A case report of donovanosis in HIV-positive female.

IF 0.7 Q4 INFECTIOUS DISEASES
Niharika Kumari, Aanchal Agarwal, Atul Mohan, Satyendra Kumar Singh
{"title":"A case report of donovanosis in HIV-positive female.","authors":"Niharika Kumari, Aanchal Agarwal, Atul Mohan, Satyendra Kumar Singh","doi":"10.4103/ijstd.ijstd_62_23","DOIUrl":null,"url":null,"abstract":"<p><p>Donovanosis is a chronic granulomatous ulcerative sexually transmitted infection caused by Klebsiella (Calymmatobacterium) granulomatis. A 39-year-old female patient with underlying HIV infection presented to the department of dermatology outpatient department with a painless ulcer over the left labia majora for 3 months. Histopathological examination revealed histiocyte which contains granular material resembling coccobacilli and Giemsa staining was positive for Donovan bodies. She was treated with doxycycline 100 mg twice daily and azithromycin 1 g once weekly for 3 weeks and further azithromycin 1 g weekly for the next 9 weeks till complete healing of the lesion. Due to the rarity of this condition in our region, we present this case of donovanosis in an HIV-positive female patient.</p>","PeriodicalId":44880,"journal":{"name":"Indian Journal of Sexually Transmitted Diseases and AIDS","volume":"45 1","pages":"49-51"},"PeriodicalIF":0.7000,"publicationDate":"2024-01-01","publicationTypes":"Journal Article","fieldsOfStudy":null,"isOpenAccess":false,"openAccessPdf":"https://www.ncbi.nlm.nih.gov/pmc/articles/PMC11233046/pdf/","citationCount":"0","resultStr":null,"platform":"Semanticscholar","paperid":null,"PeriodicalName":"Indian Journal of Sexually Transmitted Diseases and AIDS","FirstCategoryId":"1085","ListUrlMain":"https://doi.org/10.4103/ijstd.ijstd_62_23","RegionNum":0,"RegionCategory":null,"ArticlePicture":[],"TitleCN":null,"AbstractTextCN":null,"PMCID":null,"EPubDate":"2024/6/6 0:00:00","PubModel":"Epub","JCR":"Q4","JCRName":"INFECTIOUS DISEASES","Score":null,"Total":0}
引用次数: 0

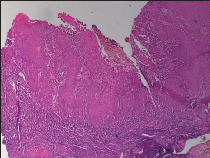
Abstract

Donovanosis is a chronic granulomatous ulcerative sexually transmitted infection caused by Klebsiella (Calymmatobacterium) granulomatis. A 39-year-old female patient with underlying HIV infection presented to the department of dermatology outpatient department with a painless ulcer over the left labia majora for 3 months. Histopathological examination revealed histiocyte which contains granular material resembling coccobacilli and Giemsa staining was positive for Donovan bodies. She was treated with doxycycline 100 mg twice daily and azithromycin 1 g once weekly for 3 weeks and further azithromycin 1 g weekly for the next 9 weeks till complete healing of the lesion. Due to the rarity of this condition in our region, we present this case of donovanosis in an HIV-positive female patient.

Abstract Image

Abstract Image

Abstract Image

一例艾滋病毒阳性女性多诺万病病例报告。
多诺万病是一种慢性肉芽肿性溃疡性性传播感染,由肉芽肿克雷伯杆菌(Calymmatobacterium)引起。一名 39 岁的女性患者因左侧大阴唇出现无痛性溃疡 3 个月,到皮肤科门诊就诊。组织病理学检查发现组织细胞含有类似球菌的颗粒状物质,Giemsa 染色显示多诺万体阳性。她接受了多西环素 100 毫克、每天两次和阿奇霉素 1 克、每周一次的治疗,连续 3 周,随后 9 周每周一次阿奇霉素 1 克,直至病灶完全愈合。由于这种病症在本地区非常罕见,我们特此介绍这例艾滋病毒阳性女性患者的多诺万病。
本文章由计算机程序翻译,如有差异,请以英文原文为准。
求助全文
约1分钟内获得全文 求助全文
来源期刊
CiteScore
0.60
自引率
25.00%
发文量
34
×
引用
GB/T 7714-2015
复制
MLA
复制
APA
复制
导出至
BibTeX EndNote RefMan NoteFirst NoteExpress
×
提示
您的信息不完整,为了账户安全,请先补充。
现在去补充
×
提示
您因"违规操作"
具体请查看互助需知
我知道了
×
提示
确定
请完成安全验证×
copy
已复制链接
快去分享给好友吧!
我知道了
右上角分享
点击右上角分享
0
联系我们:info@booksci.cn Book学术提供免费学术资源搜索服务,方便国内外学者检索中英文文献。致力于提供最便捷和优质的服务体验。 Copyright © 2023 布克学术 All rights reserved.
京ICP备2023020795号-1
ghs 京公网安备 11010802042870号
Book学术文献互助
Book学术文献互助群
群 号:604180095
Book学术官方微信