Salivary Secretory Carcinoma in a Patient with Immature Ovary Teratoma.

Q3 Medicine
Saede Atarbashi-Moghadam, Ali Lotfi, Seyed Sepehr Mirebeigi, Shaghayegh Dowdani
{"title":"Salivary Secretory Carcinoma in a Patient with Immature Ovary Teratoma.","authors":"Saede Atarbashi-Moghadam, Ali Lotfi, Seyed Sepehr Mirebeigi, Shaghayegh Dowdani","doi":"10.22038/IJORL.2024.74907.3516","DOIUrl":null,"url":null,"abstract":"<p><strong>Introduction: </strong>Secretory carcinoma, previously known as mammary analog secretory carcinoma, is a rare malignancy of salivary glands. It has a diversity of microscopic patterns and is similar to other salivary gland tumors.</p><p><strong>Case report: </strong>This report presents the case of a 32-year-old female patient with a painless swelling of the upper lip and a history of recent surgery for an immature ovarian teratoma. The microscopic sections revealed a circumscribed neoplasm composed of macrocystic, papillary-cystic, and microcystic patterns with bland vesicular nuclei and vacuolated cytoplasm. Tumoral cells were strongly positive for mammaglobin, SOX10, GATA3, S-100, and vimentin. The diagnosis of salivary gland secretory carcinoma was made. After 22 months, there has been no recurrence.</p><p><strong>Conclusions: </strong>As secretory carcinoma is a relatively new entity, it is necessary to understand its characteristics. Although the overall incidence of second primary cancer in patients with salivary gland cancers is low, the possibility of its presence in such patients should be considered.</p>","PeriodicalId":14607,"journal":{"name":"Iranian Journal of Otorhinolaryngology","volume":"36 4","pages":"567-571"},"PeriodicalIF":0.0000,"publicationDate":"2024-07-01","publicationTypes":"Journal Article","fieldsOfStudy":null,"isOpenAccess":false,"openAccessPdf":"https://www.ncbi.nlm.nih.gov/pmc/articles/PMC11247445/pdf/","citationCount":"0","resultStr":null,"platform":"Semanticscholar","paperid":null,"PeriodicalName":"Iranian Journal of Otorhinolaryngology","FirstCategoryId":"1085","ListUrlMain":"https://doi.org/10.22038/IJORL.2024.74907.3516","RegionNum":0,"RegionCategory":null,"ArticlePicture":[],"TitleCN":null,"AbstractTextCN":null,"PMCID":null,"EPubDate":"","PubModel":"","JCR":"Q3","JCRName":"Medicine","Score":null,"Total":0}
引用次数: 0

Abstract

Introduction: Secretory carcinoma, previously known as mammary analog secretory carcinoma, is a rare malignancy of salivary glands. It has a diversity of microscopic patterns and is similar to other salivary gland tumors.

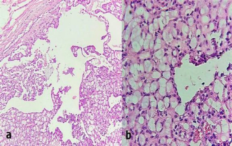
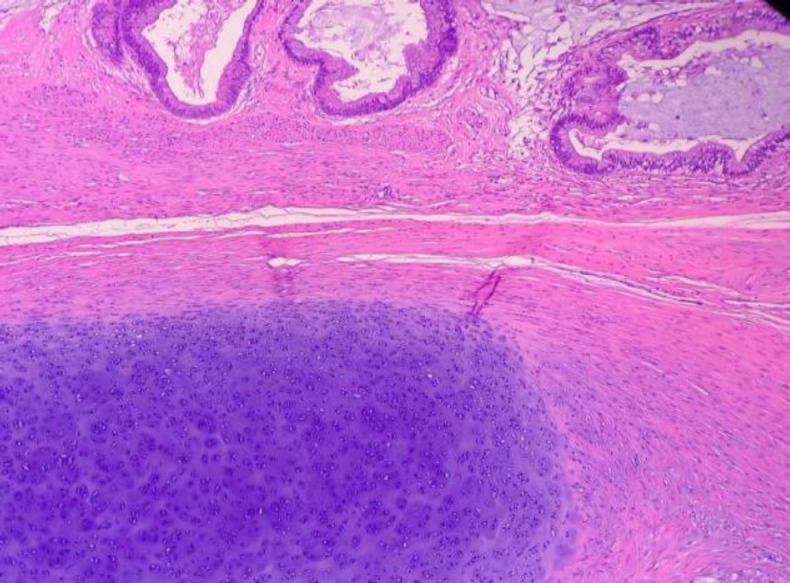
Case report: This report presents the case of a 32-year-old female patient with a painless swelling of the upper lip and a history of recent surgery for an immature ovarian teratoma. The microscopic sections revealed a circumscribed neoplasm composed of macrocystic, papillary-cystic, and microcystic patterns with bland vesicular nuclei and vacuolated cytoplasm. Tumoral cells were strongly positive for mammaglobin, SOX10, GATA3, S-100, and vimentin. The diagnosis of salivary gland secretory carcinoma was made. After 22 months, there has been no recurrence.

Conclusions: As secretory carcinoma is a relatively new entity, it is necessary to understand its characteristics. Although the overall incidence of second primary cancer in patients with salivary gland cancers is low, the possibility of its presence in such patients should be considered.

Abstract Image

Abstract Image

Abstract Image

一名卵巢未成熟畸胎瘤患者的唾液分泌性癌
简介分泌癌,以前称为乳腺类似物分泌癌,是一种罕见的唾液腺恶性肿瘤。它的显微形态多种多样,与其他唾液腺肿瘤相似:本报告介绍了一名 32 岁女性患者的病例,患者上唇无痛性肿胀,近期曾因未成熟卵巢畸胎瘤接受过手术。显微镜下的切片显示,肿瘤呈环状,由大囊型、乳头状囊型和小囊型组成,细胞核呈平淡的水泡状,细胞质呈空泡状。肿瘤细胞的乳腺球蛋白、SOX10、GATA3、S-100 和波形蛋白呈强阳性。诊断结果为唾液腺分泌性癌。22 个月后,患者没有复发:结论:分泌性癌是一种相对较新的肿瘤,因此有必要了解其特征。结论:由于分泌性癌是一种相对较新的癌症,因此有必要了解其特征。虽然涎腺癌患者中第二原发癌的总体发病率较低,但仍应考虑其存在的可能性。
本文章由计算机程序翻译,如有差异,请以英文原文为准。
求助全文
约1分钟内获得全文 求助全文
来源期刊
Iranian Journal of Otorhinolaryngology
Iranian Journal of Otorhinolaryngology Medicine-Otorhinolaryngology
CiteScore
1.30
自引率
0.00%
发文量
72
审稿时长
12 weeks
×
引用
GB/T 7714-2015
复制
MLA
复制
APA
复制
导出至
BibTeX EndNote RefMan NoteFirst NoteExpress
×
提示
您的信息不完整,为了账户安全,请先补充。
现在去补充
×
提示
您因"违规操作"
具体请查看互助需知
我知道了
×
提示
确定
请完成安全验证×
copy
已复制链接
快去分享给好友吧!
我知道了
右上角分享
点击右上角分享
0
联系我们:info@booksci.cn Book学术提供免费学术资源搜索服务,方便国内外学者检索中英文文献。致力于提供最便捷和优质的服务体验。 Copyright © 2023 布克学术 All rights reserved.
京ICP备2023020795号-1
ghs 京公网安备 11010802042870号
Book学术文献互助
Book学术文献互助群
群 号:604180095
Book学术官方微信