A case of endogenous endophthalmitis caused by Escherichia coli septicemia.

GMS ophthalmology cases Pub Date : 2024-06-25 eCollection Date: 2024-01-01 DOI:10.3205/oc000239
Tejinder Talwar, Prateek Chandra, Sugandha Goel, Kuntal Patel
{"title":"A case of endogenous endophthalmitis caused by Escherichia coli septicemia.","authors":"Tejinder Talwar, Prateek Chandra, Sugandha Goel, Kuntal Patel","doi":"10.3205/oc000239","DOIUrl":null,"url":null,"abstract":"<p><p>Endogenous endophthalmitis is a severe sight-threatening condition that requires urgent intervention. It is a rare complication of <i>Escherichia coli</i> septicemia. We herein report a case of left eye endogenous endophthalmitis with uncontrolled type 2 diabetes mellitus with pyelonephritis associated with <i>Escherichia coli</i> septicemia. Vitrectomy was done along with intravitreal antibiotics and steroids. There was significant improvement in vision after vitrectomy.</p>","PeriodicalId":73178,"journal":{"name":"GMS ophthalmology cases","volume":"14 ","pages":"Doc07"},"PeriodicalIF":0.0000,"publicationDate":"2024-06-25","publicationTypes":"Journal Article","fieldsOfStudy":null,"isOpenAccess":false,"openAccessPdf":"https://www.ncbi.nlm.nih.gov/pmc/articles/PMC11238644/pdf/","citationCount":"0","resultStr":null,"platform":"Semanticscholar","paperid":null,"PeriodicalName":"GMS ophthalmology cases","FirstCategoryId":"1085","ListUrlMain":"https://doi.org/10.3205/oc000239","RegionNum":0,"RegionCategory":null,"ArticlePicture":[],"TitleCN":null,"AbstractTextCN":null,"PMCID":null,"EPubDate":"2024/1/1 0:00:00","PubModel":"eCollection","JCR":"","JCRName":"","Score":null,"Total":0}
引用次数: 0

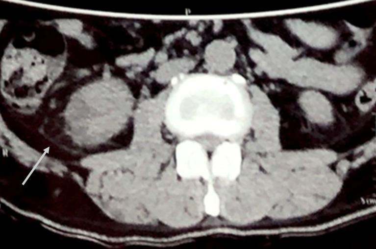
Abstract

Endogenous endophthalmitis is a severe sight-threatening condition that requires urgent intervention. It is a rare complication of Escherichia coli septicemia. We herein report a case of left eye endogenous endophthalmitis with uncontrolled type 2 diabetes mellitus with pyelonephritis associated with Escherichia coli septicemia. Vitrectomy was done along with intravitreal antibiotics and steroids. There was significant improvement in vision after vitrectomy.

Abstract Image

Abstract Image

Abstract Image

一例由大肠杆菌败血症引起的内源性眼底病。
内源性眼内炎是一种严重威胁视力的疾病,需要紧急干预。它是大肠杆菌败血症的一种罕见并发症。我们在此报告了一例左眼内源性眼内炎病例,患者患有未得到控制的 2 型糖尿病,并伴有大肠杆菌败血症引起的肾盂肾炎。在进行玻璃体切割的同时,还在玻璃体内注射了抗生素和类固醇。玻璃体切除术后视力明显改善。
本文章由计算机程序翻译,如有差异,请以英文原文为准。
求助全文
约1分钟内获得全文 求助全文
来源期刊
自引率
0.00%
发文量
0
审稿时长
6 weeks
×
引用
GB/T 7714-2015
复制
MLA
复制
APA
复制
导出至
BibTeX EndNote RefMan NoteFirst NoteExpress
×
提示
您的信息不完整,为了账户安全,请先补充。
现在去补充
×
提示
您因"违规操作"
具体请查看互助需知
我知道了
×
提示
确定
请完成安全验证×
copy
已复制链接
快去分享给好友吧!
我知道了
右上角分享
点击右上角分享
0
联系我们:info@booksci.cn Book学术提供免费学术资源搜索服务,方便国内外学者检索中英文文献。致力于提供最便捷和优质的服务体验。 Copyright © 2023 布克学术 All rights reserved.
京ICP备2023020795号-1
ghs 京公网安备 11010802042870号
Book学术文献互助
Book学术文献互助群
群 号:604180095
Book学术官方微信