Association of tumor budding and tumor infiltrating lymphocytes with clinicopathological parameters in gallbladder carcinoma.

Korean journal of clinical oncology Pub Date : 2024-05-01 Epub Date: 2024-06-30 DOI:10.14216/kjco.24001
Sana Ahuja, Adil Aziz Khan, Pooja Verma, Sufian Zaheer
{"title":"Association of tumor budding and tumor infiltrating lymphocytes with clinicopathological parameters in gallbladder carcinoma.","authors":"Sana Ahuja, Adil Aziz Khan, Pooja Verma, Sufian Zaheer","doi":"10.14216/kjco.24001","DOIUrl":null,"url":null,"abstract":"<p><strong>Purpose: </strong>Gallbladder carcinoma (GBC) poses significant challenges in oncology due to its aggressive nature and limited treatment options. The lack of effective biomarkers for early detection and prognosis exacerbates the prognosis for GBC patients. Tumor budding (TB) and tumor infiltrating lymphocytes (TILs) have emerged as potential prognostic indicators in various cancers, reflecting tumor-host immune interactions and tumor aggressiveness. The study of TB and TILs in GBC is particularly important due to the limited literature available.</p><p><strong>Methods: </strong>This retrospective observational study aimed to evaluate the association of TB and TILs with clinicopathological parameters in GBC patients. Clinicopathological data were collected from patients with histologically confirmed GBC who underwent surgical resection. The sections were evaluated for TB and TILs using standardized methods. Statistical analysis was performed to assess associations between these parameters and clinicopathological variables.</p><p><strong>Results: </strong>Tumor stage and grade showed significant associations with TB and TILs, indicating their potential as prognostic markers. High TB correlated with advanced tumor stage and higher grade, while high TIL infiltration was associated with early tumor stage and lower grade. Additionally, TILs exhibited a significant association with lymphovascular invasion. Interestingly, an inverse association was observed between TB and TILs, highlighting the dynamic interplay between tumor aggressiveness and host immune response.</p><p><strong>Conclusion: </strong>TB and TILs hold prognostic significance in GBC, offering insights into its pathogenesis and potential therapeutic targets. Future research exploring the mechanistic underpinnings of tumor-host immune interactions in GBC is crucial for translating these findings into clinical applications and improving outcomes for patients.</p>","PeriodicalId":74045,"journal":{"name":"Korean journal of clinical oncology","volume":"20 1","pages":"1-5"},"PeriodicalIF":0.0000,"publicationDate":"2024-05-01","publicationTypes":"Journal Article","fieldsOfStudy":null,"isOpenAccess":false,"openAccessPdf":"https://www.ncbi.nlm.nih.gov/pmc/articles/PMC11261181/pdf/","citationCount":"0","resultStr":null,"platform":"Semanticscholar","paperid":null,"PeriodicalName":"Korean journal of clinical oncology","FirstCategoryId":"1085","ListUrlMain":"https://doi.org/10.14216/kjco.24001","RegionNum":0,"RegionCategory":null,"ArticlePicture":[],"TitleCN":null,"AbstractTextCN":null,"PMCID":null,"EPubDate":"2024/6/30 0:00:00","PubModel":"Epub","JCR":"","JCRName":"","Score":null,"Total":0}
引用次数: 0

Abstract

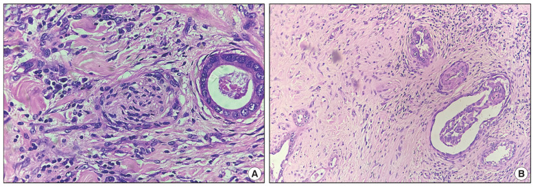
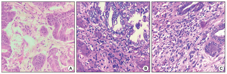
Purpose: Gallbladder carcinoma (GBC) poses significant challenges in oncology due to its aggressive nature and limited treatment options. The lack of effective biomarkers for early detection and prognosis exacerbates the prognosis for GBC patients. Tumor budding (TB) and tumor infiltrating lymphocytes (TILs) have emerged as potential prognostic indicators in various cancers, reflecting tumor-host immune interactions and tumor aggressiveness. The study of TB and TILs in GBC is particularly important due to the limited literature available.

Methods: This retrospective observational study aimed to evaluate the association of TB and TILs with clinicopathological parameters in GBC patients. Clinicopathological data were collected from patients with histologically confirmed GBC who underwent surgical resection. The sections were evaluated for TB and TILs using standardized methods. Statistical analysis was performed to assess associations between these parameters and clinicopathological variables.

Results: Tumor stage and grade showed significant associations with TB and TILs, indicating their potential as prognostic markers. High TB correlated with advanced tumor stage and higher grade, while high TIL infiltration was associated with early tumor stage and lower grade. Additionally, TILs exhibited a significant association with lymphovascular invasion. Interestingly, an inverse association was observed between TB and TILs, highlighting the dynamic interplay between tumor aggressiveness and host immune response.

Conclusion: TB and TILs hold prognostic significance in GBC, offering insights into its pathogenesis and potential therapeutic targets. Future research exploring the mechanistic underpinnings of tumor-host immune interactions in GBC is crucial for translating these findings into clinical applications and improving outcomes for patients.

Abstract Image

Abstract Image

Abstract Image

肿瘤出芽和肿瘤浸润淋巴细胞与胆囊癌临床病理参数的关系
目的:胆囊癌(GBC)因其侵袭性强和治疗方案有限,给肿瘤学带来了巨大挑战。由于缺乏有效的生物标志物用于早期检测和预后判断,加剧了 GBC 患者的预后。肿瘤萌芽(TB)和肿瘤浸润淋巴细胞(TILs)已成为各种癌症的潜在预后指标,反映了肿瘤与宿主的免疫相互作用和肿瘤的侵袭性。由于现有的文献资料有限,研究 GBC 中的 TB 和 TIL 尤为重要:这项回顾性观察研究旨在评估GBC患者中TB和TILs与临床病理参数的关系。研究收集了接受手术切除的组织学确诊 GBC 患者的临床病理数据。采用标准化方法对切片进行TB和TIL评估。对这些参数和临床病理变量之间的关联进行了统计分析:结果:肿瘤分期和分级与TB和TILs有显著关联,表明它们有可能成为预后标志物。高TB与肿瘤晚期和较高分级相关,而高TIL浸润与肿瘤早期和较低分级相关。此外,TIL 还与淋巴管侵犯有显著关联。有趣的是,TB 与 TILs 之间呈反向关系,这突显了肿瘤侵袭性与宿主免疫反应之间的动态相互作用:结论:TB 和 TILs 对 GBC 的预后具有重要意义,为了解其发病机制和潜在治疗靶点提供了思路。未来探索 GBC 中肿瘤与宿主免疫相互作用机理基础的研究对于将这些发现转化为临床应用和改善患者预后至关重要。
本文章由计算机程序翻译,如有差异,请以英文原文为准。
求助全文
约1分钟内获得全文 求助全文
来源期刊
自引率
0.00%
发文量
0
×
引用
GB/T 7714-2015
复制
MLA
复制
APA
复制
导出至
BibTeX EndNote RefMan NoteFirst NoteExpress
×
提示
您的信息不完整,为了账户安全,请先补充。
现在去补充
×
提示
您因"违规操作"
具体请查看互助需知
我知道了
×
提示
确定
请完成安全验证×
copy
已复制链接
快去分享给好友吧!
我知道了
右上角分享
点击右上角分享
0
联系我们:info@booksci.cn Book学术提供免费学术资源搜索服务,方便国内外学者检索中英文文献。致力于提供最便捷和优质的服务体验。 Copyright © 2023 布克学术 All rights reserved.
京ICP备2023020795号-1
ghs 京公网安备 11010802042870号
Book学术文献互助
Book学术文献互助群
群 号:604180095
Book学术官方微信