Primary ovarian hydatid cyst mimicking cyst adenoma: a rare case report.

IF 1.6 Q3 PUBLIC, ENVIRONMENTAL & OCCUPATIONAL HEALTH
GMS Hygiene and Infection Control Pub Date : 2024-06-05 eCollection Date: 2024-01-01 DOI:10.3205/dgkh000488
Ensiyeh Bahadoran, Fatemeh Samieerad, Simindokht Molaverdikhani, Saeideh Gholamzadeh Khoei
{"title":"Primary ovarian hydatid cyst mimicking cyst adenoma: a rare case report.","authors":"Ensiyeh Bahadoran, Fatemeh Samieerad, Simindokht Molaverdikhani, Saeideh Gholamzadeh Khoei","doi":"10.3205/dgkh000488","DOIUrl":null,"url":null,"abstract":"<p><strong>Background: </strong>Hydatid cysts (HC) are zoonotic diseases that are mainly caused by <i>Echinococcus granulosus</i>. Ovarian HC is a rare condition with different and unspecified presentations. Here we report a rare case of primary ovarian HC.</p><p><strong>Case presentation: </strong>A 47-year-old woman with chronic abdominal pain and left hemipelvic fullness was referred to the Obstetrics Clinic of the Kowsar Hospital of Qazvin. Abdominopelvic sonography revealed a cystic mass, which primarily suggested a cyst adenoma. The tumor marker levels were within normal limits. After surgical resection, histopathological examination showed a cystic mass with dimensions of 10×6×3 cm, smooth external and internal aspects, wall thickness of 0.3 cm, and multiple pieces of irregular gray membranous tissue. The patient was treated with albendazole 3 months after surgery, and a 6-month follow-up sonogram revealed no signs of recurrence.</p><p><strong>Discussion: </strong>HC has non-specific presentations. Radiologists, pathologists, and surgeons should consider HC as a differential diagnosis for any cystic mass in the pelvic cavity, especially in endemic areas. Surgical resection and albendazole administration are the chosen treatments.</p>","PeriodicalId":12738,"journal":{"name":"GMS Hygiene and Infection Control","volume":"19 ","pages":"Doc33"},"PeriodicalIF":1.6000,"publicationDate":"2024-06-05","publicationTypes":"Journal Article","fieldsOfStudy":null,"isOpenAccess":false,"openAccessPdf":"https://www.ncbi.nlm.nih.gov/pmc/articles/PMC11238422/pdf/","citationCount":"0","resultStr":null,"platform":"Semanticscholar","paperid":null,"PeriodicalName":"GMS Hygiene and Infection Control","FirstCategoryId":"1085","ListUrlMain":"https://doi.org/10.3205/dgkh000488","RegionNum":0,"RegionCategory":null,"ArticlePicture":[],"TitleCN":null,"AbstractTextCN":null,"PMCID":null,"EPubDate":"2024/1/1 0:00:00","PubModel":"eCollection","JCR":"Q3","JCRName":"PUBLIC, ENVIRONMENTAL & OCCUPATIONAL HEALTH","Score":null,"Total":0}
引用次数: 0

Abstract

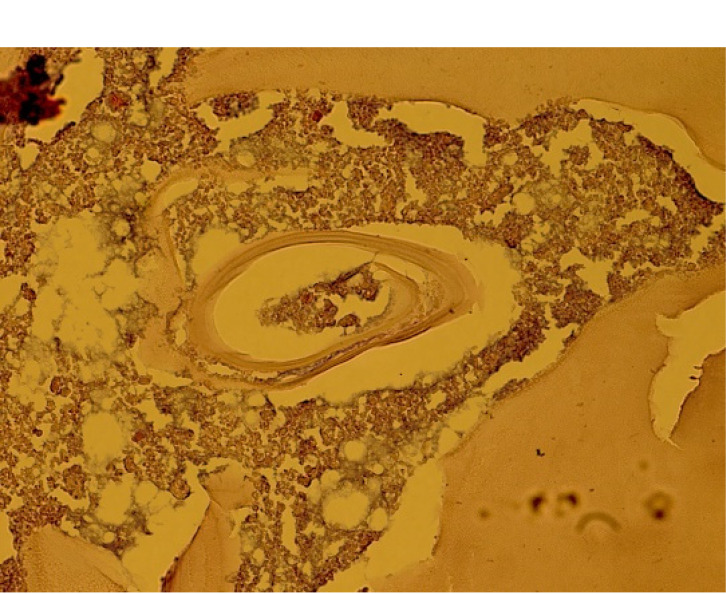
Background: Hydatid cysts (HC) are zoonotic diseases that are mainly caused by Echinococcus granulosus. Ovarian HC is a rare condition with different and unspecified presentations. Here we report a rare case of primary ovarian HC.

Case presentation: A 47-year-old woman with chronic abdominal pain and left hemipelvic fullness was referred to the Obstetrics Clinic of the Kowsar Hospital of Qazvin. Abdominopelvic sonography revealed a cystic mass, which primarily suggested a cyst adenoma. The tumor marker levels were within normal limits. After surgical resection, histopathological examination showed a cystic mass with dimensions of 10×6×3 cm, smooth external and internal aspects, wall thickness of 0.3 cm, and multiple pieces of irregular gray membranous tissue. The patient was treated with albendazole 3 months after surgery, and a 6-month follow-up sonogram revealed no signs of recurrence.

Discussion: HC has non-specific presentations. Radiologists, pathologists, and surgeons should consider HC as a differential diagnosis for any cystic mass in the pelvic cavity, especially in endemic areas. Surgical resection and albendazole administration are the chosen treatments.

Abstract Image

Abstract Image

原发性卵巢水瘤囊肿模仿囊腺瘤:一例罕见病例报告。
背景:包虫囊肿(HC)是一种人畜共患病,主要由棘球蚴引起。卵巢水包虫囊肿是一种罕见的疾病,其表现各异且不明确。在此,我们报告了一例罕见的原发性卵巢囊肿病例:一名 47 岁女性因长期腹痛和左侧骨盆饱满被转诊至加兹温 Kowsar 医院产科诊所。腹盆腔超声检查发现一个囊性肿块,主要提示为囊腺瘤。肿瘤标志物水平在正常范围内。手术切除后,组织病理学检查显示,囊性肿块大小为 10×6×3 厘米,内外光滑,壁厚 0.3 厘米,有多块不规则的灰色膜组织。术后 3 个月,患者接受了阿苯达唑治疗,6 个月的随访声像图显示无复发迹象:讨论:HC 具有非特异性表现。放射科医生、病理科医生和外科医生应将 HC 作为盆腔囊性肿块的鉴别诊断,尤其是在地方病流行地区。可选择手术切除和阿苯达唑治疗。
本文章由计算机程序翻译,如有差异,请以英文原文为准。
求助全文
约1分钟内获得全文 求助全文
来源期刊
GMS Hygiene and Infection Control
GMS Hygiene and Infection Control PUBLIC, ENVIRONMENTAL & OCCUPATIONAL HEALTH-
自引率
0.00%
发文量
12
审稿时长
10 weeks
×
引用
GB/T 7714-2015
复制
MLA
复制
APA
复制
导出至
BibTeX EndNote RefMan NoteFirst NoteExpress
×
提示
您的信息不完整,为了账户安全,请先补充。
现在去补充
×
提示
您因"违规操作"
具体请查看互助需知
我知道了
×
提示
确定
请完成安全验证×
copy
已复制链接
快去分享给好友吧!
我知道了
右上角分享
点击右上角分享
0
联系我们:info@booksci.cn Book学术提供免费学术资源搜索服务,方便国内外学者检索中英文文献。致力于提供最便捷和优质的服务体验。 Copyright © 2023 布克学术 All rights reserved.
京ICP备2023020795号-1
ghs 京公网安备 11010802042870号
Book学术文献互助
Book学术文献互助群
群 号:604180095
Book学术官方微信