A Rare Case of Delayed Ventriculoperitoneal Shunt Catheter Migration Into the Heart: A Case Report.

Q3 Medicine
Korean Journal of Neurotrauma Pub Date : 2024-06-24 eCollection Date: 2024-06-01 DOI:10.13004/kjnt.2024.20.e23
Min Geun Gil, Won Hee Lee, Jin Lee, Sung Tae Kim, Geun Soo Lee, Sung Hwa Paeng, Se Young Pyo
{"title":"A Rare Case of Delayed Ventriculoperitoneal Shunt Catheter Migration Into the Heart: A Case Report.","authors":"Min Geun Gil, Won Hee Lee, Jin Lee, Sung Tae Kim, Geun Soo Lee, Sung Hwa Paeng, Se Young Pyo","doi":"10.13004/kjnt.2024.20.e23","DOIUrl":null,"url":null,"abstract":"<p><p>The treatment of hydrocephalus with a ventriculoperitoneal (VP) shunt can lead to complications such as shunt migration. A 67-year-old male, who had previously undergone VP shunt surgery for normal-pressure hydrocephalus, presented approximately five years later with symptoms of general weakness and abdominal pain. Imaging revealed shunt malpositioning, with the catheter passing through an abnormal route to the heart. The catheter was successfully removed under fluoroscopic guidance while monitoring patient's electrocardiogram to prevent potential secondary complications. Although rare, cardiac migration of VP shunts can lead to life-threatening secondary complications. Our case highlights the possibility of delayed upward migration of the shunt catheter in patients with VP shunts, emphasizing the need for various strategies to address and manage this issue.</p>","PeriodicalId":36879,"journal":{"name":"Korean Journal of Neurotrauma","volume":"20 2","pages":"125-130"},"PeriodicalIF":0.0000,"publicationDate":"2024-06-24","publicationTypes":"Journal Article","fieldsOfStudy":null,"isOpenAccess":false,"openAccessPdf":"https://www.ncbi.nlm.nih.gov/pmc/articles/PMC11249583/pdf/","citationCount":"0","resultStr":null,"platform":"Semanticscholar","paperid":null,"PeriodicalName":"Korean Journal of Neurotrauma","FirstCategoryId":"1085","ListUrlMain":"https://doi.org/10.13004/kjnt.2024.20.e23","RegionNum":0,"RegionCategory":null,"ArticlePicture":[],"TitleCN":null,"AbstractTextCN":null,"PMCID":null,"EPubDate":"2024/6/1 0:00:00","PubModel":"eCollection","JCR":"Q3","JCRName":"Medicine","Score":null,"Total":0}
引用次数: 0

Abstract

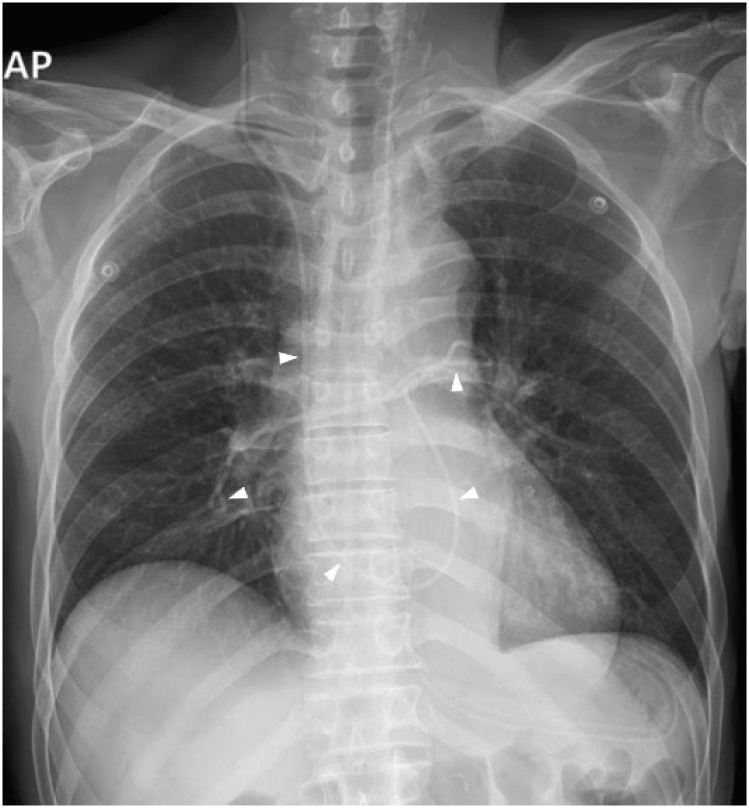
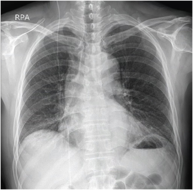
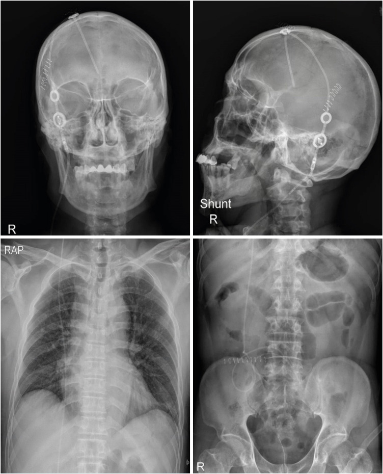
The treatment of hydrocephalus with a ventriculoperitoneal (VP) shunt can lead to complications such as shunt migration. A 67-year-old male, who had previously undergone VP shunt surgery for normal-pressure hydrocephalus, presented approximately five years later with symptoms of general weakness and abdominal pain. Imaging revealed shunt malpositioning, with the catheter passing through an abnormal route to the heart. The catheter was successfully removed under fluoroscopic guidance while monitoring patient's electrocardiogram to prevent potential secondary complications. Although rare, cardiac migration of VP shunts can lead to life-threatening secondary complications. Our case highlights the possibility of delayed upward migration of the shunt catheter in patients with VP shunts, emphasizing the need for various strategies to address and manage this issue.

Abstract Image

Abstract Image

Abstract Image

迟发性脑室腹腔分流导管移入心脏的罕见病例:病例报告。
使用脑室腹腔分流术(VP)治疗脑积水可能会导致分流管移位等并发症。一名 67 岁的男性曾因正常压力脑积水接受过 VP 分流手术,约五年后出现全身乏力和腹痛症状。影像学检查发现分流管位置不正,导管通过异常路径进入心脏。为防止潜在的继发性并发症,在透视引导下成功取出了导管,同时对患者的心电图进行了监测。VP 分流的心脏移位虽然罕见,但可导致危及生命的继发性并发症。我们的病例凸显了VP分流患者分流导管延迟上移的可能性,强调了采取各种策略解决和处理这一问题的必要性。
本文章由计算机程序翻译,如有差异,请以英文原文为准。
求助全文
约1分钟内获得全文 求助全文
来源期刊
CiteScore
1.10
自引率
0.00%
发文量
41
×
引用
GB/T 7714-2015
复制
MLA
复制
APA
复制
导出至
BibTeX EndNote RefMan NoteFirst NoteExpress
×
提示
您的信息不完整,为了账户安全,请先补充。
现在去补充
×
提示
您因"违规操作"
具体请查看互助需知
我知道了
×
提示
确定
请完成安全验证×
copy
已复制链接
快去分享给好友吧!
我知道了
右上角分享
点击右上角分享
0
联系我们:info@booksci.cn Book学术提供免费学术资源搜索服务,方便国内外学者检索中英文文献。致力于提供最便捷和优质的服务体验。 Copyright © 2023 布克学术 All rights reserved.
京ICP备2023020795号-1
ghs 京公网安备 11010802042870号
Book学术文献互助
Book学术文献互助群
群 号:604180095
Book学术官方微信