A rare case of Sporadic Creutzfeldt-Jakob disease at a remote mountain hospital in the Indian Himalayan Region.

Q4 Medicine
Autopsy and Case Reports Pub Date : 2024-06-21 eCollection Date: 2024-01-01 DOI:10.4322/acr.2024.502
Nitu Sharma, Jitender Kumar Sharma, Ashima Chander, Khushdeep Shergill, Meghna Yadav
{"title":"A rare case of Sporadic Creutzfeldt-Jakob disease at a remote mountain hospital in the Indian Himalayan Region.","authors":"Nitu Sharma, Jitender Kumar Sharma, Ashima Chander, Khushdeep Shergill, Meghna Yadav","doi":"10.4322/acr.2024.502","DOIUrl":null,"url":null,"abstract":"<p><p>Sporadic Creutzfeldt-Jakob disease (CJD) is a rare neurodegenerative spongiform encephalopathy that causes neuronal derangement secondary to prion protein. Its initial diagnosis is often complex and challenging due to non-specific clinical presentation, lack of awareness, and low clinical suspicion. This disease is invariably fatal, and most patients die within 12 months of presentation. Definite diagnosis of prion disease requires neuropathological analysis, usually done at autopsy. Here, we present the autopsy findings of a 57-year-old male patient, illustrating the complexity of diagnosing this disease early in the clinical course and the need for a broad differential diagnosis at the onset.</p>","PeriodicalId":53117,"journal":{"name":"Autopsy and Case Reports","volume":"14 ","pages":"e2024502"},"PeriodicalIF":0.0000,"publicationDate":"2024-06-21","publicationTypes":"Journal Article","fieldsOfStudy":null,"isOpenAccess":false,"openAccessPdf":"https://www.ncbi.nlm.nih.gov/pmc/articles/PMC11253907/pdf/","citationCount":"0","resultStr":null,"platform":"Semanticscholar","paperid":null,"PeriodicalName":"Autopsy and Case Reports","FirstCategoryId":"1085","ListUrlMain":"https://doi.org/10.4322/acr.2024.502","RegionNum":0,"RegionCategory":null,"ArticlePicture":[],"TitleCN":null,"AbstractTextCN":null,"PMCID":null,"EPubDate":"2024/1/1 0:00:00","PubModel":"eCollection","JCR":"Q4","JCRName":"Medicine","Score":null,"Total":0}
引用次数: 0

Abstract

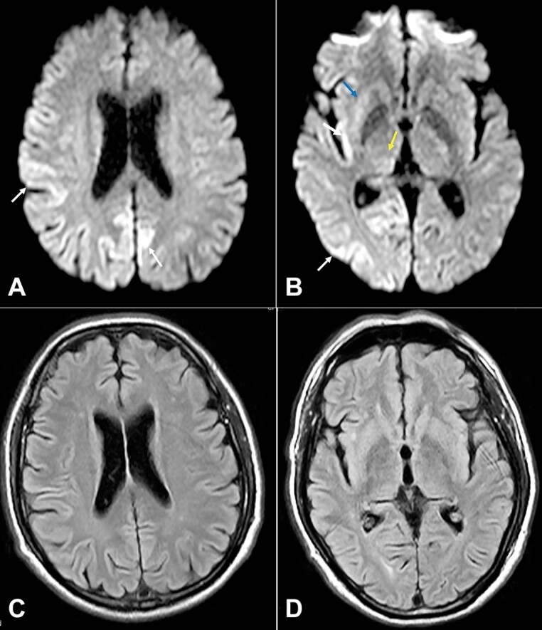
Sporadic Creutzfeldt-Jakob disease (CJD) is a rare neurodegenerative spongiform encephalopathy that causes neuronal derangement secondary to prion protein. Its initial diagnosis is often complex and challenging due to non-specific clinical presentation, lack of awareness, and low clinical suspicion. This disease is invariably fatal, and most patients die within 12 months of presentation. Definite diagnosis of prion disease requires neuropathological analysis, usually done at autopsy. Here, we present the autopsy findings of a 57-year-old male patient, illustrating the complexity of diagnosing this disease early in the clinical course and the need for a broad differential diagnosis at the onset.

Abstract Image

Abstract Image

Abstract Image

印度喜马拉雅地区一家偏远山区医院的一例罕见零星克雅二氏症病例。
散发性克雅氏病(CJD)是一种罕见的神经退行性海绵状脑病,由朊病毒蛋白继发引起神经元紊乱。由于临床表现无特异性、缺乏认知和临床怀疑度低,该病的初步诊断往往十分复杂且具有挑战性。这种疾病总是致命的,大多数患者在发病后12个月内死亡。朊病毒病的明确诊断需要神经病理学分析,通常在尸检时进行。在此,我们介绍一名 57 岁男性患者的尸检结果,说明在临床病程早期诊断这种疾病的复杂性,以及在发病时进行广泛鉴别诊断的必要性。
本文章由计算机程序翻译,如有差异,请以英文原文为准。
求助全文
约1分钟内获得全文 求助全文
来源期刊
Autopsy and Case Reports
Autopsy and Case Reports Medicine-Internal Medicine
CiteScore
1.20
自引率
0.00%
发文量
60
审稿时长
9 weeks
×
引用
GB/T 7714-2015
复制
MLA
复制
APA
复制
导出至
BibTeX EndNote RefMan NoteFirst NoteExpress
×
提示
您的信息不完整,为了账户安全,请先补充。
现在去补充
×
提示
您因"违规操作"
具体请查看互助需知
我知道了
×
提示
确定
请完成安全验证×
copy
已复制链接
快去分享给好友吧!
我知道了
右上角分享
点击右上角分享
0
联系我们:info@booksci.cn Book学术提供免费学术资源搜索服务,方便国内外学者检索中英文文献。致力于提供最便捷和优质的服务体验。 Copyright © 2023 布克学术 All rights reserved.
京ICP备2023020795号-1
ghs 京公网安备 11010802042870号
Book学术文献互助
Book学术文献互助群
群 号:604180095
Book学术官方微信