Basal cell carcinoma at an eccentric location: A rare case report.

IF 0.7 Q4 INFECTIOUS DISEASES
Debdeep Mitra, Anuj Bhatnagar, Deepti Mutreja, Abhishek Singh, P K Sanoj, Rohit Kothari
{"title":"Basal cell carcinoma at an eccentric location: A rare case report.","authors":"Debdeep Mitra, Anuj Bhatnagar, Deepti Mutreja, Abhishek Singh, P K Sanoj, Rohit Kothari","doi":"10.4103/ijstd.ijstd_84_23","DOIUrl":null,"url":null,"abstract":"<p><p>Basal cell carcinoma (BCC) is the most common form of skin cancer, which presents with local invasion, has low metastasizing potential and a cure rate of 100% after surgical excision. BCC commonly involves sun-exposed areas with approximately 80%-85% of BCC located on the head or neck, 15% on the trunk, and <2% in unusual areas such as the abdomen, genitals, perianal skin, lateral edge of the foot, axilla, superior or inferior lip.</p>","PeriodicalId":44880,"journal":{"name":"Indian Journal of Sexually Transmitted Diseases and AIDS","volume":"45 1","pages":"71-73"},"PeriodicalIF":0.7000,"publicationDate":"2024-01-01","publicationTypes":"Journal Article","fieldsOfStudy":null,"isOpenAccess":false,"openAccessPdf":"https://www.ncbi.nlm.nih.gov/pmc/articles/PMC11233041/pdf/","citationCount":"0","resultStr":null,"platform":"Semanticscholar","paperid":null,"PeriodicalName":"Indian Journal of Sexually Transmitted Diseases and AIDS","FirstCategoryId":"1085","ListUrlMain":"https://doi.org/10.4103/ijstd.ijstd_84_23","RegionNum":0,"RegionCategory":null,"ArticlePicture":[],"TitleCN":null,"AbstractTextCN":null,"PMCID":null,"EPubDate":"2024/6/6 0:00:00","PubModel":"Epub","JCR":"Q4","JCRName":"INFECTIOUS DISEASES","Score":null,"Total":0}
引用次数: 0

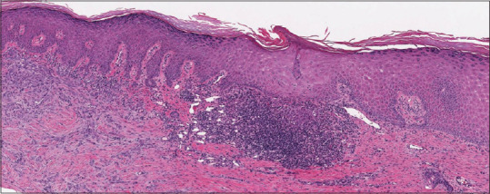
Abstract

Basal cell carcinoma (BCC) is the most common form of skin cancer, which presents with local invasion, has low metastasizing potential and a cure rate of 100% after surgical excision. BCC commonly involves sun-exposed areas with approximately 80%-85% of BCC located on the head or neck, 15% on the trunk, and <2% in unusual areas such as the abdomen, genitals, perianal skin, lateral edge of the foot, axilla, superior or inferior lip.

Abstract Image

Abstract Image

Abstract Image

偏心位置的基底细胞癌:罕见病例报告
基底细胞癌(BCC)是最常见的皮肤癌,表现为局部浸润,转移可能性小,手术切除后治愈率为 100%。BCC 通常发生在阳光暴露的部位,约 80%-85% 的 BCC 发生在头部或颈部,15% 发生在躯干,还有更多的 BCC 发生在面部。
本文章由计算机程序翻译,如有差异,请以英文原文为准。
求助全文
约1分钟内获得全文 求助全文
来源期刊
CiteScore
0.60
自引率
25.00%
发文量
34
×
引用
GB/T 7714-2015
复制
MLA
复制
APA
复制
导出至
BibTeX EndNote RefMan NoteFirst NoteExpress
×
提示
您的信息不完整,为了账户安全,请先补充。
现在去补充
×
提示
您因"违规操作"
具体请查看互助需知
我知道了
×
提示
确定
请完成安全验证×
copy
已复制链接
快去分享给好友吧!
我知道了
右上角分享
点击右上角分享
0
联系我们:info@booksci.cn Book学术提供免费学术资源搜索服务,方便国内外学者检索中英文文献。致力于提供最便捷和优质的服务体验。 Copyright © 2023 布克学术 All rights reserved.
京ICP备2023020795号-1
ghs 京公网安备 11010802042870号
Book学术文献互助
Book学术文献互助群
群 号:604180095
Book学术官方微信