Bilateral Retinal Infiltration and Ischemia as the First Presenting Sign of Chronic Myeloid Leukemia: A Case Report with Multimodal Imaging.

IF 0.3 Q4 OPHTHALMOLOGY
Middle East African Journal of Ophthalmology Pub Date : 2024-06-14 eCollection Date: 2023-04-01 DOI:10.4103/meajo.meajo_69_23
Asma K Alzuabi, Tariq A Alanazi, Abdulmajeed Alkharashi, Khalid M Al-Qahtani, Abdulrahman F Albloushi
{"title":"Bilateral Retinal Infiltration and Ischemia as the First Presenting Sign of Chronic Myeloid Leukemia: A Case Report with Multimodal Imaging.","authors":"Asma K Alzuabi, Tariq A Alanazi, Abdulmajeed Alkharashi, Khalid M Al-Qahtani, Abdulrahman F Albloushi","doi":"10.4103/meajo.meajo_69_23","DOIUrl":null,"url":null,"abstract":"<p><p>Chronic myeloid leukemia (CML) is a malignant proliferative disorder involving the bone marrow and lymphatic system. Retinal involvement is a rare form of presentation in patients with CML. We report a case of a 49-year-old woman who presented with an acute bilateral visual disturbance. Her initial visual acuity was 20/20 in both eyes. Fundus examination revealed multiple yellowish retinal infiltrates, vascular sheathing, and peripheral sclerosed blood vessels. Fundus fluorescein angiography revealed bilateral peripheral retinal ischemia. Optical coherence tomography of the macula showed varying sizes of hyperreflective lesions distributed within the inner and outer retinal layers and in the subretinal space. Systemic workup revealed marked leukocytosis, and bone marrow biopsy revealed CML. Patients with CML can rarely present with ocular symptoms. Early recognition and prompt referral are crucial in lifesaving.</p>","PeriodicalId":18740,"journal":{"name":"Middle East African Journal of Ophthalmology","volume":"30 2","pages":"121-124"},"PeriodicalIF":0.3000,"publicationDate":"2024-06-14","publicationTypes":"Journal Article","fieldsOfStudy":null,"isOpenAccess":false,"openAccessPdf":"https://www.ncbi.nlm.nih.gov/pmc/articles/PMC11238932/pdf/","citationCount":"0","resultStr":null,"platform":"Semanticscholar","paperid":null,"PeriodicalName":"Middle East African Journal of Ophthalmology","FirstCategoryId":"1085","ListUrlMain":"https://doi.org/10.4103/meajo.meajo_69_23","RegionNum":0,"RegionCategory":null,"ArticlePicture":[],"TitleCN":null,"AbstractTextCN":null,"PMCID":null,"EPubDate":"2023/4/1 0:00:00","PubModel":"eCollection","JCR":"Q4","JCRName":"OPHTHALMOLOGY","Score":null,"Total":0}
引用次数: 0

Abstract

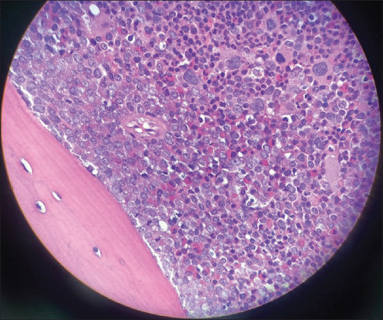
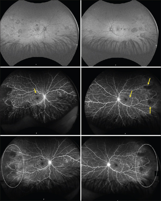
Chronic myeloid leukemia (CML) is a malignant proliferative disorder involving the bone marrow and lymphatic system. Retinal involvement is a rare form of presentation in patients with CML. We report a case of a 49-year-old woman who presented with an acute bilateral visual disturbance. Her initial visual acuity was 20/20 in both eyes. Fundus examination revealed multiple yellowish retinal infiltrates, vascular sheathing, and peripheral sclerosed blood vessels. Fundus fluorescein angiography revealed bilateral peripheral retinal ischemia. Optical coherence tomography of the macula showed varying sizes of hyperreflective lesions distributed within the inner and outer retinal layers and in the subretinal space. Systemic workup revealed marked leukocytosis, and bone marrow biopsy revealed CML. Patients with CML can rarely present with ocular symptoms. Early recognition and prompt referral are crucial in lifesaving.

Abstract Image

Abstract Image

Abstract Image

双侧视网膜浸润和缺血是慢性粒细胞白血病的首发症状:多模态成像病例报告。
慢性髓性白血病(CML)是一种累及骨髓和淋巴系统的恶性增生性疾病。视网膜受累是 CML 患者的一种罕见表现形式。我们报告了一例因急性双侧视力障碍而就诊的 49 岁女性病例。她最初的双眼视力为 20/20。眼底检查发现多处淡黄色视网膜浸润、血管鞘和周围硬化血管。眼底荧光素血管造影显示双侧周边视网膜缺血。黄斑的光学相干断层扫描显示,视网膜内外层和视网膜下间隙分布着大小不等的高反射病变。全身检查发现白细胞明显增多,骨髓活检显示患有慢性骨髓性白血病。CML 患者很少会出现眼部症状。早期识别和及时转诊对挽救生命至关重要。
本文章由计算机程序翻译,如有差异,请以英文原文为准。
求助全文
约1分钟内获得全文 求助全文
来源期刊
CiteScore
1.40
自引率
0.00%
发文量
1
期刊介绍: The Middle East African Journal of Ophthalmology (MEAJO), published four times per year in print and online, is an official journal of the Middle East African Council of Ophthalmology (MEACO). It is an international, peer-reviewed journal whose mission includes publication of original research of interest to ophthalmologists in the Middle East and Africa, and to provide readers with high quality educational review articles from world-renown experts. MEAJO, previously known as Middle East Journal of Ophthalmology (MEJO) was founded by Dr Akef El Maghraby in 1993.
×
引用
GB/T 7714-2015
复制
MLA
复制
APA
复制
导出至
BibTeX EndNote RefMan NoteFirst NoteExpress
×
提示
您的信息不完整,为了账户安全,请先补充。
现在去补充
×
提示
您因"违规操作"
具体请查看互助需知
我知道了
×
提示
确定
请完成安全验证×
copy
已复制链接
快去分享给好友吧!
我知道了
右上角分享
点击右上角分享
0
联系我们:info@booksci.cn Book学术提供免费学术资源搜索服务,方便国内外学者检索中英文文献。致力于提供最便捷和优质的服务体验。 Copyright © 2023 布克学术 All rights reserved.
京ICP备2023020795号-1
ghs 京公网安备 11010802042870号
Book学术文献互助
Book学术文献互助群
群 号:604180095
Book学术官方微信