Pericarditis and Cardiac Tamponade in Patients Treated with First and Second Generation Bruton Tyrosine Kinase Inhibitors: An Underappreciated Risk.

IF 0.7 Q4 HEMATOLOGY
Case Reports in Hematology Pub Date : 2024-07-09 eCollection Date: 2024-01-01 DOI:10.1155/2024/2312182
Thomas Erblich, Charlotte Manisty, John Gribben
{"title":"Pericarditis and Cardiac Tamponade in Patients Treated with First and Second Generation Bruton Tyrosine Kinase Inhibitors: An Underappreciated Risk.","authors":"Thomas Erblich, Charlotte Manisty, John Gribben","doi":"10.1155/2024/2312182","DOIUrl":null,"url":null,"abstract":"<p><strong>Introduction: </strong>The introduction of Bruton's tyrosine kinase (BTK) inhibitors significantly improved the management of chronic lymphocytic leukemia (CLL). However, BTK carry the risk of cardiotoxicity, which is not only limited to atrial fibrillation. <i>Case Reports</i>. We report three cases of patients on BTK inhibitors who developed acute pericarditis and cardiac tamponade. We report the first patient who developed this complication on treatment with zanubrutinib. This patient's treatment was changed to zanubrutinib due to atrial fibrillation. Shortly after cardioversion, he developed cardiac tamponade and shock. He underwent pericardiocentesis, received treatment for acute pericarditis with steroids and colchicine, and made a full recovery. We also report two further cases, both involving patients treated with ibrutinib. These patients also developed acute pericarditis and cardiac tamponade and required pericardiocentesis. All three patients discontinued BTK therapy following the events.</p><p><strong>Conclusions: </strong>These three cases highlight the rare but potentially life-threatening risk of cardiac tamponade which can occur even with newer generations of BTK inhibitors. Haemato-oncologists should remain vigilant in patients who report dyspnea or who show sinus tachycardia on routine electrocardiography. Even in the absence of classical clinical signs of tamponade, patients require urgent evaluation with echocardiography and potentially emergency pericardiocentesis.</p>","PeriodicalId":46307,"journal":{"name":"Case Reports in Hematology","volume":"2024 ","pages":"2312182"},"PeriodicalIF":0.7000,"publicationDate":"2024-07-09","publicationTypes":"Journal Article","fieldsOfStudy":null,"isOpenAccess":false,"openAccessPdf":"https://www.ncbi.nlm.nih.gov/pmc/articles/PMC11251797/pdf/","citationCount":"0","resultStr":null,"platform":"Semanticscholar","paperid":null,"PeriodicalName":"Case Reports in Hematology","FirstCategoryId":"1085","ListUrlMain":"https://doi.org/10.1155/2024/2312182","RegionNum":0,"RegionCategory":null,"ArticlePicture":[],"TitleCN":null,"AbstractTextCN":null,"PMCID":null,"EPubDate":"2024/1/1 0:00:00","PubModel":"eCollection","JCR":"Q4","JCRName":"HEMATOLOGY","Score":null,"Total":0}
引用次数: 0

Abstract

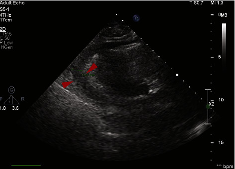
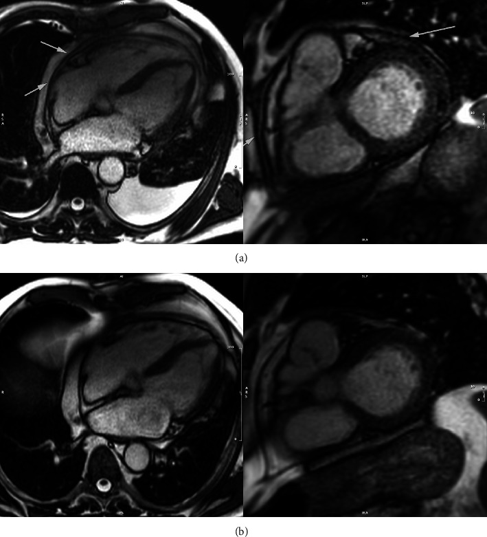
Introduction: The introduction of Bruton's tyrosine kinase (BTK) inhibitors significantly improved the management of chronic lymphocytic leukemia (CLL). However, BTK carry the risk of cardiotoxicity, which is not only limited to atrial fibrillation. Case Reports. We report three cases of patients on BTK inhibitors who developed acute pericarditis and cardiac tamponade. We report the first patient who developed this complication on treatment with zanubrutinib. This patient's treatment was changed to zanubrutinib due to atrial fibrillation. Shortly after cardioversion, he developed cardiac tamponade and shock. He underwent pericardiocentesis, received treatment for acute pericarditis with steroids and colchicine, and made a full recovery. We also report two further cases, both involving patients treated with ibrutinib. These patients also developed acute pericarditis and cardiac tamponade and required pericardiocentesis. All three patients discontinued BTK therapy following the events.

Conclusions: These three cases highlight the rare but potentially life-threatening risk of cardiac tamponade which can occur even with newer generations of BTK inhibitors. Haemato-oncologists should remain vigilant in patients who report dyspnea or who show sinus tachycardia on routine electrocardiography. Even in the absence of classical clinical signs of tamponade, patients require urgent evaluation with echocardiography and potentially emergency pericardiocentesis.

Abstract Image

Abstract Image

Abstract Image

第一代和第二代布鲁顿酪氨酸激酶抑制剂患者的心包炎和心脏填塞:未被充分认识的风险。
简介:布鲁顿酪氨酸激酶(BTK)抑制剂的问世大大改善了慢性淋巴细胞白血病(CLL)的治疗。然而,BTK 有心脏毒性的风险,不仅限于心房颤动。病例报告。我们报告了三例服用 BTK 抑制剂的患者出现急性心包炎和心脏填塞的病例。我们报告的第一例患者是在使用扎鲁替尼治疗时出现这种并发症的。该患者因心房颤动而改用扎鲁替尼治疗。心脏复苏后不久,他出现了心脏填塞和休克。他接受了心包穿刺术,用类固醇和秋水仙碱治疗急性心包炎,并完全康复。我们还报告了另外两个病例,均涉及接受伊布替尼治疗的患者。这些患者也发生了急性心包炎和心脏填塞,需要进行心包穿刺。事件发生后,这三位患者均停止了 BTK 治疗:这三个病例凸显了心脏填塞的风险虽然罕见但可能危及生命,即使是新一代的 BTK 抑制剂也可能发生这种情况。血液肿瘤学家应对报告呼吸困难或常规心电图显示窦性心动过速的患者保持警惕。即使没有典型的心包填塞临床表现,患者也需要通过超声心动图进行紧急评估,并可能进行紧急心包穿刺。
本文章由计算机程序翻译,如有差异,请以英文原文为准。
求助全文
约1分钟内获得全文 求助全文
来源期刊
自引率
0.00%
发文量
51
审稿时长
13 weeks
×
引用
GB/T 7714-2015
复制
MLA
复制
APA
复制
导出至
BibTeX EndNote RefMan NoteFirst NoteExpress
×
提示
您的信息不完整,为了账户安全,请先补充。
现在去补充
×
提示
您因"违规操作"
具体请查看互助需知
我知道了
×
提示
确定
请完成安全验证×
copy
已复制链接
快去分享给好友吧!
我知道了
右上角分享
点击右上角分享
0
联系我们:info@booksci.cn Book学术提供免费学术资源搜索服务,方便国内外学者检索中英文文献。致力于提供最便捷和优质的服务体验。 Copyright © 2023 布克学术 All rights reserved.
京ICP备2023020795号-1
ghs 京公网安备 11010802042870号
Book学术文献互助
Book学术文献互助群
群 号:604180095
Book学术官方微信