An Unusual Presentation of Myeloperoxidase-Associated Glomerulonephritis and Suspected IgA-Mediated Anti-Glomerular Basement Membrane Disease: A Case Report.

IF 0.9 Q4 UROLOGY & NEPHROLOGY
Case Reports in Nephrology and Dialysis Pub Date : 2024-07-11 eCollection Date: 2024-01-01 DOI:10.1159/000538973
Ciaran Twomey Brenner, Sujit Saha, Kate Bramham, Katie Vinen, Catherine Horsfield, Eirini Lioudaki
{"title":"An Unusual Presentation of Myeloperoxidase-Associated Glomerulonephritis and Suspected IgA-Mediated Anti-Glomerular Basement Membrane Disease: A Case Report.","authors":"Ciaran Twomey Brenner, Sujit Saha, Kate Bramham, Katie Vinen, Catherine Horsfield, Eirini Lioudaki","doi":"10.1159/000538973","DOIUrl":null,"url":null,"abstract":"<p><strong>Introduction: </strong>Anti-glomerular basement membrane (GBM) disease is a rare cause of glomerulonephritis usually mediated by IgG antibodies and is associated with ANCA-associated glomerulonephritis in up to 50% of cases. IgA-mediated anti-GBM disease is extremely rare and presents diagnostic difficulties as circulating IgA antibodies will not be detected by standard serological tests for anti-GBM disease.</p><p><strong>Case presentation: </strong>We present the case of a 67-year-old man with rapidly progressive glomerulonephritis requiring haemodialysis at presentation. Serological testing was positive for anti-myeloperoxidase and negative for IgG anti-GBM antibodies. Kidney biopsy revealed necrotizing crescentic glomerulonephritis with linear staining of IgA along the GBM. He was treated with a combination of immunosuppression and plasma exchange and was able to become dialysis-independent.</p><p><strong>Conclusion: </strong>To our knowledge, this is the first documented \"double-positive\" IgA anti-GBM disease and ANCA-associated glomerulonephritis.</p>","PeriodicalId":9599,"journal":{"name":"Case Reports in Nephrology and Dialysis","volume":"14 1","pages":"110-115"},"PeriodicalIF":0.9000,"publicationDate":"2024-07-11","publicationTypes":"Journal Article","fieldsOfStudy":null,"isOpenAccess":false,"openAccessPdf":"https://www.ncbi.nlm.nih.gov/pmc/articles/PMC11249791/pdf/","citationCount":"0","resultStr":null,"platform":"Semanticscholar","paperid":null,"PeriodicalName":"Case Reports in Nephrology and Dialysis","FirstCategoryId":"1085","ListUrlMain":"https://doi.org/10.1159/000538973","RegionNum":0,"RegionCategory":null,"ArticlePicture":[],"TitleCN":null,"AbstractTextCN":null,"PMCID":null,"EPubDate":"2024/1/1 0:00:00","PubModel":"eCollection","JCR":"Q4","JCRName":"UROLOGY & NEPHROLOGY","Score":null,"Total":0}
引用次数: 0

Abstract

Introduction: Anti-glomerular basement membrane (GBM) disease is a rare cause of glomerulonephritis usually mediated by IgG antibodies and is associated with ANCA-associated glomerulonephritis in up to 50% of cases. IgA-mediated anti-GBM disease is extremely rare and presents diagnostic difficulties as circulating IgA antibodies will not be detected by standard serological tests for anti-GBM disease.

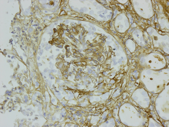
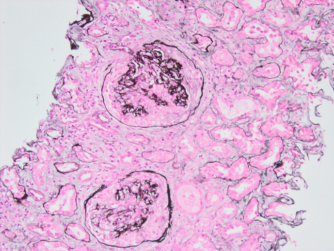
Case presentation: We present the case of a 67-year-old man with rapidly progressive glomerulonephritis requiring haemodialysis at presentation. Serological testing was positive for anti-myeloperoxidase and negative for IgG anti-GBM antibodies. Kidney biopsy revealed necrotizing crescentic glomerulonephritis with linear staining of IgA along the GBM. He was treated with a combination of immunosuppression and plasma exchange and was able to become dialysis-independent.

Conclusion: To our knowledge, this is the first documented "double-positive" IgA anti-GBM disease and ANCA-associated glomerulonephritis.

Abstract Image

Abstract Image

髓过氧化物酶相关性肾小球肾炎和疑似 IgA 介导的抗肾小球基底膜病的异常表现:病例报告。
导言:抗肾小球基底膜(GBM)病是一种罕见的肾小球肾炎病因,通常由IgG抗体介导,高达50%的病例与ANCA相关性肾小球肾炎有关。IgA 介导的抗-GBM 疾病极为罕见,并且给诊断带来困难,因为抗-GBM 疾病的标准血清学检测无法检测到循环中的 IgA 抗体:本病例是一名 67 岁男子的病例,他患有快速进展性肾小球肾炎,发病时需要进行血液透析。血清学检测结果为抗肾小球过氧化物酶阳性,IgG 抗 GBM 抗体阴性。肾活检发现坏死性新月体肾小球肾炎,IgA沿GBM呈线状染色。他接受了免疫抑制和血浆置换的综合治疗,并得以脱离透析:据我们所知,这是首例 IgA 抗 GBM 病和 ANCA 相关性肾小球肾炎 "双阳性 "病例。
本文章由计算机程序翻译,如有差异,请以英文原文为准。
求助全文
约1分钟内获得全文 求助全文
来源期刊
CiteScore
1.20
自引率
0.00%
发文量
36
审稿时长
10 weeks
期刊介绍: This peer-reviewed online-only journal publishes original case reports covering the entire spectrum of nephrology and dialysis, including genetic susceptibility, clinical presentation, diagnosis, treatment or prevention, toxicities of therapy, critical care, supportive care, quality-of-life and survival issues. The journal will also accept case reports dealing with the use of novel technologies, both in the arena of diagnosis and treatment. Supplementary material is welcomed.
×
引用
GB/T 7714-2015
复制
MLA
复制
APA
复制
导出至
BibTeX EndNote RefMan NoteFirst NoteExpress
×
提示
您的信息不完整,为了账户安全,请先补充。
现在去补充
×
提示
您因"违规操作"
具体请查看互助需知
我知道了
×
提示
确定
请完成安全验证×
copy
已复制链接
快去分享给好友吧!
我知道了
右上角分享
点击右上角分享
0
联系我们:info@booksci.cn Book学术提供免费学术资源搜索服务,方便国内外学者检索中英文文献。致力于提供最便捷和优质的服务体验。 Copyright © 2023 布克学术 All rights reserved.
京ICP备2023020795号-1
ghs 京公网安备 11010802042870号
Book学术文献互助
Book学术文献互助群
群 号:604180095
Book学术官方微信