Epicardial Pacemaker Causing Cardiac Strangulation.

IF 1.3 Q4 CARDIAC & CARDIOVASCULAR SYSTEMS
Journal of the Saudi Heart Association Pub Date : 2024-07-08 eCollection Date: 2024-01-01 DOI:10.37616/2212-5043.1378
Scott Kendall, Rihab Agouba, Andrew Sands, Frank Casey, Lars Nölke
{"title":"Epicardial Pacemaker Causing Cardiac Strangulation.","authors":"Scott Kendall, Rihab Agouba, Andrew Sands, Frank Casey, Lars Nölke","doi":"10.37616/2212-5043.1378","DOIUrl":null,"url":null,"abstract":"<p><p>Cardiac strangulation is a rare but potentially lethal complication of epicardial pacemaker insertion. We present the case of a 9-year-old girl who was identified as having cardiac strangulation on routine follow-up for an epicardial pacemaker inserted on day 1 of life for congenital complete heart block (CCHB). The potential clinical presentations and risk factors for pacemaker strangulation are then discussed.</p>","PeriodicalId":17319,"journal":{"name":"Journal of the Saudi Heart Association","volume":"36 2","pages":"106-110"},"PeriodicalIF":1.3000,"publicationDate":"2024-07-08","publicationTypes":"Journal Article","fieldsOfStudy":null,"isOpenAccess":false,"openAccessPdf":"https://www.ncbi.nlm.nih.gov/pmc/articles/PMC11249059/pdf/","citationCount":"0","resultStr":null,"platform":"Semanticscholar","paperid":null,"PeriodicalName":"Journal of the Saudi Heart Association","FirstCategoryId":"1085","ListUrlMain":"https://doi.org/10.37616/2212-5043.1378","RegionNum":0,"RegionCategory":null,"ArticlePicture":[],"TitleCN":null,"AbstractTextCN":null,"PMCID":null,"EPubDate":"2024/1/1 0:00:00","PubModel":"eCollection","JCR":"Q4","JCRName":"CARDIAC & CARDIOVASCULAR SYSTEMS","Score":null,"Total":0}
引用次数: 0

Abstract

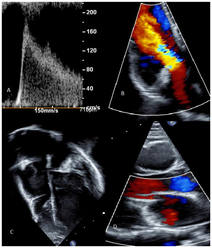
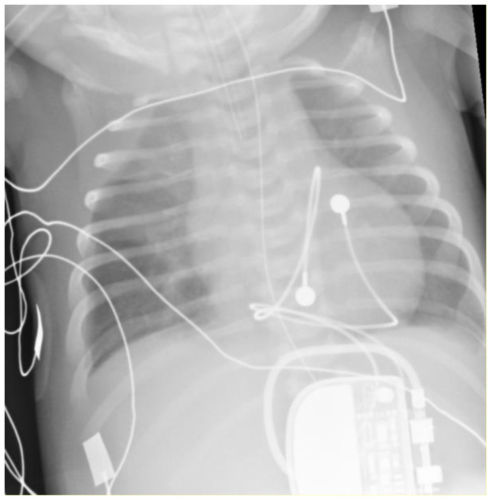
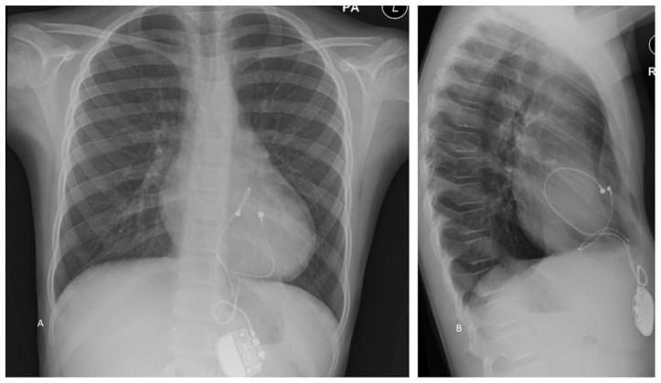
Cardiac strangulation is a rare but potentially lethal complication of epicardial pacemaker insertion. We present the case of a 9-year-old girl who was identified as having cardiac strangulation on routine follow-up for an epicardial pacemaker inserted on day 1 of life for congenital complete heart block (CCHB). The potential clinical presentations and risk factors for pacemaker strangulation are then discussed.

Abstract Image

Abstract Image

Abstract Image

心外起搏器导致心脏绞窄。
心脏绞窄是心外起搏器植入术中一种罕见但可能致命的并发症。我们介绍了一例 9 岁女孩的病例,她在出生后第 1 天因先天性完全性心脏传导阻滞(CCHB)而植入心外膜起搏器,在常规随访中被发现患有心脏绞窄。然后讨论了起搏器扼死的潜在临床表现和风险因素。
本文章由计算机程序翻译,如有差异,请以英文原文为准。
求助全文
约1分钟内获得全文 求助全文
来源期刊
Journal of the Saudi Heart Association
Journal of the Saudi Heart Association CARDIAC & CARDIOVASCULAR SYSTEMS-
CiteScore
1.40
自引率
0.00%
发文量
30
审稿时长
15 weeks
×
引用
GB/T 7714-2015
复制
MLA
复制
APA
复制
导出至
BibTeX EndNote RefMan NoteFirst NoteExpress
×
提示
您的信息不完整,为了账户安全,请先补充。
现在去补充
×
提示
您因"违规操作"
具体请查看互助需知
我知道了
×
提示
确定
请完成安全验证×
copy
已复制链接
快去分享给好友吧!
我知道了
右上角分享
点击右上角分享
0
联系我们:info@booksci.cn Book学术提供免费学术资源搜索服务,方便国内外学者检索中英文文献。致力于提供最便捷和优质的服务体验。 Copyright © 2023 布克学术 All rights reserved.
京ICP备2023020795号-1
ghs 京公网安备 11010802042870号
Book学术文献互助
Book学术文献互助群
群 号:604180095
Book学术官方微信