Complex aortic plaques: hidden danger in aortic stenosis. Role of transesophageal echocardiography.

Lindsay Benites-Yshpilco, Kelly Cupe-Chacalcaje, Angela Cachicatari-Beltrán, Josh Moscoso, Kevin Velarde-Acosta, Alessio Demarini-Orellana, Gerald Lévano-Pachas, Roberto Baltodano-Arellano
{"title":"Complex aortic plaques: hidden danger in aortic stenosis. Role of transesophageal echocardiography.","authors":"Lindsay Benites-Yshpilco, Kelly Cupe-Chacalcaje, Angela Cachicatari-Beltrán, Josh Moscoso, Kevin Velarde-Acosta, Alessio Demarini-Orellana, Gerald Lévano-Pachas, Roberto Baltodano-Arellano","doi":"10.47487/apcyccv.v5i2.377","DOIUrl":null,"url":null,"abstract":"<p><p>Aortic stenosis is associated with aortic plaques in up to 85% of cases because they share risk factors and pathogenic pathways. Intrinsically, complex aortic plaques carry a high risk of stroke, which has also been demonstrated in the context of aortic stenosis, especially in patients who underwent percutaneous or surgical replacement. Transesophageal echocardiography (TEE) is the imaging test of choice to detect plaques in the thoracic aorta and classify them as complex plaques. Furthermore, the 3D modality allows us to better specify its dimensions and anatomical characteristics, such as added thrombi or the presence of ulcers inside. This review aims to evaluate the use of TEE to detect complex aortic plaques in patients with an indication for percutaneous or surgical aortic valve replacement. To highlight the association between aortic stenosis and complex aortic plaques, we attached to the review some TEE studies from our experience.</p>","PeriodicalId":72295,"journal":{"name":"Archivos Peruanos de cardiologia y cirugia cardiovascular","volume":"5 2","pages":"e377"},"PeriodicalIF":0.0000,"publicationDate":"2024-06-24","publicationTypes":"Journal Article","fieldsOfStudy":null,"isOpenAccess":false,"openAccessPdf":"https://www.ncbi.nlm.nih.gov/pmc/articles/PMC11247973/pdf/","citationCount":"0","resultStr":null,"platform":"Semanticscholar","paperid":null,"PeriodicalName":"Archivos Peruanos de cardiologia y cirugia cardiovascular","FirstCategoryId":"1085","ListUrlMain":"https://doi.org/10.47487/apcyccv.v5i2.377","RegionNum":0,"RegionCategory":null,"ArticlePicture":[],"TitleCN":null,"AbstractTextCN":null,"PMCID":null,"EPubDate":"2024/4/1 0:00:00","PubModel":"eCollection","JCR":"","JCRName":"","Score":null,"Total":0}
引用次数: 0

Abstract

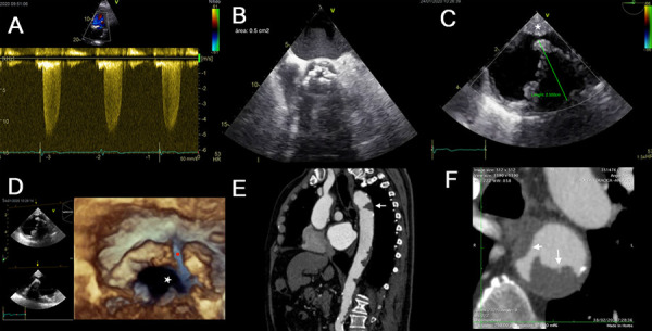
Aortic stenosis is associated with aortic plaques in up to 85% of cases because they share risk factors and pathogenic pathways. Intrinsically, complex aortic plaques carry a high risk of stroke, which has also been demonstrated in the context of aortic stenosis, especially in patients who underwent percutaneous or surgical replacement. Transesophageal echocardiography (TEE) is the imaging test of choice to detect plaques in the thoracic aorta and classify them as complex plaques. Furthermore, the 3D modality allows us to better specify its dimensions and anatomical characteristics, such as added thrombi or the presence of ulcers inside. This review aims to evaluate the use of TEE to detect complex aortic plaques in patients with an indication for percutaneous or surgical aortic valve replacement. To highlight the association between aortic stenosis and complex aortic plaques, we attached to the review some TEE studies from our experience.

Abstract Image

Abstract Image

Abstract Image

复杂主动脉斑块:主动脉狭窄的隐患。经食道超声心动图的作用。
高达 85% 的主动脉狭窄病例与主动脉斑块有关,因为它们具有相同的风险因素和致病途径。从本质上讲,复杂的主动脉斑块具有很高的中风风险,这一点在主动脉狭窄中也得到了证实,尤其是在接受经皮或手术置换的患者中。经食道超声心动图(TEE)是检测胸主动脉斑块并将其归类为复杂斑块的首选成像检测方法。此外,三维模式还能让我们更好地确定斑块的尺寸和解剖特征,如内部是否存在血栓或溃疡。本综述旨在评估使用 TEE 检测有经皮或手术主动脉瓣置换指征患者的复杂主动脉斑块的情况。为了强调主动脉瓣狭窄与复杂主动脉斑块之间的关联,我们在综述中附上了我们的一些 TEE 研究。
本文章由计算机程序翻译,如有差异,请以英文原文为准。
求助全文
约1分钟内获得全文 求助全文
来源期刊
CiteScore
0.40
自引率
0.00%
发文量
0
审稿时长
4 weeks
×
引用
GB/T 7714-2015
复制
MLA
复制
APA
复制
导出至
BibTeX EndNote RefMan NoteFirst NoteExpress
×
提示
您的信息不完整,为了账户安全,请先补充。
现在去补充
×
提示
您因"违规操作"
具体请查看互助需知
我知道了
×
提示
确定
请完成安全验证×
copy
已复制链接
快去分享给好友吧!
我知道了
右上角分享
点击右上角分享
0
联系我们:info@booksci.cn Book学术提供免费学术资源搜索服务,方便国内外学者检索中英文文献。致力于提供最便捷和优质的服务体验。 Copyright © 2023 布克学术 All rights reserved.
京ICP备2023020795号-1
ghs 京公网安备 11010802042870号
Book学术文献互助
Book学术文献互助群
群 号:604180095
Book学术官方微信