Potential indication of chemotherapy for hypodipsia and arginine vasopressin deficiency secondary to hypothalamic-pituitary Langerhans cell histiocytosis: a case report and literature review.

IF 1.2 Q4 ENDOCRINOLOGY & METABOLISM
Clinical Pediatric Endocrinology Pub Date : 2024-01-01 Epub Date: 2024-04-13 DOI:10.1297/cpe.2024-0002
Masashi Ota, Takeshi Sato, Satsuki Nakano, Fumito Yamazaki, Tomohiro Ishii, Tomonobu Hasegawa
{"title":"Potential indication of chemotherapy for hypodipsia and arginine vasopressin deficiency secondary to hypothalamic-pituitary Langerhans cell histiocytosis: a case report and literature review.","authors":"Masashi Ota, Takeshi Sato, Satsuki Nakano, Fumito Yamazaki, Tomohiro Ishii, Tomonobu Hasegawa","doi":"10.1297/cpe.2024-0002","DOIUrl":null,"url":null,"abstract":"<p><p>Hypothalamic-pituitary Langerhans cell histiocytosis (HP-LCH) is often associated with arginine vasopressin deficiency (AVD). Patients with AVD caused by HP-LCH rarely develop an impaired osmotic threshold for thirst (OTT). Improvement in OTT among such patients has not been reported in the literature. To our knowledge, here we report the first case of AVD due to HP-LCH in which hypodipsia resolved during chemotherapy. A nine-year-old Japanese girl presented with polydipsia, polyuria, anorexia, and hypernatremia (149.8 mEq/L) and was diagnosed with AVD secondary to HP-LCH. Visual analog scale examination showed a reduced OTT following the water deprivation test. During chemotherapy for Langerhans cell histiocytosis (LCH), serum sodium concentrations became stable between 138.9 and 142.9 mEq/L under the replacement of desmopressin. Repeated visual analog scale examinations showed that she experienced a sense of thirst at a serum sodium concentration of 142.3-144.6 mEq/L, at which she did not experience any thirst prior to the initiation of chemotherapy. These data suggest that chemotherapy directly improved the OTT in our patient. Improved mechanical compression or infiltration of the hypothalamus related to OTT may lead to the recovery of the sense of thirst. This report highlights the potential role of chemotherapy for solitary HP-LCH in patients with hypodipsia and AVD.</p>","PeriodicalId":10678,"journal":{"name":"Clinical Pediatric Endocrinology","volume":"33 3","pages":"157-162"},"PeriodicalIF":1.2000,"publicationDate":"2024-01-01","publicationTypes":"Journal Article","fieldsOfStudy":null,"isOpenAccess":false,"openAccessPdf":"https://www.ncbi.nlm.nih.gov/pmc/articles/PMC11234190/pdf/","citationCount":"0","resultStr":null,"platform":"Semanticscholar","paperid":null,"PeriodicalName":"Clinical Pediatric Endocrinology","FirstCategoryId":"1085","ListUrlMain":"https://doi.org/10.1297/cpe.2024-0002","RegionNum":0,"RegionCategory":null,"ArticlePicture":[],"TitleCN":null,"AbstractTextCN":null,"PMCID":null,"EPubDate":"2024/4/13 0:00:00","PubModel":"Epub","JCR":"Q4","JCRName":"ENDOCRINOLOGY & METABOLISM","Score":null,"Total":0}
引用次数: 0

Abstract

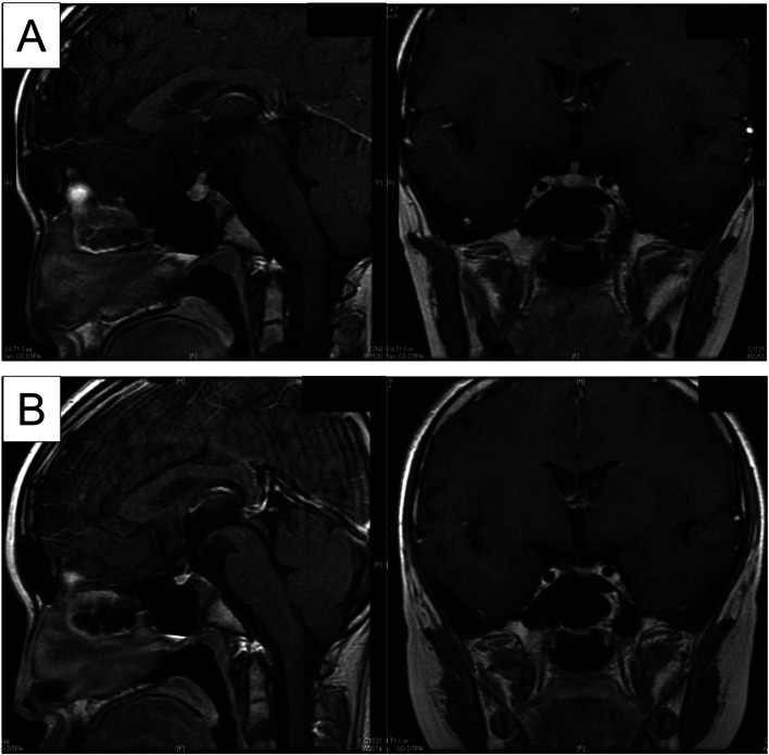
Hypothalamic-pituitary Langerhans cell histiocytosis (HP-LCH) is often associated with arginine vasopressin deficiency (AVD). Patients with AVD caused by HP-LCH rarely develop an impaired osmotic threshold for thirst (OTT). Improvement in OTT among such patients has not been reported in the literature. To our knowledge, here we report the first case of AVD due to HP-LCH in which hypodipsia resolved during chemotherapy. A nine-year-old Japanese girl presented with polydipsia, polyuria, anorexia, and hypernatremia (149.8 mEq/L) and was diagnosed with AVD secondary to HP-LCH. Visual analog scale examination showed a reduced OTT following the water deprivation test. During chemotherapy for Langerhans cell histiocytosis (LCH), serum sodium concentrations became stable between 138.9 and 142.9 mEq/L under the replacement of desmopressin. Repeated visual analog scale examinations showed that she experienced a sense of thirst at a serum sodium concentration of 142.3-144.6 mEq/L, at which she did not experience any thirst prior to the initiation of chemotherapy. These data suggest that chemotherapy directly improved the OTT in our patient. Improved mechanical compression or infiltration of the hypothalamus related to OTT may lead to the recovery of the sense of thirst. This report highlights the potential role of chemotherapy for solitary HP-LCH in patients with hypodipsia and AVD.

Abstract Image

Abstract Image

Abstract Image

化疗治疗下丘脑-垂体朗格汉斯细胞组织细胞增生症继发性低尿症和精氨酸加压素缺乏症的潜在适应症:病例报告和文献综述。
下丘脑-垂体朗格汉斯细胞组织细胞增生症(HP-LCH)常伴有精氨酸加压素缺乏症(AVD)。由 HP-LCH 引起的 AVD 患者很少会出现渗透性口渴阈值(OTT)受损的情况。此类患者的 OTT 改善情况尚未见文献报道。据我们所知,我们在此报告了第一例因 HP-LCH 引起的 AVD,患者在化疗期间出现的低嗜睡症状得到了缓解。一名9岁的日本女孩出现多尿、多饮、厌食和高钠血症(149.8 mEq/L),被诊断为继发于HP-LCH的AVD。视觉模拟量表检查显示,在进行缺水试验后,OTT有所下降。在朗格汉斯细胞组织细胞增生症(LCH)化疗期间,在去氨加压素的替代下,血清钠浓度稳定在 138.9 和 142.9 mEq/L 之间。反复进行的视觉模拟量表检查显示,她在血清钠浓度为 142.3-144.6 mEq/L 时有口渴感,而在开始化疗前,她在此浓度下没有任何口渴感。这些数据表明,化疗直接改善了患者的 OTT。与 OTT 相关的下丘脑机械压迫或浸润的改善可能会导致口渴感的恢复。本报告强调了化疗对伴有低嗜睡和AVD的单发HP-LCH患者的潜在作用。
本文章由计算机程序翻译,如有差异,请以英文原文为准。
求助全文
约1分钟内获得全文 求助全文
来源期刊
Clinical Pediatric Endocrinology
Clinical Pediatric Endocrinology ENDOCRINOLOGY & METABOLISM-
CiteScore
2.40
自引率
7.10%
发文量
34
×
引用
GB/T 7714-2015
复制
MLA
复制
APA
复制
导出至
BibTeX EndNote RefMan NoteFirst NoteExpress
×
提示
您的信息不完整,为了账户安全,请先补充。
现在去补充
×
提示
您因"违规操作"
具体请查看互助需知
我知道了
×
提示
确定
请完成安全验证×
copy
已复制链接
快去分享给好友吧!
我知道了
右上角分享
点击右上角分享
0
联系我们:info@booksci.cn Book学术提供免费学术资源搜索服务,方便国内外学者检索中英文文献。致力于提供最便捷和优质的服务体验。 Copyright © 2023 布克学术 All rights reserved.
京ICP备2023020795号-1
ghs 京公网安备 11010802042870号
Book学术文献互助
Book学术文献互助群
群 号:604180095
Book学术官方微信