology and the presence of serous ovarian neoplasia in perimenopausal women at risk.

Case presentation: We report the case of a 45-year-old woman who had unspecific symptoms of abdominal pain and loss of appetite and weight. A pelvic magnetic resonance imaging was performed, and an ovarian mass was detected. Our case shows that the fallopian tube can be the primary point of origin for a pelvic disease, therefore prevention is possible with early computed tomography scan and annual ultrasound. The patient presented with a T1c staging post-surgery and her chances of survival could have decreased if she had postponed medical examination longer. We found a significant increase in the absolute number of tubal secretory cells in patients with ovarian neoplasia, which supports the assumption that serous tubal intraepithelial carcinoma lesions are found especially in the serous ovarian type.

Conclusions: Our article is a strong suggestion that serous ovarian cancer originates from the fallopian tube and can potentially serve as a sensitive biomarker for early serous carcinogenesis within the fallopian tube.

Abstract Image

Abstract Image

Abstract Image

输卵管受累的高级别浆液性卵巢癌(HGSOC)。
导言:文献资料介绍了有关源自输卵管分泌细胞的盆腔浆液性癌癌前病变的新研究。长期以来,人们一直认为卵巢癌无法通过预防性筛查或手术来预防。近年来,妇科医生已经适应了新的原则,因此,在对围绝经期妇女因子宫良性病变进行常规子宫切除术时,会将输卵管切除术作为一种预防性方法。目的:我们撰写这篇文章的目的是提请人们注意输卵管病变异常与围绝经期高危妇女出现浆液性卵巢肿瘤之间的关联:我们报告了一名45岁女性的病例,她有腹痛、食欲不振和体重减轻等非特异性症状。我们报告了一例 45 岁妇女的病例,她出现了腹痛、食欲不振和体重减轻等非特异性症状,并接受了盆腔磁共振成像检查,结果发现了卵巢肿块。我们的病例表明,输卵管可能是盆腔疾病的主要起源点,因此可以通过早期计算机断层扫描和每年一次的超声波检查进行预防。患者手术后分期为 T1c,如果她推迟更长时间进行体检,她的生存机会可能会减少。我们发现卵巢肿瘤患者输卵管分泌细胞的绝对数量明显增加,这支持了浆液性输卵管上皮内癌病变尤其见于浆液性卵巢类型的假设:我们的文章有力地证明了浆液性卵巢癌起源于输卵管,并有可能作为输卵管内早期浆液性癌变的敏感生物标志物。
本文章由计算机程序翻译,如有差异,请以英文原文为准。
求助全文
约1分钟内获得全文 求助全文
来源期刊
CiteScore
1.70
自引率
20.00%
发文量
221
审稿时长
3-8 weeks
期刊介绍: Romanian Journal of Morphology and Embryology (Rom J Morphol Embryol) publishes studies on all aspects of normal morphology and human comparative and experimental pathology. The Journal accepts only researches that utilize modern investigation methods (studies of anatomy, pathology, cytopathology, immunohistochemistry, histochemistry, immunology, morphometry, molecular and cellular biology, electronic microscopy, etc.).
×
引用
GB/T 7714-2015
复制
MLA
复制
APA
复制
导出至
BibTeX EndNote RefMan NoteFirst NoteExpress
×
提示
您的信息不完整,为了账户安全,请先补充。
现在去补充
×
提示
您因"违规操作"
具体请查看互助需知
我知道了
×
提示
确定
请完成安全验证×
copy
已复制链接
快去分享给好友吧!
我知道了
右上角分享
点击右上角分享
0
联系我们:info@booksci.cn Book学术提供免费学术资源搜索服务,方便国内外学者检索中英文文献。致力于提供最便捷和优质的服务体验。 Copyright © 2023 布克学术 All rights reserved.
京ICP备2023020795号-1
ghs 京公网安备 11010802042870号
Book学术文献互助
Book学术文献互助群
群 号:604180095
Book学术官方微信