Dysplastic changes secondary to cytomegalovirus-induced Lipschutz ulcer: Unraveling complexity.

IF 0.7 Q4 INFECTIOUS DISEASES
Shruti Barnwal, Devi Priya, Pooja Sharma Kala, Bhavya Sangal, Astha Pant
{"title":"Dysplastic changes secondary to cytomegalovirus-induced Lipschutz ulcer: Unraveling complexity.","authors":"Shruti Barnwal, Devi Priya, Pooja Sharma Kala, Bhavya Sangal, Astha Pant","doi":"10.4103/ijstd.ijstd_6_24","DOIUrl":null,"url":null,"abstract":"<p><p>Lipschutz ulcer is a rare nonvenereal condition affecting predominantly young females who are not sexually exposed and can be triggered by various infectious agents, trauma, and drugs. It presents with single or multiple painful ulcers over labia minora, labia majora, vestibule, and lower part of the vagina and may be preceded by prodromal symptoms akin to influenza or mononucleosis. Diagnosis is based on specific criteria, which include age, ulcer characteristics, and absence of immunodeficiency. Management involves reassurance, supportive measures, and in severe cases, corticosteroids. This case highlights the importance of considering cytomegalovirus as a potential causative agent in Lipschutz ulcer and a cause for dysplasia.</p>","PeriodicalId":44880,"journal":{"name":"Indian Journal of Sexually Transmitted Diseases and AIDS","volume":"45 1","pages":"69-71"},"PeriodicalIF":0.7000,"publicationDate":"2024-01-01","publicationTypes":"Journal Article","fieldsOfStudy":null,"isOpenAccess":false,"openAccessPdf":"https://www.ncbi.nlm.nih.gov/pmc/articles/PMC11233055/pdf/","citationCount":"0","resultStr":null,"platform":"Semanticscholar","paperid":null,"PeriodicalName":"Indian Journal of Sexually Transmitted Diseases and AIDS","FirstCategoryId":"1085","ListUrlMain":"https://doi.org/10.4103/ijstd.ijstd_6_24","RegionNum":0,"RegionCategory":null,"ArticlePicture":[],"TitleCN":null,"AbstractTextCN":null,"PMCID":null,"EPubDate":"2024/6/6 0:00:00","PubModel":"Epub","JCR":"Q4","JCRName":"INFECTIOUS DISEASES","Score":null,"Total":0}
引用次数: 0

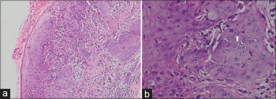
Abstract

Lipschutz ulcer is a rare nonvenereal condition affecting predominantly young females who are not sexually exposed and can be triggered by various infectious agents, trauma, and drugs. It presents with single or multiple painful ulcers over labia minora, labia majora, vestibule, and lower part of the vagina and may be preceded by prodromal symptoms akin to influenza or mononucleosis. Diagnosis is based on specific criteria, which include age, ulcer characteristics, and absence of immunodeficiency. Management involves reassurance, supportive measures, and in severe cases, corticosteroids. This case highlights the importance of considering cytomegalovirus as a potential causative agent in Lipschutz ulcer and a cause for dysplasia.

Abstract Image

Abstract Image

巨细胞病毒诱发的利普舒茨溃疡继发的增生异常变化:揭开复杂的面纱。
Lipschutz 溃疡是一种罕见的非性病,主要影响无性接触的年轻女性,可由各种传染源、创伤和药物诱发。它表现为小阴唇、大阴唇、前庭和阴道下部单发或多发疼痛性溃疡,发病前可能会出现类似流感或单核细胞增多症的前驱症状。诊断要依据特定的标准,包括年龄、溃疡特征和无免疫缺陷。治疗包括安抚、支持性措施,严重病例可使用皮质类固醇激素。本病例强调了将巨细胞病毒视为利普舒茨溃疡潜在致病因子和发育不良病因的重要性。
本文章由计算机程序翻译,如有差异,请以英文原文为准。
求助全文
约1分钟内获得全文 求助全文
来源期刊
CiteScore
0.60
自引率
25.00%
发文量
34
×
引用
GB/T 7714-2015
复制
MLA
复制
APA
复制
导出至
BibTeX EndNote RefMan NoteFirst NoteExpress
×
提示
您的信息不完整,为了账户安全,请先补充。
现在去补充
×
提示
您因"违规操作"
具体请查看互助需知
我知道了
×
提示
确定
请完成安全验证×
copy
已复制链接
快去分享给好友吧!
我知道了
右上角分享
点击右上角分享
0
联系我们:info@booksci.cn Book学术提供免费学术资源搜索服务,方便国内外学者检索中英文文献。致力于提供最便捷和优质的服务体验。 Copyright © 2023 布克学术 All rights reserved.
京ICP备2023020795号-1
ghs 京公网安备 11010802042870号
Book学术文献互助
Book学术文献互助群
群 号:604180095
Book学术官方微信