Rectal metastasis arising from breast cancer: a case report.

Korean journal of clinical oncology Pub Date : 2024-05-01 Epub Date: 2024-06-30 DOI:10.14216/kjco.24007
Kyeong Eui Kim, Hye Won Lee, Sung Uk Bae
{"title":"Rectal metastasis arising from breast cancer: a case report.","authors":"Kyeong Eui Kim, Hye Won Lee, Sung Uk Bae","doi":"10.14216/kjco.24007","DOIUrl":null,"url":null,"abstract":"<p><p>Breast cancer is the most common cancer among women worldwide. Breast cancer often metastasizes to the regional lymph nodes, bone, brain, liver, and lungs, whereas gastrointestinal tract metastases are rare. Herein, we present a rare case of rectal metastasis from breast cancer that occurred during palliative chemotherapy. A 69-year-old female with a history of invasive ductal carcinoma, negative for hormonal receptors and positive for human epidermal growth factor receptor 2 (HER2) receptor, underwent various treatments, including neoadjuvant chemotherapy, breast-conserving surgery, and adjuvant therapy. Eight months postoperatively, the patient experienced axillary lymph node recurrence, requiring palliative chemotherapy. Despite ongoing treatment, metastatic lesions were confirmed in the lungs and pleura. During palliative chemotherapy, the patient developed anal pain, and subsequent examination revealed an infiltrating rectal lesion. Despite histological confirmation of metastatic breast carcinoma and tubular adenoma, a multidisciplinary decision was made regarding palliative chemotherapy over surgical intervention. Eribulin was administered, but due to the patient's inability to tolerate the treatment, she passed away 3 months after rectal lesion diagnosis. Although breast cancer metastasis to the rectum is rare, clinicians should consider the possibility of rectal involvement and perform a digital rectal examination if anal symptoms are present.</p>","PeriodicalId":74045,"journal":{"name":"Korean journal of clinical oncology","volume":"20 1","pages":"41-45"},"PeriodicalIF":0.0000,"publicationDate":"2024-05-01","publicationTypes":"Journal Article","fieldsOfStudy":null,"isOpenAccess":false,"openAccessPdf":"https://www.ncbi.nlm.nih.gov/pmc/articles/PMC11261180/pdf/","citationCount":"0","resultStr":null,"platform":"Semanticscholar","paperid":null,"PeriodicalName":"Korean journal of clinical oncology","FirstCategoryId":"1085","ListUrlMain":"https://doi.org/10.14216/kjco.24007","RegionNum":0,"RegionCategory":null,"ArticlePicture":[],"TitleCN":null,"AbstractTextCN":null,"PMCID":null,"EPubDate":"2024/6/30 0:00:00","PubModel":"Epub","JCR":"","JCRName":"","Score":null,"Total":0}
引用次数: 0

Abstract

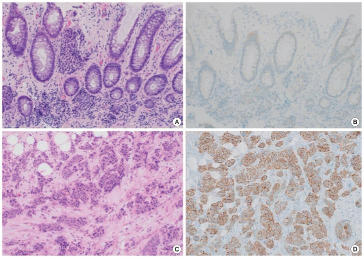
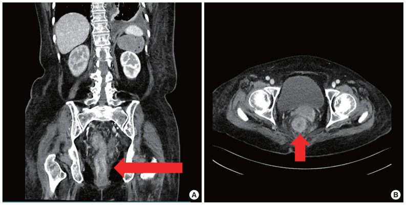
Breast cancer is the most common cancer among women worldwide. Breast cancer often metastasizes to the regional lymph nodes, bone, brain, liver, and lungs, whereas gastrointestinal tract metastases are rare. Herein, we present a rare case of rectal metastasis from breast cancer that occurred during palliative chemotherapy. A 69-year-old female with a history of invasive ductal carcinoma, negative for hormonal receptors and positive for human epidermal growth factor receptor 2 (HER2) receptor, underwent various treatments, including neoadjuvant chemotherapy, breast-conserving surgery, and adjuvant therapy. Eight months postoperatively, the patient experienced axillary lymph node recurrence, requiring palliative chemotherapy. Despite ongoing treatment, metastatic lesions were confirmed in the lungs and pleura. During palliative chemotherapy, the patient developed anal pain, and subsequent examination revealed an infiltrating rectal lesion. Despite histological confirmation of metastatic breast carcinoma and tubular adenoma, a multidisciplinary decision was made regarding palliative chemotherapy over surgical intervention. Eribulin was administered, but due to the patient's inability to tolerate the treatment, she passed away 3 months after rectal lesion diagnosis. Although breast cancer metastasis to the rectum is rare, clinicians should consider the possibility of rectal involvement and perform a digital rectal examination if anal symptoms are present.

Abstract Image

Abstract Image

Abstract Image

乳腺癌直肠转移:病例报告。
乳腺癌是全球妇女最常见的癌症。乳腺癌通常会转移到区域淋巴结、骨、脑、肝和肺,而胃肠道转移则很少见。在此,我们介绍一例罕见的乳腺癌直肠转移病例,该病例发生在姑息化疗期间。一名 69 岁的女性患者曾患浸润性导管癌,激素受体阴性,人表皮生长因子受体 2(HER2)受体阳性,接受了各种治疗,包括新辅助化疗、保乳手术和辅助治疗。术后八个月,患者腋窝淋巴结复发,需要进行姑息化疗。尽管治疗仍在继续,但肺部和胸膜证实出现了转移病灶。姑息化疗期间,患者出现肛门疼痛,随后的检查发现直肠有浸润性病变。尽管组织学确诊为转移性乳腺癌和肾小管腺瘤,但多学科会诊后决定姑息化疗优于手术治疗。患者接受了伊瑞布林治疗,但由于无法耐受,她在确诊直肠病变 3 个月后去世。虽然乳腺癌转移到直肠的情况很少见,但临床医生应考虑直肠受累的可能性,并在出现肛门症状时进行数字直肠镜检查。
本文章由计算机程序翻译,如有差异,请以英文原文为准。
求助全文
约1分钟内获得全文 求助全文
来源期刊
自引率
0.00%
发文量
0
×
引用
GB/T 7714-2015
复制
MLA
复制
APA
复制
导出至
BibTeX EndNote RefMan NoteFirst NoteExpress
×
提示
您的信息不完整,为了账户安全,请先补充。
现在去补充
×
提示
您因"违规操作"
具体请查看互助需知
我知道了
×
提示
确定
请完成安全验证×
copy
已复制链接
快去分享给好友吧!
我知道了
右上角分享
点击右上角分享
0
联系我们:info@booksci.cn Book学术提供免费学术资源搜索服务,方便国内外学者检索中英文文献。致力于提供最便捷和优质的服务体验。 Copyright © 2023 布克学术 All rights reserved.
京ICP备2023020795号-1
ghs 京公网安备 11010802042870号
Book学术文献互助
Book学术文献互助群
群 号:604180095
Book学术官方微信