Sulfasalazine-Induced Epstein-Barr Virus-Positive Mucocutaneous Ulcer.

IF 0.7 Q4 HEMATOLOGY
Case Reports in Hematology Pub Date : 2024-07-02 eCollection Date: 2024-01-01 DOI:10.1155/2024/6883657
Cedric Stabel, F J Sherida H Woei-A-Jin, Thomas Tousseyn, Maria Garmyn
{"title":"Sulfasalazine-Induced Epstein-Barr Virus-Positive Mucocutaneous Ulcer.","authors":"Cedric Stabel, F J Sherida H Woei-A-Jin, Thomas Tousseyn, Maria Garmyn","doi":"10.1155/2024/6883657","DOIUrl":null,"url":null,"abstract":"<p><p>Epstein-Barr virus (EBV) may cause a wide spectrum of symptomatology in humans ranging from asymptomatic upper respiratory tract infection to infectious mononucleosis and in more severe cases lymphoproliferative disorders or hemophagocytic lymphohistiocytosis. Its neoplastic potential is higher in immunocompromised individuals. We describe a case of EBV-positive mucocutaneous ulcer, a more indolent clinical entity on the spectrum of EBV-driven lymphoproliferative disorders, and are one of the first to put sulfasalazine, an immunomodulatory agent, forward as the possible culprit.</p>","PeriodicalId":46307,"journal":{"name":"Case Reports in Hematology","volume":"2024 ","pages":"6883657"},"PeriodicalIF":0.7000,"publicationDate":"2024-07-02","publicationTypes":"Journal Article","fieldsOfStudy":null,"isOpenAccess":false,"openAccessPdf":"https://www.ncbi.nlm.nih.gov/pmc/articles/PMC11233183/pdf/","citationCount":"0","resultStr":null,"platform":"Semanticscholar","paperid":null,"PeriodicalName":"Case Reports in Hematology","FirstCategoryId":"1085","ListUrlMain":"https://doi.org/10.1155/2024/6883657","RegionNum":0,"RegionCategory":null,"ArticlePicture":[],"TitleCN":null,"AbstractTextCN":null,"PMCID":null,"EPubDate":"2024/1/1 0:00:00","PubModel":"eCollection","JCR":"Q4","JCRName":"HEMATOLOGY","Score":null,"Total":0}
引用次数: 0

Abstract

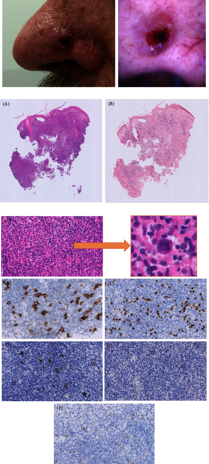
Epstein-Barr virus (EBV) may cause a wide spectrum of symptomatology in humans ranging from asymptomatic upper respiratory tract infection to infectious mononucleosis and in more severe cases lymphoproliferative disorders or hemophagocytic lymphohistiocytosis. Its neoplastic potential is higher in immunocompromised individuals. We describe a case of EBV-positive mucocutaneous ulcer, a more indolent clinical entity on the spectrum of EBV-driven lymphoproliferative disorders, and are one of the first to put sulfasalazine, an immunomodulatory agent, forward as the possible culprit.

Abstract Image

磺胺氯吡嗪诱发 Epstein-Barr 病毒阳性皮肤黏膜溃疡
爱泼斯坦-巴氏病毒(EBV)可引起人类多种症状,从无症状的上呼吸道感染到传染性单核细胞增多症,严重者可导致淋巴增生性疾病或嗜血细胞淋巴组织细胞增多症。在免疫力低下的人群中,EBV 的肿瘤可能性更高。我们描述了一例 EBV 阳性皮肤粘膜溃疡病例,这是 EBV 驱动的淋巴细胞增生性疾病谱系中一种较不活跃的临床实体,我们也是首批将磺胺吡啶(一种免疫调节剂)作为可能的罪魁祸首的患者之一。
本文章由计算机程序翻译,如有差异,请以英文原文为准。
求助全文
约1分钟内获得全文 求助全文
来源期刊
自引率
0.00%
发文量
51
审稿时长
13 weeks
×
引用
GB/T 7714-2015
复制
MLA
复制
APA
复制
导出至
BibTeX EndNote RefMan NoteFirst NoteExpress
×
提示
您的信息不完整,为了账户安全,请先补充。
现在去补充
×
提示
您因"违规操作"
具体请查看互助需知
我知道了
×
提示
确定
请完成安全验证×
copy
已复制链接
快去分享给好友吧!
我知道了
右上角分享
点击右上角分享
0
联系我们:info@booksci.cn Book学术提供免费学术资源搜索服务,方便国内外学者检索中英文文献。致力于提供最便捷和优质的服务体验。 Copyright © 2023 布克学术 All rights reserved.
京ICP备2023020795号-1
ghs 京公网安备 11010802042870号
Book学术文献互助
Book学术文献互助群
群 号:604180095
Book学术官方微信