The Role of Computed Tomography in the Diagnosis of Congenital Sensorineural Hearing Loss.

IF 1.1 Q3 OTORHINOLARYNGOLOGY
International Archives of Otorhinolaryngology Pub Date : 2024-06-07 eCollection Date: 2024-07-01 DOI:10.1055/s-0044-1786827
Mauricio Buschle, Rogerio Hamerschmidt, Jorge Eduardo Fouto Matias, Otavio Pereira Lima Zanini, Luiz Otavio de Mattos Coelho, Jose Fernando Polanski
{"title":"The Role of Computed Tomography in the Diagnosis of Congenital Sensorineural Hearing Loss.","authors":"Mauricio Buschle, Rogerio Hamerschmidt, Jorge Eduardo Fouto Matias, Otavio Pereira Lima Zanini, Luiz Otavio de Mattos Coelho, Jose Fernando Polanski","doi":"10.1055/s-0044-1786827","DOIUrl":null,"url":null,"abstract":"<p><p><b>Introduction</b>  One of the paths in the investigation of congenital sensorineural hearing loss (CSNHL) is to try to characterize its etiology through the inner ear evaluation using high resolution computer tomography (CT) scans. With minor malformation, it is not always possible for a simple visual inspection to recognize if the structure in the inner ear is normal or not. <b>Objective</b>  To verify if measurements of the inner ear are predictive of sensorineural hearing loss (SNHL) and suggest cutoff points of size limits. <b>Methods</b>  Retrospective cross-sectional study of inner ear CT scan measurements of 214 patients, 50 with congenital SNHL (CSNHL) and 164 acquired SNHL (ASNHL) (control group). <b>Results</b>  In the CSNHL group, central bony island (CBI) were 0.48 mm smaller ( <i>p</i>  < 0.001), cochlear nerve aperture was (CNA) 0.10 mm smaller ( <i>p</i>  < 0.001), and cochlea height was (CH) 0.15 mm smaller ( <i>p</i>  < 0.001). Vestibular aqueduct (VA) and cochlea width (CW) were similar between groups (0.70 vs 0.72, <i>p</i>  = 0.19, and 7.20 vs 7.15 <i>p</i>  = 0.23). The predictive cutoff points for CSNHL were CBI = 3.6 mm, CAN = 1.4 mm, CH = 3.4 mm, CW = 7.0 mm, and VA = 0.9 mm. <b>Conclusion</b>  Congenital sensorineural hearing loss determined a decrease in CBI, opening of the cochlear nerve (OCN), and CW. Thus, these measures, at the cutoff points indicated, should make us aware of the diagnosis of congenital hearing loss.</p>","PeriodicalId":13731,"journal":{"name":"International Archives of Otorhinolaryngology","volume":"28 3","pages":"e387-e393"},"PeriodicalIF":1.1000,"publicationDate":"2024-06-07","publicationTypes":"Journal Article","fieldsOfStudy":null,"isOpenAccess":false,"openAccessPdf":"https://www.ncbi.nlm.nih.gov/pmc/articles/PMC11226303/pdf/","citationCount":"0","resultStr":null,"platform":"Semanticscholar","paperid":null,"PeriodicalName":"International Archives of Otorhinolaryngology","FirstCategoryId":"1085","ListUrlMain":"https://doi.org/10.1055/s-0044-1786827","RegionNum":0,"RegionCategory":null,"ArticlePicture":[],"TitleCN":null,"AbstractTextCN":null,"PMCID":null,"EPubDate":"2024/7/1 0:00:00","PubModel":"eCollection","JCR":"Q3","JCRName":"OTORHINOLARYNGOLOGY","Score":null,"Total":0}
引用次数: 0

Abstract

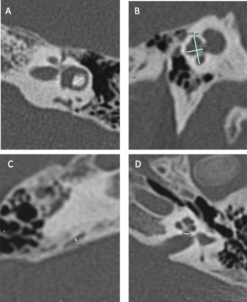
Introduction  One of the paths in the investigation of congenital sensorineural hearing loss (CSNHL) is to try to characterize its etiology through the inner ear evaluation using high resolution computer tomography (CT) scans. With minor malformation, it is not always possible for a simple visual inspection to recognize if the structure in the inner ear is normal or not. Objective  To verify if measurements of the inner ear are predictive of sensorineural hearing loss (SNHL) and suggest cutoff points of size limits. Methods  Retrospective cross-sectional study of inner ear CT scan measurements of 214 patients, 50 with congenital SNHL (CSNHL) and 164 acquired SNHL (ASNHL) (control group). Results  In the CSNHL group, central bony island (CBI) were 0.48 mm smaller ( p  < 0.001), cochlear nerve aperture was (CNA) 0.10 mm smaller ( p  < 0.001), and cochlea height was (CH) 0.15 mm smaller ( p  < 0.001). Vestibular aqueduct (VA) and cochlea width (CW) were similar between groups (0.70 vs 0.72, p  = 0.19, and 7.20 vs 7.15 p  = 0.23). The predictive cutoff points for CSNHL were CBI = 3.6 mm, CAN = 1.4 mm, CH = 3.4 mm, CW = 7.0 mm, and VA = 0.9 mm. Conclusion  Congenital sensorineural hearing loss determined a decrease in CBI, opening of the cochlear nerve (OCN), and CW. Thus, these measures, at the cutoff points indicated, should make us aware of the diagnosis of congenital hearing loss.

Abstract Image

Abstract Image

计算机断层扫描在诊断先天性感音神经性听力损失中的作用。
导言:研究先天性感音神经性听力损失(CSNHL)的途径之一,是尝试使用高分辨率计算机断层扫描(CT)对内耳进行评估,从而确定其病因。对于轻微的畸形,并不是简单的目测就能识别内耳结构是否正常。目的 验证内耳的测量值是否能预测感音神经性听力损失(SNHL),并建议尺寸限制的临界点。方法 对 214 名患者的内耳 CT 扫描测量结果进行回顾性横断面研究,其中包括 50 名先天性感音神经性听力损失(SNHL)患者(CSNHL)和 164 名后天性感音神经性听力损失(SNHL)患者(ASNHL)(对照组)。结果 在CSNHL组中,中心骨岛(CBI)小0.48毫米(p p p p = 0.19,7.20 vs 7.15 p = 0.23)。CSNHL 的预测临界点为 CBI = 3.6 毫米、CAN = 1.4 毫米、CH = 3.4 毫米、CW = 7.0 毫米和 VA = 0.9 毫米。结论 先天性感音神经性听力损失会导致 CBI、耳蜗神经开放(OCN)和 CW 的下降。因此,根据这些指标的临界点,我们应该意识到先天性听力损失的诊断。
本文章由计算机程序翻译,如有差异,请以英文原文为准。
求助全文
约1分钟内获得全文 求助全文
来源期刊
CiteScore
2.80
自引率
0.00%
发文量
84
审稿时长
12 weeks
×
引用
GB/T 7714-2015
复制
MLA
复制
APA
复制
导出至
BibTeX EndNote RefMan NoteFirst NoteExpress
×
提示
您的信息不完整,为了账户安全,请先补充。
现在去补充
×
提示
您因"违规操作"
具体请查看互助需知
我知道了
×
提示
确定
请完成安全验证×
copy
已复制链接
快去分享给好友吧!
我知道了
右上角分享
点击右上角分享
0
联系我们:info@booksci.cn Book学术提供免费学术资源搜索服务,方便国内外学者检索中英文文献。致力于提供最便捷和优质的服务体验。 Copyright © 2023 布克学术 All rights reserved.
京ICP备2023020795号-1
ghs 京公网安备 11010802042870号
Book学术文献互助
Book学术文献互助群
群 号:604180095
Book学术官方微信