Feasibility and flexibility of a novel multi-dose level avoidance reirradiation technical methodology in recurrent head and neck cancer.

IF 0.5 Q4 RADIOLOGY, NUCLEAR MEDICINE & MEDICAL IMAGING
BJR Case Reports Pub Date : 2024-07-03 eCollection Date: 2024-07-01 DOI:10.1093/bjrcr/uaae020
Thomas Hague, Rikki Lad, Kevin Chiu
{"title":"Feasibility and flexibility of a novel multi-dose level avoidance reirradiation technical methodology in recurrent head and neck cancer.","authors":"Thomas Hague, Rikki Lad, Kevin Chiu","doi":"10.1093/bjrcr/uaae020","DOIUrl":null,"url":null,"abstract":"<p><p>Reirradiation in recurrent head and neck cancer presents a considerable clinical challenge in radiation oncology. Though technically feasible due to advanced treatment delivery and planning techniques, confidence in delivering such treatments is not universal and patient selection is critical. Radiotherapy planning in reirradiation cases presents a complex technical challenge owing to the often-considerable overlap of dose from a patient's first treatment plan. This technical note describes three clinical case studies of recurrent head and neck cancer and the technical details of how their multidose level reirradiation was planned. Each patient had confirmed recurrence of squamous cell carcinoma and was referred for reirradiation to a previously irradiated area. The clinical details for each patient are provided before a detailed description of the treatment planning methodology is presented, which specifies how to approach such complex overlapping treatment volumes. The patient outcomes are described and a discussion is presented outlining the clinical challenges associated with these cases and the variables that must be accounted for when considering patients for potential reirradiation.</p>","PeriodicalId":45216,"journal":{"name":"BJR Case Reports","volume":"10 4","pages":"uaae020"},"PeriodicalIF":0.5000,"publicationDate":"2024-07-03","publicationTypes":"Journal Article","fieldsOfStudy":null,"isOpenAccess":false,"openAccessPdf":"https://www.ncbi.nlm.nih.gov/pmc/articles/PMC11233120/pdf/","citationCount":"0","resultStr":null,"platform":"Semanticscholar","paperid":null,"PeriodicalName":"BJR Case Reports","FirstCategoryId":"1085","ListUrlMain":"https://doi.org/10.1093/bjrcr/uaae020","RegionNum":0,"RegionCategory":null,"ArticlePicture":[],"TitleCN":null,"AbstractTextCN":null,"PMCID":null,"EPubDate":"2024/7/1 0:00:00","PubModel":"eCollection","JCR":"Q4","JCRName":"RADIOLOGY, NUCLEAR MEDICINE & MEDICAL IMAGING","Score":null,"Total":0}
引用次数: 0

Abstract

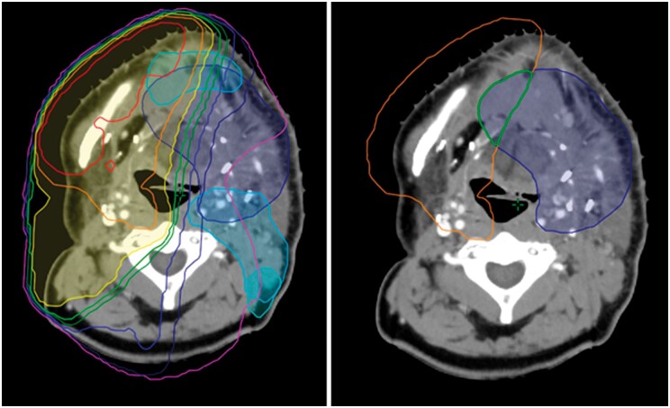
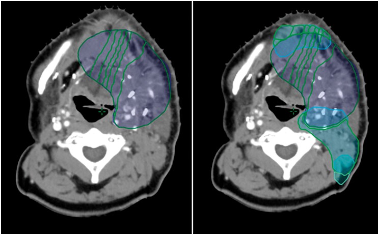
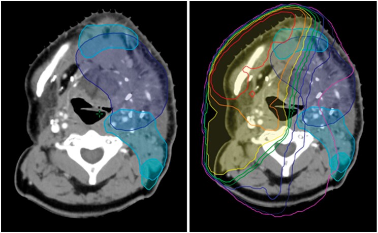
Reirradiation in recurrent head and neck cancer presents a considerable clinical challenge in radiation oncology. Though technically feasible due to advanced treatment delivery and planning techniques, confidence in delivering such treatments is not universal and patient selection is critical. Radiotherapy planning in reirradiation cases presents a complex technical challenge owing to the often-considerable overlap of dose from a patient's first treatment plan. This technical note describes three clinical case studies of recurrent head and neck cancer and the technical details of how their multidose level reirradiation was planned. Each patient had confirmed recurrence of squamous cell carcinoma and was referred for reirradiation to a previously irradiated area. The clinical details for each patient are provided before a detailed description of the treatment planning methodology is presented, which specifies how to approach such complex overlapping treatment volumes. The patient outcomes are described and a discussion is presented outlining the clinical challenges associated with these cases and the variables that must be accounted for when considering patients for potential reirradiation.

Abstract Image

Abstract Image

Abstract Image

新型多剂量水平避免再照射技术方法在复发性头颈癌中的可行性和灵活性。
对复发性头颈部癌症进行再照射是放射肿瘤学面临的一项重大临床挑战。虽然先进的治疗给药和计划技术在技术上是可行的,但进行此类治疗的信心并不普遍,患者的选择也至关重要。再照射病例的放疗计划是一项复杂的技术挑战,因为患者第一次治疗计划的剂量经常会有相当大的重叠。本技术说明介绍了三例头颈部癌症复发的临床病例研究,以及如何规划多剂量水平再照射的技术细节。每位患者都确诊为鳞状细胞癌复发,并被转诊到之前接受过照射的部位进行再照射。在详细描述治疗规划方法之前,我们先介绍了每位患者的临床细节,其中明确说明了如何处理这种复杂的重叠治疗量。对患者的治疗结果进行了描述,并讨论了与这些病例相关的临床挑战,以及在考虑对患者进行可能的再照射时必须考虑的变量。
本文章由计算机程序翻译,如有差异,请以英文原文为准。
求助全文
约1分钟内获得全文 求助全文
来源期刊
BJR Case Reports
BJR Case Reports RADIOLOGY, NUCLEAR MEDICINE & MEDICAL IMAGING-
自引率
0.00%
发文量
77
审稿时长
11 weeks
×
引用
GB/T 7714-2015
复制
MLA
复制
APA
复制
导出至
BibTeX EndNote RefMan NoteFirst NoteExpress
×
提示
您的信息不完整,为了账户安全,请先补充。
现在去补充
×
提示
您因"违规操作"
具体请查看互助需知
我知道了
×
提示
确定
请完成安全验证×
copy
已复制链接
快去分享给好友吧!
我知道了
右上角分享
点击右上角分享
0
联系我们:info@booksci.cn Book学术提供免费学术资源搜索服务,方便国内外学者检索中英文文献。致力于提供最便捷和优质的服务体验。 Copyright © 2023 布克学术 All rights reserved.
京ICP备2023020795号-1
ghs 京公网安备 11010802042870号
Book学术文献互助
Book学术文献互助群
群 号:604180095
Book学术官方微信