Risk Factors for the Recurrence of Chronic Subdural Hematoma.

Q3 Medicine
Korean Journal of Neurotrauma Pub Date : 2024-06-18 eCollection Date: 2024-06-01 DOI:10.13004/kjnt.2024.20.e18
Seung Woo Lee, Eui Gyu Sin
{"title":"Risk Factors for the Recurrence of Chronic Subdural Hematoma.","authors":"Seung Woo Lee, Eui Gyu Sin","doi":"10.13004/kjnt.2024.20.e18","DOIUrl":null,"url":null,"abstract":"<p><strong>Objective: </strong>Chronic subdural hematoma (CSDH) is commonly encountered in neurosurgery, and often occurs in elderly patients following a head injury. Despite favorable postoperative prognosis, recurrence remains common. Herein, we retrospectively analyzed the clinical and radiological data of patients at our institute to identify the risk factors for CSDH recurrence.</p><p><strong>Methods: </strong>We investigated 370 patients who underwent surgery for CSDH at our institute. The following data were analyzed: sex, age, antiplatelet/anticoagulant use, preexisting diseases, radiological parameters, and surgical techniques. A univariate analysis was subsequently performed to examine the association between these variables and CSDH recurrence. Variables with a <i>p</i>-value of <0.05 in univariate analysis were further subjected to a multivariate logistic regression model to identify independent risk factors of CSDH.</p><p><strong>Results: </strong>Of the 370 patients, 345 (93.2%) had no recurrence and 25 (6.8%) had recurrence. Univariate and multivariate analyses revealed that male sex, advanced age, bilateral hematoma, moderate or severe brain atrophy, separation type, gradation type, and burr hole trephination were independent risk factors for CSDH recurrence.</p><p><strong>Conclusion: </strong>Sex, age, bilateral hematoma, brain atrophy, hematoma density and architecture, and surgical techniques are all associated with CSDH recurrence.</p>","PeriodicalId":36879,"journal":{"name":"Korean Journal of Neurotrauma","volume":"20 2","pages":"80-89"},"PeriodicalIF":0.0000,"publicationDate":"2024-06-18","publicationTypes":"Journal Article","fieldsOfStudy":null,"isOpenAccess":false,"openAccessPdf":"https://www.ncbi.nlm.nih.gov/pmc/articles/PMC11249584/pdf/","citationCount":"0","resultStr":null,"platform":"Semanticscholar","paperid":null,"PeriodicalName":"Korean Journal of Neurotrauma","FirstCategoryId":"1085","ListUrlMain":"https://doi.org/10.13004/kjnt.2024.20.e18","RegionNum":0,"RegionCategory":null,"ArticlePicture":[],"TitleCN":null,"AbstractTextCN":null,"PMCID":null,"EPubDate":"2024/6/1 0:00:00","PubModel":"eCollection","JCR":"Q3","JCRName":"Medicine","Score":null,"Total":0}
引用次数: 0

Abstract

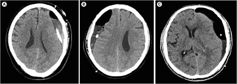
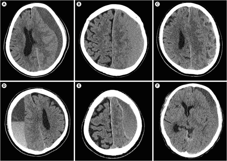
Objective: Chronic subdural hematoma (CSDH) is commonly encountered in neurosurgery, and often occurs in elderly patients following a head injury. Despite favorable postoperative prognosis, recurrence remains common. Herein, we retrospectively analyzed the clinical and radiological data of patients at our institute to identify the risk factors for CSDH recurrence.

Methods: We investigated 370 patients who underwent surgery for CSDH at our institute. The following data were analyzed: sex, age, antiplatelet/anticoagulant use, preexisting diseases, radiological parameters, and surgical techniques. A univariate analysis was subsequently performed to examine the association between these variables and CSDH recurrence. Variables with a p-value of <0.05 in univariate analysis were further subjected to a multivariate logistic regression model to identify independent risk factors of CSDH.

Results: Of the 370 patients, 345 (93.2%) had no recurrence and 25 (6.8%) had recurrence. Univariate and multivariate analyses revealed that male sex, advanced age, bilateral hematoma, moderate or severe brain atrophy, separation type, gradation type, and burr hole trephination were independent risk factors for CSDH recurrence.

Conclusion: Sex, age, bilateral hematoma, brain atrophy, hematoma density and architecture, and surgical techniques are all associated with CSDH recurrence.

Abstract Image

Abstract Image

Abstract Image

慢性硬膜下血肿复发的风险因素。
目的:慢性硬膜下血肿(CSDH)是神经外科的常见病,通常发生在头部受伤后的老年患者身上。尽管术后预后良好,但复发仍很常见。在此,我们回顾性分析了我院患者的临床和放射学数据,以确定 CSDH 复发的风险因素:我们调查了在我院接受手术治疗的 370 例 CSDH 患者。分析了以下数据:性别、年龄、抗血小板/抗凝剂使用情况、既往疾病、放射学参数和手术技术。随后进行了单变量分析,以研究这些变量与 CSDH 复发之间的关联。结果:在 370 名患者中,345 人(93.2%)未复发,25 人(6.8%)复发。单变量和多变量分析显示,男性、高龄、双侧血肿、中度或重度脑萎缩、分离型、分级型和毛刺孔穿刺术是 CSDH 复发的独立风险因素:结论:性别、年龄、双侧血肿、脑萎缩、血肿密度和结构以及手术技术都与 CSDH 复发有关。
本文章由计算机程序翻译,如有差异,请以英文原文为准。
求助全文
约1分钟内获得全文 求助全文
来源期刊
CiteScore
1.10
自引率
0.00%
发文量
41
×
引用
GB/T 7714-2015
复制
MLA
复制
APA
复制
导出至
BibTeX EndNote RefMan NoteFirst NoteExpress
×
提示
您的信息不完整,为了账户安全,请先补充。
现在去补充
×
提示
您因"违规操作"
具体请查看互助需知
我知道了
×
提示
确定
请完成安全验证×
copy
已复制链接
快去分享给好友吧!
我知道了
右上角分享
点击右上角分享
0
联系我们:info@booksci.cn Book学术提供免费学术资源搜索服务,方便国内外学者检索中英文文献。致力于提供最便捷和优质的服务体验。 Copyright © 2023 布克学术 All rights reserved.
京ICP备2023020795号-1
ghs 京公网安备 11010802042870号
Book学术文献互助
Book学术文献互助群
群 号:604180095
Book学术官方微信